ホーム
ザイオソフト
New Horizon of 4D Imaging
外傷IVRにおける仮想透視画像(Virtual Fluoroscopy)の活用 〜1分1秒でも早く出血を止めるために
外傷IVRにおける仮想透視画像(Virtual Fluoroscopy)の活用
〜1分1秒でも早く出血を止めるために
国立病院機構災害医療センター放射線科、DIRECT研究会* 一ノ瀬 嘉明
聖マリアンナ医科大学救急医学、DIRECT研究会* 松本 純一
[Trauma Panscanの普及]
以前は“死のトンネル”と揶揄されることもあったCTだが、MDCTの性能向上や普及により、外傷診療におけるCTの位置付けは大きく変わった。全身撮影のスキャン時間が飛躍的に短縮し、さまざまな再構成画像を作成することができるようになった。MDCTを用いた外傷患者に対する全身撮影(Trauma Panscan)の有用性が報告され、現在広く行われている。限られた時間の中で全身のさまざまな部位の損傷を把握しなければならない外傷診療において、治療方針決定に必要な多くの情報が得られるTrauma Panscanは今や“生へのトンネル”ともいえる。
[Preprocedural Planningと仮想透視画像]
MDCTによって得られる1mm以下の詳細な解剖学的情報を、診断や治療方針決定だけではなく、安全・確実・迅速なIVR遂行のために有効活用したい。われわれはIVR手技を行う前に、ziostation2を用いた手技内容の術前検討Preprocedural Planningを行っている。Preprocedural Planningでは、MPRやVR、thick-slab MIPやminIPのほか、透視画像と並べて直感的に情報を生かすことができる仮想透視画像(Virtual Fluoroscopy)を作成している。最新の画像機器では血管造影画像やCT画像を透視画面にフュージョンさせて表示するようなシステムも実用化されつつあるが、この仮想透視画像はワークステーションがあれば簡単に導入・実践することができる。
仮想透視画像とは、透視時の画像に類似したRay Summation image上に、血管の走行や病変部位などを重ねて表示させたものである(図1)。ziostation2にて術前CTのボリュームデータをSUMモードで表示し、白黒反転、およびメルクマールとなる骨構造の輪郭がはっきりするようエッジフィルタをかけている。手技に必要な血管の走行に沿ってパスを描き、治療対象とする病変位置もマーキングして重ねて表示する。このようにして作成した仮想透視画像により、血管の走行や分岐位置、治療対象とする出血点や腫瘍などが透視上でどのような位置に相当するのかを直感的に把握することができる。仮想透視画像は任意の角度に回転させることができ、対象とする血管の分岐を最も把握しやすいworking angleはどのような角度なのか、そのworking angleではどの位置に出血点や腫瘍が存在しているのか、などを術前に把握することができる(図2)。解剖把握のための血管撮影を最小限に減らすことができ、造影剤量や被ばく量を低減させるだけでなく、手技時間の短縮によって合併症を減らすことにもつながる。

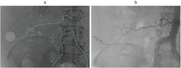
図1 仮想透視画像(Virtual Fluoroscopy)
右第3腰動脈遠位からの出血症例。仮想透視画像(a)では、CTにてExtravasationを認めた位置を丸で囲み、同部に向かう責任血管の走行をパス(緑のライン)で示している。L3棘突起上縁右側より起始していることがわかる。実際の血管撮影画像(b)と酷似していることがわかる。

図2 working angleの術前シミュレーション
a:RAO38° b:正面像 c:LAO26° 右上殿動脈遠位からの出血症例。
任意の角度に回転したときの血管走行と病変位置を把握できる。
non-vascular IVRにおいても、たとえば膿瘍腔を仮想透視画像で示すことにより、図3のように透視上でどのように広がっているか把握することができる。術後の膿瘍であれば、骨だけでなく、すでに入っているドレーンや縫合に用いられたステープラなどの金属も仮想透視画像上に表示され、これらとの相対的な位置も把握することができる。血管ではなく胆管のパスを描くことでPTCDでも活用できる。
頭の中で描いていた解剖学的な把握を、このように透視画面に近い形で具体的に可視化して確認できることにより、不安なく自信をもって手技を遂行することができる。特に緊急時は、重症な患者を相手に迅速かつ合併症のない安全・確実な手技遂行が求められ、一方で常に経験豊富な者がスタンバイできているわけではない。こうしたプレッシャーのかかる状況下で行う手技こそ、Preprocedural Planningを積極的に活用したい。

