ホーム
AZE
別冊付録
Virtual Human & Analysis No.9
AZE VirtualPlace最新情報 〜新世代へ向けたアプリケーション開発〜
![]()
AZE VirtualPlace最新情報
〜新世代へ向けたアプリケーション開発〜
●はじめに●
近年,高速化・多機能化を遂げた画像解析ワークステーションは,日常診療に使用されるツールとして活躍場面がひろがってきている。ネットワーク型画像解析ワークステーション「AZE VirtualPlace Plusシリーズ」は,病院既存の汎用PCに解析機能を供給することができ,さまざまな診療科で画像解析・診断に用いられている。本稿では,AZE VirtualPlaceシリーズの最新アプリケーションソフトウェアについて紹介する。
●新・大腸解析ソフトウェア●
AZE VirtualPlaceの最新大腸解析ソフトウェアは,画像読み込みを行うだけで,大腸のフライスルー検索や展開画像解析を自動的に行うことが可能である。2方向(仰臥位・腹臥位など)での解析にも対応し(図1),より正確な診断を簡単に行うことができる。デジタルクレンジング技術も搭載しているため,前処理を行うことにより,残渣領域の診断に使用可能である。解析レイアウトもユーザーに合わせて切り替えて使用することにより,大腸のスクリーニング検査などをより迅速に解析・診断することが可能となる。

図1 仰臥位・腹臥位の2方向解析
●ルーチンで使える解析アプリケーション●
〜CT冠動脈解析ソフトウェア〜
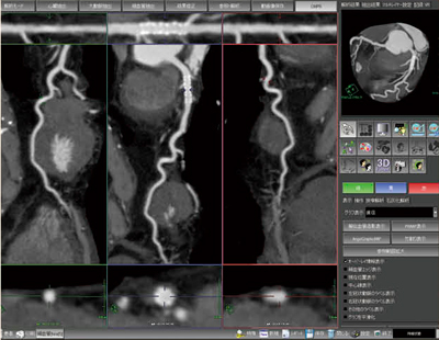
改良された冠動脈解析用ソフトウェアCT細血管解析は,より臨床に即したアプリケーションとなっている。自動解析の精度も向上し,さまざまな症例に対応可能となっている。観察に使用する画面は,さらに使いやすくレイアウトを変更できるようになっており,新たに3枝を同時表示できるレイアウトが追加された(図2)。これにより,画面を切り替えることなく複数の枝を同時に観察することが可能となり,3枝病変の観察や側副血行路などの観察が容易に行えるようになっている。

図2 冠動脈3枝同時解析画面
●より正確な情報を提供するサブトラクション●
異なる撮影日の造影,非造影データをサブトラクションし,血管を抽出できるという従来のメリットに加え,今回,新たに脳実質や石灰化等の抽出を詳細に調節することが可能となった(図3)。また “位置合わせ”から“血管抽出”までのすべての作業を,画像を読み込むだけで全自動で行うことが可能である。

図3 クリップを残したサブトラクション画像
●幅広い拡張性●
〜PACS連携〜
RIS/PACS統合における傾向のように,AZE VirtualPlace PlusシリーズはPACS製品と連携し,豊富な3Dワークステーション機能をPACS画像端末に提供できる。PACS連携ソリューションは,病院全体のワークフローを確実に高める。AZE VirtualPlaceが成し得たPACS連携は,PACS画像端末上で選択し閲覧している患者 データに対して,ワンクリックでアプリケーション解析を行うことができ,ソフトウェアの立ち上げ,患者再選択の作業の必要がない。この高度な 臨床応用は,画像診断の真の可能性を引き出すソリューションとも言える。
ネットワーク型ワークステーションが普及し,さまざまな診療科で日常的に使用されるツールとなった今,臨床現場では,有用で使いやすく,使う人の技量に左右されない機能が求められてくる。当社はこれらのニーズに応えるため,今後も,質の高い製品開発を行っていく。