ziostation2を用いて心臓MRI検査の総合的な画像解析を可能に 北里大学病院放射線部 秦 博文 / 北里大学医学部放射線画像診断学 井上 優介

ホーム の中のザイオソフトの中のNew Horizon of 4D Imagingの中のziostation2を用いて心臓MRI検査の総合的な画像解析を可能に


ziostation2を用いて心臓MRI検査の総合的な画像解析を可能に

北里大学病院では、2011年8月にziostation2が導入され運用を開始した。当院は、1.5T MRI装置4台を保有し、MRIの年間検査数は約1万4000件である。年々MRIの検査数が増加するとともに、3D画像処理、画像解析も増加の一途をたどっている。このことは現場の診療放射線技師の大きな負担となっており、操作性が良く、処理スピードや精度が高い画像解析が可能な画像解析ワークステーションが求められてきた。そこで、われわれがziostation2に期待するところは、特に循環器領域の画像解析である。心臓MRI検査では、シネMRI、パフュージョンMRI、遅延造影(late gadolinium enhancement:LGE)MRIなどの撮像がなされ、それらの画像を用いてさまざまな画像解析が行われる。ziostation2による心臓MRI画像解析アプリケーションの初期使用経験を紹介する。

s 当院の心臓MRI検査
図1 心臓MRIプロトコル a:シネMRI、b:Black blood MRI c:パフュージョンMRI、d:遅延造影MRI
図1 心臓MRIプロトコル
a:シネMRI、b:Black blood MRI
c:パフュージョンMRI、d:遅延造影MRI

当院では、Signa HDxt 1.5T(GE社製)を心臓MRIに用いている。心臓MRIの年間検査数は約180件、主な依頼理由は心筋症をはじめとする心不全である。心臓MRIルーチン撮像プロトコルは、black blood MRI、シネMRI、パフュージョンMRI(安静時)、遅延造影MRIである(図1)。負荷時のパフュージョンMRIは、現状では施行していない。

■左室容量解析(心機能解析2)

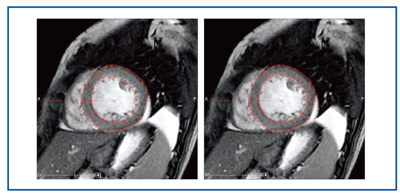
左室容量解析にはシネMRI画像を用いる。当院の撮像シーケンスは、心電図同期を併用した2D SSFP(GE社ではFIESTA)法である。心周期(R-R)を32分割で収集し、心尖部から心基部までの撮像を行っている。総撮像枚数は400枚以上であり、画像データが非常に多いが、ziostation2の心機能解析では大量の画像データを処理しても、まったくストレスなく動作する。心内腔の輪郭トレースは、肉柱や乳頭筋を心内腔に含む方法で行われるが、この方法の場合、特に収縮期において左室壁と肉柱の境界が認識しにくく、輪郭の抽出が難しいことをよく経験する。全自動での輪郭抽出に関しては高い抽出精度は難しいが、心拡張末期を含む数スライスのみについて手動で修正トレースを行うことで、残りの全スライスの半自動抽出が可能となる。
ziostation2を用いての半自動抽出の精度に関しては、特に輪郭の経時変化を非常に正確に追跡することに驚く。半自動輪郭抽出後の修正はわずかで操作もしやすいために、R-R多分割収集を行っても、輪郭抽出における処理者負担が小さくなることが期待できる(図2)。得られる解析結果はEDV(拡張末期容積)、ESV(収縮末期容積)、EF(駆出率)、PFR(最大充満速度)、PER(最大駆出速度)などに加えて、被検者の身長、体重を入力することで体表面積が求められ、体表面積で補正した値(EDVI:拡張期容量係数など)が自動算出される(図3)。さらに新しい機能として、心機能解析画面上で右心室輪郭をトレースすることで、右室容量解析も可能である(図4:W.I.P.)。

図2 シネMRIの輪郭半自動抽出と修正後の輪郭 図2 シネMRIの輪郭半自動抽出と修正後の輪郭

図3 左室容量解析(心機能解析2) 図3 左室容量解析(心機能解析2)

図4  右室容量解析(W.I.P.) 図4 右室容量解析(W.I.P.)

