ホーム
AZE
次世代の画像解析ソフトウェア
心臓CTにおける画像解析と読影の融合─解析疲労・読影疲労対策の新機能,満を持して登場
【月刊インナービジョンより転載】
■心臓CTにおける画像解析と読影の融合─解析疲労・読影疲労対策の新機能,満を持して登場
片平 和博
熊本中央病院放射線科
●はじめに
心臓に対する非侵襲的検査の中で,心臓CTの件数は年々右肩上がりに増えている。そして,検査件数の増加に比例して,検査後の画像解析や読影の疲労も増える傾向にある。ワークステーションのネットワーク化や自動解析機能を用いることにより,解析疲労は軽減してきたが,それでも検査件数の増加に対して十分ではない。それにもかかわらず,胸痛急患に対する心臓CTの陰性適中率の高さを報告する論文も多く見られるようになったことで,今後ますます心臓CTの需要が増えることが予想される。本稿では,このような状況の中で,ワークステーションを用いて解析,および読影疲労を軽減する方法を報告したい。
●解析疲労・読影疲労を来す原因
解析疲労・読影疲労を来す原因は解 析・読影が困難な症例だが,大きく分けると,冠動脈の粗大石灰化や金属量の多いステントが留置されている場合などの冠動脈側の問題と,息止め不良および頻脈・不整脈などの画像ブレの問題に分けられる。これらのうち,冠動脈側の問題は,現時点のCTの技術では撮影後にどのような工夫をしても評価は難しいのが現状であり,かつ,高度石灰化した冠動脈には有意狭窄が存在する可能性が高いという報告があることからも,冠動脈撮影での再検は許容できる。そのように割り切れば解析疲労・読影疲労はそれほど高くないであろう。そして,息止め不良の場合も同様で,撮影後にどのように努力しても改善の余地はなく,こちらも不本意ながら疲労は少ない(もっとも多列化によりこのような症例は激減してきた)。
残るは,頻脈・不整脈であるが,特に頻脈症例において適切な時相を探すことにより評価可能になることが多いことから,解析・読影疲労の主となるものである。解析においては,通常の収縮末期および拡張中期で良好な画像を得ることが難しい場合に,まずは0〜90%の10時相を画像再構成する。そして,それらの全時相を詳細に観察し,最適時相を探す。通常,この場合でも最適時相がある可能性は低く,さらに最も止まっている時相前後を2%きざみ程度で再度画像再構成を行い,上記と同じ作業を繰り返し,最も良好な時相を決定する。この時点でやっと画像解析が始まるが,このように決定した時相ですら画像ブレがある部位があり,複数時相での評価になることもまれではない。苦労して解析・読影した結果,診断が間違うこともまれではなく,この疲労感は耐え難いものである。なお,上記の画像再構成は,他の検査を行いながらであるので,全体の検査のスループットの低下にもつながる。
●頻脈症例における読影疲労軽減の秘策
頻脈における読影法として,4D-sliding thin slab MIP法という手法がある。この方法は,0〜90%の10時相を同時にワークステーションに読み込み,sliding法で読影を行う方法である。sliding法で冠動脈内腔を評価する際に,画像ブレを発見すると,その角度を保ったまま1クリックで時相を入れ替えていき,最適時相を決定する。この手法を繰り返すことにより,ブレの少ない画像で全冠動脈の評価が可能になり,大きなストレスもなく数分で読影が完了する。また,画像ブレのない時相で読影するので診断精度も高まる(図1)。この方法のベースとなる考え方は,頻脈は時間分解能の低い時相で撮影しているので,1つの時相で冠動脈全長を正しく評価できないが,冠動脈は拍動しながらも,ほとんどの場合に一度は止まったように見える時相があるので,その時相を切り換えながら読影するとよいというものである(よいところ取り読影)。この方法を用いることにより,画像ブレに悩まずに読影が可能になり,読影疲労は激減する(図2)。

図1 4D-sliding thin slab MIP法による診断精度の向上
脈拍の条件がよい症例は,4D-slidng thin slab MIP法を用いなくても診断能が高いが, 頻脈症例においては,同手法を用いることによりspecificityが上昇(偽陽性が少なくなる)する。

図2 4D-sliding thin slab MIP法の診断方法
頻脈などの時間分解能が低い撮像条件では,各時相内での画像ブレの頻度が高い。しかし,いずれの時相でも一度は止まっていることが多いことから,時相を切り換えながら読影すると精度が高く疲労の少ない読影が可能となる。
●4D-sliding thin slab MIP法の盲点
筆者は長い間,上記のような方法で頻脈症例の読影を行っていた。この方法は読影疲労が少なく診断精度も高いので,AZE社のネットワーク型ワークステーションなどの読影端末(電子カルテ端末でも可能)がある施設は積極的に使うことを推奨する。しかし,この方法を用いた後に画像解析結果を観察した場合に,画像ブレ部位が気になることがしばしばある。これは,読影では画像ブレを回避しやすいのに対し,解析ではこのような機能が使えないためである(4D-sliding thin slab MIP法はCPR画像ではない)。この手法における最大の盲点がこの点であり,つまり読影疲労は激減するが解析疲労は残ったままということである。解析側から見ると,せっかく苦労してCPR画像を作っても,他の時相はブレがないことを理由に再作成を要望された場合は,さらに疲労がたまるであろう。
●頻脈症例において解析疲労・読影疲労ともに改善する新手法
ZE VirtualPlaceには,上記の盲点を攻略した新機能が搭載されている。この手法の概要は,上記の4D-sliding thin slab MIP法で閲覧することは同様であるが,時相を変えるごとにCPR画像が作成可能である。画像ブレのない時相において,MIP画像上であってもCPR画像の制御点をプロットすることにより,自動解析が行われCPR画像が自動的に作成されていく。さらに,CPR画像を作成した部位は3DのVR画像上に位置が表示されることから,どの部位のCPR画像であるかが明瞭である。この手法を用いることにより,解析疲労も激減するようになった(図3)。

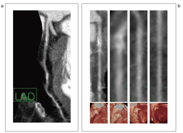
図3 頻脈症例における解析機能付き4D-sliding thin slab MIP法の有用性
a:最も画像ブレの少ない1時相を選ぶと,部分的に評価困難な画像ブレが含まれる。
b:画像ブレが多い血管(LAD)であったので,LAD1本を4時相(70%→10%→0%→40%)で解析を行った。4D法で解析することにより解析負荷も少なく,精度の高い読影につなげることも可能である。
4D-sliding thin slab MIP法での解析は,最初は慣れずに負荷がかかるかもしれないが,慣れると快適この上ない。実際,当院の経験では,この手法の初心者でも20〜30分もあれば体得可能である。さらに,この手法のベースのsliding法は,最適断面を作成するのに最適な方法であり,心臓だけでなくさまざまな場面で役立つ(筆者はAZE展2012でイレウス時にこの方法を用いた有用性を報告した)。CTやMRIが高性能化し,容易に3D,4Dデータが取得できるようになった近年では,sliding法は必須の手法と考えている。
【使用CT装置】 Brilliance 64(フィリップス社製)
【使用ワークステーション】 AZE VirtualPlace Plus(AZE社製)
(2012年6月号)