RSNA 2010 Ziosoft Booth Report 注目の次世代4D解析技術PhyZiodynamics

ホーム の中のザイオソフトの中のNew Horizon of 4D Imagingの中の RSNA 2010 Ziosoft Booth Report 注目の次世代4D解析技術PhyZiodynamics

注目の次世代4D解析技術
PhyZiodynamics

Ziosoftは,11月28日〜12月3日にシカゴで開催されたRSNA 2010において,同社が独自開発したスーパーコンピューティング技術に基づく最新画像処理技術“PhyZiodynamics”を前面に出した展示を行った。PhyZiodynamicsが持つ無限の可能性や,それらの基幹技術が利用された「ziostation2」のアプリケーションソフトウエアが紹介された。ブース正面のコーナーでは,さらに一歩進めた“PhyZiodynamic inVivo”(W.I.P.)という最新の技術を含めてデモンストレーションを行ったほか,VersaWebを用いたiPadによる3D画像参照のネットワークソリューションなども展示した。

【 ザイオソフトRSNA 2010情報ページ 】http://www.zio.co.jp/rsna/

  Ziosoftブース
ziosoft ziosoft ziosoft


s PhyZiodynamics〜かつてないリアルな生体情報を観察できる新世代技術〜

PhyZiodynamicsは,独自のスーパーコンピューティング画像解析アルゴリズムと,膨大なデータ処理が可能な高速化技術によって実現された技術である。モダリティから得られた複数の位相の元画像データから,数倍以上の位相分のボリュームデータを高速に処理することができる。その結果,心臓などの動きを伴う臓器を,非常に自然な4Dとして解析することを可能にし,モダリティから得られるさまざまな情報を融合して,動きの中で生体情報を詳細に可視化できる技術である。PhyZiodynamicsは,現在,アメリカのマサチューセッツ・ジェネラルホスピタル,クリーブランドクリニック,メイヨークリニック,UCSF,UCSTなどで共同研究が始まっており,期間中も来場者から感嘆の声があがっていた。

さらに,今回は“PhyZiodynamic inVivo”という,最新の技術が参考出品された。inVivoでは,PhyZiodynamicsの処理画像を含めてさまざまなモダリティデータを合成し,4Dで画像処理を行うことが可能である。1万8000スライスの画像を,速度を落とさずにリアルタイムに処理できる。それによって,心臓や脳の内部の動きがリアルに観察でき,従来には考えられなかった知見が得られるという。デモコーナーでは,心臓の弁のスムーズな動きや,頭部領域で血流とパフュージョンのデータを重ね合わせた4D や,4DによるSPECT/CTなど,今まで見ることができなかったリアルな生体画像が紹介されていた。

※PhyZiodynamicsの動画はこちらへ http://www.zio.co.jp/wip/

   
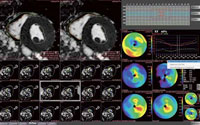
心臓の弁の動きをなめらかに表示
心臓の弁の動きをなめらかに表示
4D心臓フュージョン
4D心臓フュージョン

▲ページトップへ

s ziostation2のMRアプリケーション ─ さまざまな目的に対応するMR解析機能

3D医用画像処理ワークステーション「ziostation2」には豊富なMRの心臓解析アプリケーション類が搭載された。標準機能の1つであるマルチデータフュージョンでは,Whole heart coronary MR のVR画像に遅延造影画像を重ね合わせたフュージョンも可能で,低侵襲なMRIで心筋シンチグラフィのように心筋の血流状態を視覚的に確認できる。このほか,多数の機能について現在,米国や日本国内の施設において共同研究が進められており,その充実ぶりがうかがえ,今後のさらなる充実にも期待できる。以下にRSNAで紹介された新機能を中心に紹介する。

