AZE

ホーム の中の AZEの中の 別冊付録の中の Virtual Human & Analysis No.9の中の先端医用画像処理ーオープンソースソフトウェアから展開する産学連携体制への期待

別冊付録

FRONT LINE

先端医用画像処理 ─オープンソースソフトウェアから展開する産学連携体制への期待

波多伸彦(ハーバード大学医学部ブリガムアンドウィメンズ病院放射線科准教授)

■医用画像処理研究とオープンソースソフトウェア

医用画像を,保存・表示・処理した上で診断支援を行う医用画像ワークステーションが商品化されて久しい。年々進化する計算機の性能向上に伴って,医用画像処理ワークステーションに搭載される画像処理の多機能化も推進され,その応用範囲は広まるばかりである。同時に,学際領域としての医用画像処理研究も拡大の一途をたどっており,研究機関から生み出されるアイデアが次々と学会等で発表されている。元来,医用画像ワークステーションが研究機関のスピンアウト企業から生まれてきた経緯からも推察できるように,基礎開発から商用化までに必要なプロセスは,他の業界のソフトウェア商品に比べてきわめて少ない。しかしながら,企業開発担当者がシーズを発掘し,商品へと実装するまでの間に,多くの時間が費やされている実態も見受けられる。本稿で紹介する医用画像処理のオープンソースソフトウェアは,この時間的ギャップを埋めることができる,有用なツールである。
研究機関の間で最近,最も注目されているソフトウェア工学技術として,Extreme Programmingに基づいたフリーオープンソースソフトウェア(FOS)がある。これは,医用画像処理研究者達が共同で研究ツールとしてのソフトウェアを開発および共有するための技法であるが,同時にドキュメント作成や品質管理も行って,いち早い商品化への道筋をつけることも目的としている。元来このFOSは,生命科学研究の研究費拠出機関である米国NIHが,研究費の無駄遣いを避けるために,研究者達がソフトウェア資産を共有することを推進した成果から生まれた。その代表的なツールとして,Insight Tool Kit(ITK),Visualization Tool Kit(VTK),などが挙げられる。これらは,独立した応用ソフトウェアではなく,ソフトウェアを構成するパーツである。
“3D Slicer”は,筆者が1997年に最初に開発を行って以来,進化を遂げ,現在オープンソースソフトウェアとして,ソースコードを開示しながら発展を続けている応用ソフトウェアである。3D Slicerは,すでに医用画像処理のツールキットとして定評のあるITKおよびVTKをツールとして使いながら,基本的な医用画像処理と表示を基盤ソフトウェアとして提供している。
その主たる基本機能は,以下のとおりである。
  コア機能:画像入出力,モデル作成,Fiducialマーカー,座標変換,ROI,ボリュームレンダリング
  画像統合:アフィン変換による統合,変形統合,剛体変換による統合
  セグメンテーション:EMセグメンテーション,リージョングローイング,Ohtsuスレショルド
  拡散強調画像およびトラクトグラフィ:拡散テンソル推定,フィルタ,トラクトグラフィ(点,ROI)
  画像誘導手術:前立腺,脳外科,外部機器接続,画像フィルタ
これらの基本機能を基に,研究者は特定の臨床研究に特化したソフトウェアを開発し,臨床試験評価を行う。臨床試験評価でその有用性が確認された後は,プロジェクトによって展開の仕方が異なるが,多くの場合,大型のコーフォースタディに展開することとなる。また,場合によっては,商用ソフトウェアに移植されることもある。現在,3D Slicerを用いて行われている研究のすべてをとらえることは難しい。しかし,その応用先は,胸部画像自動診断,整形外科手術支援,精神科MRI診断支援,集束超音波治療支援,CT誘導下手術支援(図1)など多岐にわたり,増加の一途をたどっている。ソースコードの開示と,ITK,VTKによる拡張性が功を奏し,研究者の間での人気は高まるばかりである。米国NIHとして,3D Slicerを用いた研究をターゲットとした予算の配分も行われている。

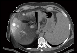
図1 CT誘導下肝がん焼灼術における術中CTと術前MRIの変形統合 (慶應義塾大学およびハーバード大学: 小黒先生提供)
図1 CT誘導下肝がん焼灼術における術中CTと術前MRIの変形統合
(慶應義塾大学およびハーバード大学: 小黒先生提供)

■3D Slicerとソフトウェア工学

3D Slicerをはじめとした高度なFOSは,Extreme Programming法を軸とした先端ソフトウェア工学に支えられている。以下に,その基本的な工学手法を列挙する。

●マルチプラットフォーム用ビルドシステム
3D Slicerは,異なる研究機関の多様な開発用プラットフォームであっても同じソースコードを活用するための,マルチプラットフォーム用のビルド環境を提供している。ビルド環境は条件付きでインクルードファイル,ライブラリをプラットフォームごとに自在に変更することができるものとする。また,後述する「動作検証基盤」を,ビルド環境に兼ね備えさせることができている。

●共有型オンラインバージョンコントロールシステム
複数のソフトウェア開発者が同時に大型ソフトウェアシステムに取り組むためには,バージョン管理を徹底し,ソフトウェアの品質管理を行う必要がある。特に地理的に離れた共同研究機関が同時にソフトウェア開発を行うためには,これをネットワーク環境化で監督する必要がある。そのための共有型オンラインバージョンコントロールシステムを開発した。このシステムは,複数の異なるプログラマから提供されたコードを比較,統合し,コードの変更を逐次報告する機能を有する。薬事承認で実績のあるSVNを採用した。

