ホーム
AZE
Technical Note
腹部画像解析技術と至適表現法
![]()
2012年4月号
Abdominal Imagingにおけるモダリティ別技術の到達点
近年の工学技術の進歩により,さまざまな分野の画像解析技術が医用画像に応用されている。マシンパワーの向上も相まって,数年前に比べると,画像表示や画像統合,物体抽出などの解析精度やスピードは飛躍的に向上している。さらに,近年の目覚ましいスキャナの進歩により,高密度な断層画像を得ることができるようになり,われわれが取り扱う医用三次元画像も,臓器の体積計算や微小構造物の検出精度が向上している。しかし,最新技術が登場しても,ユーザーが施設の状況に沿った至適な使用方法を模索する必要があるため,現場で日常的に使用されるまでには少なからず時間差が生じてしまう。
本稿は,開発者と臨床や研究現場を仲介する立場から,腹部領域の解析ソフトウェアにおける最新技術と至適な使用方法を提示することで,技術開発から臨床現場で活用されるまでの時間差の解消を目的とする。
■肝臓解析ソフトウェア

当社では,腹部ダイナミック造影データから肝臓実質を自動抽出する技術を開発し,門脈や静脈などから,脈管が持つ血管支配領域を計算するソフトウェアを,いち早く市場に投入した。肝臓解析を行う目的は,肝移植や肝切除の際に,切除部分の体積が肝臓全体に対してどれくらいか,残肝はどれくらいの容積であるかを術前に調べることにある。肝臓解析ソフトウェアにて切除体積を計算することによって,手術が肝臓に及ぼすダメージを推測でき,予後の判定に役立てることができる。また,体積計算だけでなく,ポリゴン表示やカット断面にグレイスケールの信号値を当てはめて表示する(図1)などの工夫を施すことで,臨床医にとって術中に注目される脈管の箇所を,よりイメージしやすいように開発されている。

1.複数フェイズデータによる形状誤差問題と解決
以前より,複数フェイズのデータを使用することにより,画像間の形状誤差が生じることが問題として指摘されている。それは,例えば,門脈相で肝臓実質と門脈を抽出し,平衡相で静脈を抽出した場合,門脈の支配領域は正しく抽出されるが,静脈の支配領域は正しく抽出されるとは限らない。これは,門脈相と平衡相の間に,少なからず形状の誤差が生じる可能性が残るからである。この問題に対し,非剛体レジストレーションを複数のフェイズに適応させることで解決を試みる。非剛体レジストレーションとは,画像間に写る同一物体の形状の変形を補正できる仕組みである。本手法は,特に変形が生じやすい左葉外側区域や右葉後区域などへの効果が期待されている(図2)。

