ホーム
AZE
次世代の画像解析ソフトウェア
当センターにおける循環器領域を中心としたAZE VirtualPlace活用方法
【月刊インナービジョンより転載】
■当センターにおける循環器領域を中心としたAZE VirtualPlace活用方法
鈴木 諭貴(地方独立行政法人東京都健康長寿医療センター放射線診療科)
●はじめに
近年,CTの画像はaxial画像のみならず,画像構築した画像も診断に積極的に利用されるようになってきた。ワークステーションに求められる機能もMPRやvolume rendering(VR)の画像作成機能はもちろんのこと,他モダリティとのfusion imageの作成や高い精度でのサブトラクションを行った画像の提供などが求められるようになってきた。当センターにおいても,以前よりワークステーションを使用していたが,臨床医からのより高い要求に応えるため,2010年10月より「AZE VirtualPlace」(AZE社製)の運用を開始した。当センターにおける循環器領域を中心としたVirtualPlace活用方法について報告する。
●運用環境
当センターに導入したAZE Virtual-Placeは,本体とは別に汎用タイプのPCにクライアント設定をすることで,最大2台まで同時にアクセスして本体と同じ機能を使用することが可能である。同時アクセスできるクライアント数に限りはあるが,画像作成以外の目的として,循環器内科・心臓血管外科のカンファレンスや血管造影室でPCIを行う際のガイドとしての活用などにクライアント端末を利用している。カンファレンスや血管造影室では,ワークステーションのクライアント端末を配備することで,必要に応じて画像の追加作成や任意に観察したい部分の抽出などがその場で可能となり,PACSのみで配信していた場合と比較すると,画像データをより有効に活用することが可能な環境になった。
●新・CT細血管解析
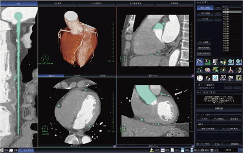
心臓CTにおける冠動脈解析ソフトウェアである“新・CT細血管解析”は,従来から冠動脈解析で使用されてきた“CT細血管解析”をまったく新しくリニューアルしたソフトウェアである。高い精度での冠動脈の自動認識はもちろんのこと,大動脈・左右冠動脈・心臓それぞれがセグメンテーションされた状態で認識されるため,ソフトウェアが起動するとすぐにVR,coronary tree,angiographic viewなどを切り替えるだけで画像表示することが可能となった(図1)。

図1 “新・CT細血管解析”初期画面
また,冠動脈が自動認識された状態でソフトウェアは立ち上がってくるので,CPRやstretched-CPRの画像を確認しながら,対象となる冠動脈に名前をつけるだけで作業は終了となる。しかしながら,冠動脈解析はソフトウェアが自動化されても必要に応じて修正を行わなくてはならない。なぜならば,CPRでは冠動脈の中心を通っていないと偽画像を作成してしまうからである。ソフトウェアの自動化は,画像作成を行う上でとても便利な機能であるが,あくまで画像作成サポート機能であるため,画像提供を行う際にはしっかりと確認を行わなくてはならないことを常に念頭におきながら画像作成および提供を行うようにしている(図2)。しかし,“新・CT細血管解析”における冠動脈の認識率は,従来のソフトウェアと比較して格段に高くなり,画像作成時の十分なサポートを担っていると言える。

図2 冠動脈CPR表示画面
●VirtualPlaceを活用した症例
図3は,狭心症が疑われ心臓CTを行った症例である。通常,画像提供を行っているVRでは,このような症例〔#13 CTO(慢性完全閉塞)〕は病変部位が造影されないため,冠動脈の走行を認識しにくい(図3 a)。そこで,病変部位をわかりやすくするため,このような症例においては病変部位を別の色で表示したVRを追加提供するようにしている(図3 b)。こうすることで,病変部位を認識しやすくなり,PCIを行う場合のワイヤーの走行方向の参考画像として活用されている。

図3 PCIサポートを考慮したVR
aは,通常提供している画像であり,bは病変部位をカラーで表示させ病変部位を認識しやすく表示させた。
VRは,表示方法を少し工夫するだけで,解剖学的位置関係や病変部位を明瞭に表現することが可能となる。胸部血管領域は,多くの重要な血管が入り組んでいる部位であり,病変部位があった場合には,依頼医や被検者に対してよりわかりやすい画像提供を行う必要がある。表示方法を工夫した症例を提示する。図4は,LADから肺動脈に流入する冠動脈肺動脈瘻の症例である。LADからRCAへ流入する血管や冠動脈,肺動脈の位置関係を,より明瞭に観察することができた。

図4 冠動脈肺動脈瘻
矢印部位が肺動脈流入部位。LADからRCAに流入する血管も確認できる。
図5は,大動脈弁が2尖弁であった症例である。紙面では,二次元表示しかできないために表現が難しいが,こういった症例では,4Dで観察できるように画像提供を行っている。VirtualPlaceには,超高速画像処理エンジン「FORMULA」が搭載されており,画像処理枚数が多くなる心臓CTにおいてもストレスなく画像処理を行うことが可能である。

図5 大動脈弁が2尖弁の症例
VRでは,内腔表示することで大動脈弁を観察しやすくなる。
●まとめ
近年,ワークステーションの進歩によって多彩な画像構築方法で画像提供することが可能となった。診断や治療のために役に立つ画像を提供することはもちろんだが,検査を受ける被検者にとっても画像構築された画像はわかりやすい画像であるべきだと考えている。ワークステーションを最大限有効活用して画像提供していくことは,よりよい医療の提供の1つになるのではないかと考える。
【使用CT装置】 LightSpeed VCT VISION(GE社製)
【使用ワークステーション】 AZE VirtualPlace(AZE社製)
(2012年10月号)