MR冠動脈解析
画面の操作環境が一新され,定評のあるziostation2のCT冠動脈解析のインターフェイスが適用された。さらに,血管の中心線抽出の精度や速度,修正時の操作性が向上している。血管抽出の精度が向上したことにより,複数の血管パスを利用して多曲面をMIP投影するFlex Surface MIPの作成も簡便になり,広範囲の冠動脈の観察をサポートしている。
  MR冠動脈解析
MR遅延造影解析
遅延造影撮像のデータから,心筋梗塞領域の位置と範囲を表示し,Bull’s eye mapで局所の心筋バイアビリティを評価することができる。ワンクリックで外膜側,内膜側をオートトレースする。遅延領域の面積と体積を自動計測し,全心筋,内膜側,外膜側のBull’s eye mapが表示される。
  MR遅延造影解析
MR心機能解析(RV)(W.I.P.)
今回新たに左室(LV)に加えて,右室(RV)の解析も可能にした。PhyZiodynamicsの技術を応用した心筋の壁の自動抽出が搭載されており,自動補間機能により,ワンクリックですべてのスライスに反映するオートトレース機能を搭載している。
  MR心機能解析(RV)(W.I.P.)
MRストレイン解析(W.I.P.)
MR心機能解析の検査で,心臓にタグをつけてその動きを観察する“タギング”の解析機能を紹介した。PhyZiodynamicsの技術を応用したもので,最新の3T MRIにも対応している。高画質化とともに,タギング機能の組み合わせにより,新しい知見が期待されている。
  MRストレイン解析(W.I.P.)
MRトラクトグラフィ(W.I.P.)
頭部における神経線維の軸策を追跡して描出する。線維が通過する領域を任意に指定することができ,テンソル方向ごとに色分けして表示をすることが可能である。MPR断面を合成できるので,病変部分などとの位置関係が把握ができる。
  MRトラクトグラフィ(W.I.P.)

▲ページトップへ

s ziostation2のCTアプリケーション ─ ワークフローの簡便化により作業効率を大幅に短縮

ziostation2では,自動前処理機能として自動抽出を実行し,さらに施設ごとにワークフローの最適化が可能なパレットやマクロ機能の変更・登録が柔軟に可能となった。これらを簡便にサポートするカスタマイズプロトコルや,目的に合った画像作成が,操作者の経験値に依存せずに実行できるクリニカルガイド機能を搭載して,使い勝手の向上が図られた。

CT大腸解析
CT Colonography(CTC)検査における前処置で,バリウムやガストログラフィンで標識した残渣,残液を画像処理で取り除く,クレンジング機能を紹介した。自社独自開発のVGP表示を含め,2体位を同時に表示観察が可能であり,簡便なワークフローも提供されている。国内では2010年12月から開始された国立がん研究センターでのCTCスクリーニング検査で実際に使用が始まっている。
  CT大腸解析
CT肝臓体積測定
CT肝臓体積測定では,PhyZiodynamicsの技術を応用して,門脈,動脈,静脈の抽出と,高精度な位置合わせが可能となり,ボリュームでの肝臓の抽出が高精度に自動で可能になった。 左葉,右葉の自動分割,8区域の自動分割など,実用的な機能が搭載されている。
  CT肝臓体積測定
CT肺野・気管支測定
CTによる肺のCOPD(慢性閉塞性肺疾患)における気管支解析では,気管支の抽出が自動で行われ,1クリックによる気管支のパスの作成,ストレート CPR像が表示できる。さらに気管支の短径,長径,壁厚などの計測も簡単に行うことが可能で,肺のボリュームの測定も自動で行われる。また,肺の低吸収域(LAA%)の表示なども容易に行える。
  CT肺野・気管支測定 CT肺野・気管支測定

▲ページトップへ

s まとめ ─ iPadを利用したネットワークソリューションなど多様な製品展開に期待

RSNA 2010では,Ziosoft が自社の技術力を惜しみなく製品の具現化に向けて活用し,積極的に展開している姿勢が伝わってきた。今後,日本でもPhyZiodynamics をはじめとする豊富なアプリケーション類が次々と実用化されていくだろう。今回のレポートでは,PhyZiodynamicsを基幹技術とする解析アプリケーションを中心に紹介したが,このほかにも,ziostation2の2D/3D画像を表示・拡大縮小などの操作をiPad上で実現するネットワークソリューションなども紹介され,注目を集めていた。この製品は,国内では2010年12月より“ziostation2 zioMobile Gateway”として発売開始している。次号からはZiosoft のソリューションが臨床現場で実用化されている例を特集していく予定である。
  iPadを利用したネットワークソリューションなど多様な製品展開に期待
(インナービジョン2011年1月号掲載)

▲ページトップへ

RSNA2010 Web版 ブースリポート

ziosofotトップへ

●販売代理店
アミン株式会社
http://www.hi-amin.co.jp/
〒103-0033 東京都文京区本郷2-27-20
tel:03-5689-2323 fax:03-5804-4130
●製造販売元
ザイオソフト株式会社
http://www.zio.co.jp/
〒108-0073 東京都港区三田1-2-18