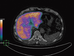
2.核医学情報の共有と活用
前述のとおり,高密度な医用三次元画像における肝臓機能評価は,主に体積を測定することで機能が推定されていた。しかし以前より,肝機能評価は,RI(放射性同位元素)を用いた測定が一般的であり,検出器や画像化アルゴリズムの進歩に伴い,現在も多くの検査がなされている。そこでわれわれは,医用三次元画像における上記の解析機能に,RIによる機能情報を付加することで,肝機能をさらに深く評価できる可能性を研究している。
しかし,前述のとおり,三次元画像として収集されるCTやMRIのデータに対して,SPECTなどのRIを用いた検査は機能画像と呼ばれ,一般的に形状情報に乏しく,また違うモダリティ,違う検査日で撮影されることが多い。そのため従来では,三次元データの肝臓部分に対して機能画像中の同一部位を重ね合わせることは,ほぼユーザーの目視によって判定され,定量性の低さを指摘されることが多かった。この問題を解決するため,当社は独自のアイデアに基づいた新しい非剛体レジストレーション手法を開発した(図3)。本手法により,以前より豊富なデータに基づく核医学の情報を,より治療に適した情報として抽出することが可能になると考えている。
3.高速解析システムの開発
ここまで,肝臓解析に関する新技術を概説した。しかし,最新技術が浸透しない大きな理由は,「時間がかかる」という点である。これは,単純にコンピュータの持つ限られた計算量をいかに配分するかという問題に帰着するように見える。
そこでわれわれは,施設環境の中で画像が生成されるスキャナから解析結果を必要とするユーザーまでのプロセスを一つのアーキテクチャととらえ,これまで取り組んできたネットワーク技術を用いることで,プロセスを最適化することをめざしている。(1) まず2011年より取り組んでいる自動解析機構を肝臓に応用する。(2) 次に,前述の形状補正と肝臓領域自動抽出,門脈,肝静脈の抽出を完全に自動化する。(3) 抽出された状態を保存し,ユーザーがワンクリックで展開できる状態にする。自動解析機構とは,スキャナから送られたデータをソフトウェアが撮影データの種類を判別し自動で解析を行うシステムである。
上記(1)〜(3)のように,一連のプロセスで結果出力まで終了できるシステムを可能にした。解析プロセスを中断しないシステムを構築することにより,コンピュータが解析に要する計算の無駄を極力省き,さらなる高速化を可能にしている。また,これらのプロセスは,すべてソフトウェアのバックグラウンドで解析が行われるため,ユーザーはこの間に他の解析ソフトウェアを使用することができる。これにより,多くのマンパワーを確保することができるため,さらなる高速化と効率化が可能になると考える。
■大腸解析ソフトウェア
大腸の検査では,内視鏡検査をはじめとしたさまざまな検査方法があるが,近年では腸管を拡張させた状態でCTを撮影する検査も多い。この検査のメリットは,内視鏡検査中などに見つかった狭窄部分の原因を精査したり,狭窄部分以降の腸管を確認できることである。また,内視鏡検査後に腸管を拡張させた状態で造影を行い,撮影するという例が多く見られる。そして画像作成は,造影データと腸管データをもとに,血管,腸管,腫瘍,拡張したリンパ節などを抽出し,重ね合わせて表示される。これらの画像は,腹腔内視鏡による手術の術前情報として用いられることがあり,単項式腹腔鏡など,近年の進化する手術を補助する重要な情報源となりうる。
1.ストレスを軽減する読影インターフェイス
近年では,ポリープの検診として腸管を拡張させてCTを撮影し,内視鏡検査の代わりとする機会も増えている。米国では,自動炭酸ガス注入器も普及しており大腸CT検査は一般的ではあるが,当社は日本での普及もめざし,いち早く最適な読影インターフェイス,特殊な造影に合わせた解析技術の開発などを行ってきた。
まず,最適な読影インターフェイスについて述べる。大腸解析ソフトウェアには,腸管の経路を追跡し,その経路に沿って仮想内視鏡モードを走行させ,大腸の内壁の構造物を観察しやすく表示する目的がある。診断は,原画像をもとになされるが,検出という意味では,仮想内視鏡モードで突起物などを認識した方がストレスは少ない。当社のソフトウェアは,そのような状態を顧みて構築されている。ビューアには,仮想内視鏡モードと,仮想内視鏡の視点と同じ方向のMPRを対にして表示している。これにより,(1) 仮想内視鏡による突起物の検出,(2) 突起物をビューア上でクリック,(3)突起物を軸に,MPRで形状とCT値の確認を容易に行うことができる。前述の肝臓解析ソフトウェアは,目的が治療補助であったが,大腸解析ソフトウェアは,このように読影補助を目的に設計されていることから,三次元画像とMPRが常に連動する仕組みを持っている。また,別体位の比較モードや大腸の展開表示,エアー像の表示も備えており,さまざまな読影方法に対してもアプローチが可能になるよう開発されている(図4)。

図4 大腸解析レイアウト
本稿では,腹部画像解析における最新技術と解析結果の表現方法について述べた。現在,医用画像解析の状況や環境はより早く変化している。今後も,状況の変化に常に対応した画像解析および読影システムを提供できるように心掛けたい。