●ドキュメンティングシステム
コード内のコメントを基に,オブジェクト指向言語のクラス構造や,メンバ関数・変数の効率的な表現に適したドキュメンティングシステムを構築した。ドキュメンティングシステムは,上記の共有型オンラインバージョンコントロールシステムと同期し,オンラインで更新された最新バージョンのソフトウェアのマニュアルが,オンラインで閲覧できるようになっている。

●ソフトウェア動作検証システム
医療用ソフトウェアの動作検証を行うために,「解」の決まった一定のアルゴリズム操作を繰り返し行わせ,品質管理を行っている。当該動作検証システムは,上記のマルチプラットフォーム用ビルドシステムと共有型オンラインバージョンコントロールシステムを連動し,マルチプラットフォーム用ビルドシステムを用いたコンパイル直後に動作試験を行い〈機能1〉,共有型オンラインバージョンコントロールシステムに対して,オンラインで更新された最新バージョンのソフトウェアを対象に動作検証を行い〈機能2〉,その結果を同じく共有型オンラインバージョンコントロールシステムに登録している。特に〈機能2〉は,誤って動作不能のソフトウェアが登録された場合(あるいは,あるOS上で動作しても他のOSで動作しないソフトウェアが登録された場合)に,共同作業を行うプログラマに警告を発する効果がある。

■商用ソフトウェアへの展開:3D Slicerの役割(図2)

3D Slicerは,約100万行のソースコードで構成されている。ここから開発コストを見積もると,約20億円から30億円に相当する。さらに,ITK,VTKを合わせると,最低でも約60億円の価値がそこに潜んでいる。しかも,これらのコードが開示され,BSDライセンスによる商品開発への推進が,NIHの指導により図られている。
3D Slicerに関してもここから展開して,最近では商用ナビゲーションツールシステムとの連携研究が行われている。元来,脳神経画像処理ツールとして,脳実質の自動セグメンテーションや,脳アトラスの患者画像への統合,トラクトグラフィ,fMRI処理等の機能開発が備わっている3D Slicerを術中応用して,将来の商用ナビゲーションシステムの新機能の選択調査を行おうという取り組みである。
その一例として,術中トラクトグラフィについて説明する。術中トラクトグラフィとは,脳神経ナビゲーションシステムの位置センサを用いて,トラクトグラフィの起点(シード)を指定し,神経トラクトグラフィを行うものである。術前にあらかじめトラクトグラフィを用意してから手術に臨むのではなく,腫瘍と機能的に重要な神経軸索の位置関係を,手術状況に沿って観察できるという利点があり,かねてから実用化が望まれてきた。
われわれはこれを,3D Slicerと商用手術ナビゲーションツールの統合を行いながら実現したので,図2に提示する。一般的に,商用システムへの外部ソフトウェアの接続は制限されているが,本研究ではBrainLab社の協力の下,ナビゲーションシステム(Vector Vision:BrainLab AG, Germany)の外部アプリケーションインターフェイス(VVLink: BrainLab AG, Germany)および3D Slicerを接続した。実は,同様の技術を用いて,AZE社の画像解析ワークステーション「VirtualPlace」の接続も確認しており,デモンストレーションながら,VirtualPlaceの手術ナビゲーションへの拡張性を提示することができている。
このように,研究機関で開発改良を続けられているFOSは,商用ソフトウェアへの組み込みの前段階として,プロトタイプ開発および臨床試験に非常に適している。今後は,3D SlicerのようなFOSが,医用画像処理における産学連携体制の要となることが予想される。

図2 商用ソフトウェアと連携して術中トラクトグラフィを行う3D Slicer
図2 商用ソフトウェアと連携して術中トラクトグラフィを行う3D Slicer

■VirtualPlaceの先進性

このように,FOSの重要性と先進性に産業界が気づき始める中,Virtual Placeの製造販売元であるAZE社はハーバード大学医学部Surgical Planning Laboratoryおよび米国医用画像処理アライアンス(研究代表者Ron Kikinis)と密接な研究開発体制を築き,いち早くFOSとの接点を探ってきた(図3)。特に3D Slicerを軸とした開発・臨床評価にVirtualPlaceの開発陣が参画しながら,ここから生まれる先端医用画像処理技術の導入を目指している(図4)。また,全米の研究者を招いて行われる開発合宿にAZE社の社員も参加し,産学連携ならぬ産学同化の体制を敷いている。来る2009年国際医用画像総合展において,AZE社とこれらの大学研究者の共同開発の成果が発表されるとのことなので,ぜひ注目されたい。

図3 米国医用画像アライアンス(2008年6月,マサチューセッツ工科大学,120名参加)のプログラミング合宿に参加するAZE関係者
図3 米国医用画像アライアンス(2008年6月,マサチューセッツ工科大学,120名参加)のプログラミング合宿に参加するAZE関係者

図4 変形医用画像統合によるアンギオ差分画像(AZE社,VirtualPlace) Aは改良前,Bは改良後であり,改良後はノイズが減少している。AZE社とハーバード大学の共同研究開発を3D Slicerで行った後,商用ソフトウェア「VirtualPlace」に移植された。
図4 変形医用画像統合によるアンギオ差分画像(AZE社,VirtualPlace)
Aは改良前,Bは改良後であり,改良後はノイズが減少している。AZE社とハーバード大学の共同研究開発を3D Slicerで行った後,商用ソフトウェア「VirtualPlace」に移植された。

▲ページトップへ

目次に戻る