図3 術後膿瘍症例
抜去したドレーンのtractに沿って膿瘍を形成。膿瘍腔の広がりを仮想透視画像で表示し(a)、tractを長軸でとらえられるworking angleを確認(b)。同角度の透視下手技 (c)にてtractの最も深い部分にドレナージチューブを留置した。
[外傷IVRにおける仮想透視画像の有用性]
外傷診療という時間との戦いの中で行うIVRは、分単位で状態が悪化し得る患者を相手に一刻も早く止血を完了したい。Trauma Panscanのボリュームデータより仮想透視画像を作成してどの位置からどの方向に血管が分岐・走行しているかを把握した状態で手技に望むことで、解剖把握のための不必要なmapping造影や、透視下での盲目的なカテーテル操作による時間の浪費を省き、迅速な血管選択、止血を目指している(図4)。実際には手技班と画像診断班に分かれ、手技の準備や開始と並行しながら、画像診断班による画像評価や仮想透視画像の作成、凝固能や循環動態の推移を把握、これらに基づく手技内容への指示を行っている。血管選択、塞栓、確認造影までのプロセスで動脈1本あたり10分以内を目標としている。

図4 小児の脾損傷症例
CTにて脾下極から腹腔内へ注ぐExtravasationを認め、直ちに血管撮影室へ移動。
血管造影の準備と同時進行で仮想透視画像を作成(a)。腹腔動脈の分岐位置と脾動脈・責任分枝の走行を把握。CT撮影から10分後の腹腔動脈撮影(b)。既に把握している責任分枝を迅速に選択し(c)、手技開始後9分で止血を確認した(d)。
仮想透視画像による血管分岐位置の把握は、多数の血管を選択しなければならない状況でより威力を発揮する。特に、転落外傷では複数の胸腰椎や肋骨の骨折による多発出血を伴うことがあり、腰動脈・肋間動脈を多数選択しなければならない場合がある。CT撮影から血管造影開始までの間に、10本以上の血管のパスをひとつひとつ描いている時間的猶予はないため、図5のように血管の起始部のみ点で示し、活動性出血の位置をマーキングしておく。画像診断班がそれを見ながら、術者の操作するカテーテル先端位置に対し、上下左右どの方向に動かせばいいか、目標血管は椎体のどの構造と重なっているかなどきめ細かく指示を出す。術者は透視画面だけを見てカテーテル操作に専念することができ、各血管を秒単位で選択することが可能となる。

図5 転落外傷による多発出血症例
高所からの墜落により骨盤骨折や傍椎体領域に多発出血を認めた。広範な組織挫滅に伴う凝固破綻をきたしており、ヒストアクリルにより多数の血管を塞栓した。
[まとめ]
CTは解剖学的情報の宝庫であり、これをうまく活用して安全・確実・迅速なIVR手技を実現したい。仮想透視画像は透視画像と並べて直感的にこうした情報を把握しやすい。外傷IVRなど、待機的手技だけでなく時間の限られた緊急時こそ、こうした解剖学的情報を最大限に活用して、迅速かつ確実な止血を成し遂げたい。今回紹介したような画像は慣れれば3分程度で作成可能である。一度使うとその便利さの虜になり、それなしではいられないような、例えるならカーナビゲーションのようなものである。是非一度お試しいただきたい。
*DIRECT(Diagnostic and Interventional Radiology in Emergency, Critical care, and Trauma)研究会は、救急現場で働く医師や医療従事者を対象に、救急画像診断や外傷診療・IVR手技に関するセミナーを開催している。詳細はホームページ(http://direct.kenkyuukai.jp)まで。
(インナービジョン2012年9月号掲載)
| ●販売代理店 アミン株式会社 http://www.hi-amin.co.jp/ 〒103-0033 東京都文京区本郷2-27-20 tel:03-5689-2323 fax:03-5804-4130 |
●製造販売元 ザイオソフト株式会社 http://www.zio.co.jp/ 〒108-0073 東京都港区三田1-2-18 |