■心筋パフュージョン

当院では、心筋パフュージョンは安静時のみの施行である。撮像シーケンスはIR-FIESTA法である。従来の画像評価は視覚のみでの評価が中心であったが、ziostation2では視覚評価に加えて、time intensity curve(TIC)を用いた半定量解析が可能である。解析は左室心筋を詳細なセクターに分けて行い、内膜側と外膜側に分けることもできる。TICはセクターごとに色分けして表示され、非常に観察しやすくなっている(図5)。TIC表示のほかにTTP(time to peak:造影剤到達ピーク時間)、MBV(myocardial blood volume:心筋血液量)の参考値、MTT(mean transit time:平均通過時間)の参考値もBull's eye表示可能である。負荷パフュージョンMRIを行えば、安静時と同一画面表示が可能であるために、両者を比較しながらの観察もしやすい。

図5 パフュージョンMRIのセクター分割とTIC表示
図5 パフュージョンMRIのセクター分割とTIC表示

■遅延造影(LGE)

遅延造影は、われわれが対象とする心不全の心臓MRIでは、最も重要な検査法である。当院の撮像シーケンスはIR-GRE法である。遅延造影MRIは正常心筋をinversion recovery pulseによって抑制し、壊死または線維化して心筋に残った細胞外液性Gd造影剤の増強効果を見る検査である。本撮像も、従来は視覚のみでの評価が中心であった。ziostation2では、心内膜側および外膜側を輪郭抽出することで、遅延造影陽性領域をBull's eye表示できるほか、容積評価も可能となった。正常心筋に関心領域を設定し、その信号強度と標準偏差から決定した閾値をもとに、異常増強効果のCore領域とGray領域を抽出する。これらをカラーで表示するとともに、それぞれの面積(容積)を測定する(図6)。閾値は正常心筋信号の平均値と標準偏差の定数倍との和で定義され、定数はユーザーレベルで設定可能である。本手法を用いることで、視覚評価に加えて数値化した評価を加えることができ、より客観的に遅延造影を評価できる可能性がある。

図6 遅延造影 MRIのCore領域とGray領域のカラー表示と容積表示 図6 遅延造影 MRIのCore領域とGray領域のカラー表示と容積表示

■心筋ストレイン解析

今回、ziostation2を運用開始するにあたって、われわれが重要視しているアプリケーションの1つが心筋ストレイン解析である(W.I.P.)。心筋ストレイン解析には、tagged MRIの画像を用いる。この撮像法は、撮像時に心筋に格子状の模様をtag pulseによってつけることで、局所の心筋壁運動を観察しようとするものである。従来から撮像法は存在していたのだが、解析が困難であった。ziostation2では、新しい基幹技術であるPhyZiodynamicsを応用し、解析処理が可能になった。radial strain(短軸像の心内腔の中心から外側に向かう方向 )およびcircumferential strain(radial方向と垂直方向 )を解析可能である(図7)。3T MRI装置の普及により、3T装置のT1時間延長を生かしてtagged MRIが再び注目されつつある。

図7  心筋ストレイン解析画面(W.I.P.) a: radial strain解析画面 b: circumferential strain解析画面 図7 心筋ストレイン解析画面(W.I.P.)
a:radial strain解析画面
b:circumferential strain解析画面

■フロー解析

MRI検査の利点の1つであるphase contrast法による定量的な流速(流量)測定は、心臓MRIにも応用されている。大動脈弁の評価をはじめ、僧帽弁の評価などにもziostation2のフロー解析アプリケーション(W.I.P.)が利用できる(図8)。関心領域の抽出もシネMRIの心容量解析時と同様に、特に半自動抽出において精度が高い。

図8 フロー解析画面(僧帽弁)(W.I.P.) 図8 フロー解析画面(僧帽弁)(W.I.P.)

▲ページトップへ

s 高度な心臓MRI検査に不可欠なziostation2

ziostation2の心機能解析アプリケーションの使用経験を述べた。もはや、心臓MRI検査は高性能なMRI装置が必要であるだけでなく、その画像を用いた各種の精度が高い画像解析が可能な画像処理ワークステーションとアプリケーションが必須である。ziostation2は研究中のアプリケーションを含め、ほぼすべての心臓MRI画像解析を可能とし、その操作性、精度も非常に高い。
今後は、ziostation2のような画像処理ワークステーションの普及が、心臓MRIを臨床に生かす上で重要な要素であると考える。本稿では紹介しなかったが、冠動脈MRAの画像処理アプリケーションと併せて、総合的な心臓MRI画像処理ワークステーションとしてのziostation2を今後ますます使い込んで、その有用性を紹介していきたい。

▲ページトップへ

(インナービジョン2011年12月号掲載)

ziosofotトップへ

●販売代理店
アミン株式会社
http://www.hi-amin.co.jp/
〒103-0033 東京都文京区本郷2-27-20
tel:03-5689-2323 fax:03-5804-4130
●製造販売元
ザイオソフト株式会社
http://www.zio.co.jp/
〒108-0073 東京都港区三田1-2-18