ホーム
ザイオソフト
Technical Note
腹部領域における ZIOSTATIONの最新解析技術
![]()
2010年4月号
Abdominal Imagingにおけるモダリティ別技術の到達点
腹部画像診断においてはマルチスライスCTでの検査をはじめ,MRIやPETなど,検査種別は多岐に及んでいる。検査機器から得られるボリュームデータの画像解析にもさまざまな新しい手法や解析方法が提唱され,画像処理ワークステーションへの要望はますます高まっている。本稿では,画像処理ワークステーションに求められている機能と,それに対する当社の取り組みおよび最新の画像処理技術について述べる。
■多彩な腹部領域の検査に応えるアプリケーションを用意
腹部は臓器の多さと検査目的によってさまざまな画像解析方法がある。近年,モダリティの進化に伴い,より高精度な画像作成や解析が可能となった。しかし,高度な解析には高い経験値や技量を必要とし,画像処理に時間を要するという臨床現場の悩みがあった。新しい「ZIOSTATION」では,検査の目的に合わせた画像作成や解析が迅速かつスムーズにできるように目的に合わせたプロトコルを部位別に多数用意している。オートセグメンテーションによる骨除去や血管抽出などの自動処理では,ユーザーの技量に依存しない再現性の高い結果が得られる。また,自動処理と合わせガイド機能に沿って操作することで,画像処理解析の経験が浅いユーザーでも容易に解析ができる設計となっている。
例えば,“CT腹部大動脈瘤解析”では腹部大動脈にワンクリックでパスを作成し,簡便に動脈瘤の拡張率等を計測できる。“CT肝動脈塞栓術ガイド”では,VRやSUMで肝動脈塞栓術に必要な解剖学的情報(血管や骨)とカテーテルのルートを表示する手術ガイド画像を作成する。“CT下肢末梢動脈疾患解析”では,末梢動脈疾患(PAD)などの腹部〜下肢までの広範囲のCTデータを観察するために,血管の観察に不要な骨を自動除去し,血管のセンターラインを自動で作成する。微細な血管まで描出することが可能である。すでに実績のある“CT大腸解析”では,今般さらに機能の改良や新機能の追加を行い,2体位同時表示やパスの抽出精度などを強化した。
新しいZIOSTATIONでは,このような臨床現場のニーズに則した多彩なアプリケーションを30種類以上そろえており(図1),これらは今後,続々とリリースされる予定である。

図1 高度な画像解析をサポートする多彩なプロトコル
a:CT腹部大動脈瘤解析 b:CT肝動脈塞栓術ガイド c:CT下肢末梢疾患解析 d:CT大腸解析
■自動前処理機能
自動前処理機能とは,CTやMRIなどの各モダリティからデータサーバまたは画像処理ワークステーションにデータが転送された直後にデータの属性や臓器を判別し,検査目的に合わせた画像処理をバックグラウンドで自動で行う機能である。データ転送さえしておけば,オペレータはデータを開いた時点で前処理済みの画像から解析作業を開始できるため,作業時間の短縮が期待できる。
■自動骨除去の精度向上
オートセグメンテーション機能による骨除去の精度を改善し,従来難しかった下肢や頭頸部も,より正確に骨を除去できるようになった(図2)。

図2 大幅に向上した自動骨除去の精度
■ネットワーク型画像処理の進化
ネットワーク型の画像処理はさらに進化している。従来,Webブラウザを用いたクライアント端末では3D画像は閲覧するのみであったが,当社のネットワーク製品ではWebブラウザを用いたクライアントでもボリュームデータの画像処理が可能である(図3)。当社のネットワーク型システムの「ZIOSTATION VersaWeb4.0」ではJPEGやPDFなどの圧縮を行わないため,画質の劣化がなく,元画像のクオリティを保持している。Webの特性を生かし,ナローバンド環境でもストレスなく操作できる。

図3 Webブラウザで3D画像処理が可能なZIOSTATION VersaWeb4.0
■マルチモダリティフュージョン
従来から定評のあるマルチモダリティフュージョンでは異なるフェーズ,異なるモダリティのデータを三次元的に重ね合わせることができる。例えば,腹部領域においては動脈と静脈を重ね合わせた画像で血管走行を把握できる。肝臓では動脈,静脈,門脈の3層を重ね合わせることができるため,術前シミュレーションに役立つ画像の提供が可能である。 (図4)また,CTとMRIそれぞれの特性を用いて評価する膵臓などの臓器において,CTとMRIのデータを重ね合わせることで双方の特長を生かした画像作成が可能である(図5)。これらは三次元的にリアルタイムで重ね合わせ位置を修正することが可能である。

図4 術前シミュレーションにも役立つ異なるフェーズを重ね合わせた画像

図5 CT,MRI,PETを重ね合わせた画像
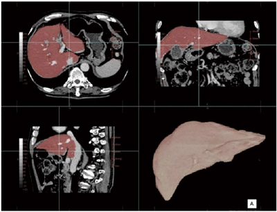
■肝臓解析(W.I.P.)
肝臓移植手術などの術前シミュレーションや肝実質の体積評価のための肝臓解析ソフトの開発にも取り組んでいる。オートセグメンテーション機能により,肝臓を抽出して領域ごとに表示する(図6)。

図6 オートセグメンテーションによる肝臓抽出
■時間軸を加えた レジストレーション技術“PhyZiodynamic”(W.I.P.)
当社では従来の3D解析に時間軸を加えて「動き」を正確に把握できるまったく新しい非剛体レジストレーション技術(PhyZiodynamic:フィジオダイナミック)の研究を進めている。この技術の応用により,CTで撮影した複数フェイズ間のデータに時間軸を加えて解析することで,非常に高い連続性が得られる。そのため被ばくの低減や動きの解析,定量解析(ストレイン)などが期待できる。
【問い合わせ先】 マーケティング部 TEL 03-5427-1903(代)