WEB REPORTインナービジョン誌掲載記事TOPに戻る

 

岩手県に医療の歴史を刻み続ける
岩手医科大学附属病院
 岩手医科大学附属病院は、岩手県の医療事情を改善するために、1897年に三田俊次郎氏によって創設された私立岩手病院を前身とする。地域に根ざした医療を提供するとともに、1901年には医学教育、私学教育を通じ医師として、また人として優れた人材を育成するため、同院を実習場とする東北・北海道初の私立医学校を設立。その建学の精神はいまも引き継がれている。その後、1926年には岩手病院診療棟(現・1号館)を竣工、67年に歯学部附属病院開設、80年には岩手県と共同で岩手県高次救急センターを開設、97年には創立60周年記念事業として、全国で3番目の高度先進専門病院となる循環器医療センターを開設するなど、岩手県の医療に新しい歴史を刻み続けてきた。現在は、病床数1051床、診療科目30科の規模を誇り、岩手県の高度医療の中枢を担っている。
 同院は、医療サービスの充実や医療技術の向上だけでなく、臨床研究の推進や在学生・卒業生のための研究体制の確立を使命として掲げている。1999年には文部省(現・文部科学省)の私立大学ハイテク・リサーチ・センター整備事業を受けて、先端医療研究センターおよび先進歯科医療研究センターが開設され、診療科目を超えた幅広いスタッフによる新しい医療技術の研究・開発がスタートした。
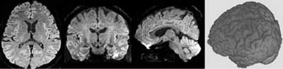
 先端医療研究センターは、「加齢に伴う神経損傷とその修復に関する研究プロジェクト」として発足し、その後は幅広いテーマの研究のために、学内外の研究者が広く利用できる共同研究施設として解放されている。なかでも超高磁場MRI研究センターには、当時は国内で数台しか稼働していなかったGE社製3.0T MRI(現在は「Signa EXCITE HD」にアップグレード)が設置されており、隣接するサイクロトロンセンターに設置されたPETと併せて、脳の画像解析の研究が進められている。これまでに、ボリューム拡散強調画像・拡散テンソル画像とその拡散異方性のカラー表示、特殊な曲面再構成法による脳表の構造や病変の局在の正確な同定、神経メラニン画像による神経伝達物質の機能イメージングといった研究が行われ、着実に成果を上げている。今後は、こうした撮像技術の臨床応用へ向けた取り組みや、3T MRIならではの新しい撮像法の研究が続けられていく。

 

●岩手医科大学附属病院
住所:〒020-8505 岩手県盛岡市内丸19-1
TEL 019-651-5111(代)
URL http://www.iwate-med.ac.jp/

●超高磁場MRI研究センター
住所:〒020-0173 岩手県岩手郡滝沢村滝沢字留が森348 番地65
TEL 019−694−1117
URL http://anatomy.iwate-med.ac.jp/Hitech/Main.htm (先端医療研究センター)


超高磁場MRI研究センター


▲ページトップへ

 
3T MRIならではの新しいイメージング手法を研究



MRS

●井上 敬先生(脳神経外科)
 超高磁場MRI研究センターでは、3T MRI(開設当初はGE社の3T MRI「SIGNA HORIZONE LX VH/i 3T」、現在は「Signa EXCITE HD」にアップグレード)を活用し、「神経損傷および老化のメカニズム解明」という大きなテーマの下、神経再生・変性についての研究を行う画像解析部門、治療法を検討する病理部門、病態を解明する生理部門の3つが研究を行っています。すでに1期目が終了し、2期目の研究が継続中です。
 私自身は7年前の開設当初から画像解析部門での研究に携わっており、具体的には、脳出血の患者の予後予測を早期に行うために、機能を画像化する手法を用いた撮像(fMRS,DTI,MRSなど)を行っています。3T MRIでは、手足の神経の走行、神経断裂や神経圧迫などの様子がより高解像度に見えますので、麻痺の原因を判断することも可能で、発症後約1週間で8割程度の患者の予後が予測できるというデータが得られました。これにより、患者ごとにより適したリハビリを行うことができますので、臨床的にも非常に有用であると言えます。脳梗塞については、一度回復した患者の再発の確率と、高リスク患者については手術によって再発の確率が低減されるかどうかを調べるための研究を行っています。これは現在も続けられており、手術によって予後が改善する患者をより早期に判定しようというものです。脳梗塞を予知するための研究では、超高磁場装置の利点を生かして造影剤を使わずに脳血流を測定しています。また、脳腫瘍については、術前の撮像で中心溝や言語野などを同定して、より安全な手術を行うための研究を行っています。これらは今後も研究の柱となっていきます。
 3T MRIについては、導入当初はさまざまな課題がありましたが、GE社の装置は世界で最も早く臨床応用され始めたこともあり、たくさんのノウハウがあります。GE社の技術者とは何度もディスカッションを重ね、われわれの要望についてもかなり反映してもらいました。改良も進んでおり、現在の「Signa EXCITE HD」は非常に良い装置になっていると思います。

「Signa EXCITE HD」のコンソール 超高磁場MRI研究センターでは、診断科を超えて気軽に意見交換をしながら研究を進めている。

●藤原俊朗先生(先端医療研究センター)
 私は画像工学が専門分野ですので、医師とはまた別の視点で医療に役立つ画像の研究をしています。現在はビジュアリゼーションに特化したアプリケーション開発と、統計解析の2点に絞って研究を進めています。なかでも拡散強調画像(DWI)は、MRIの撮像法の中ではいまのところ唯一、神経線維の描出が可能です。近年、ファイバートラッキングという、三次元で脳内の神経線維を可視化する手法が注目を集めていますが、より客観的な評価ができるソフトウエアが開発できれば、例えば脳腫瘍の術前の評価では、神経線維がどのように圧迫されているかを見る、あるいは、より安全な手術を行うために重要な神経を同定する、といったことに役立つと考えています。また、さまざまな病態の術前診断に、拡散強調画像の統計処理が応用できるのではないかと考えています。
 すでに開発ずみのアプリケーションとしては、脳の解剖構造を三次元表示した上に脳内の神経線維を重ね合わせて色分けしたカラーマップを、さまざまな断面から観察可能な"異方性カラーマップ(Tractography with Volume Color-coded map:TACVOC)法"があります。病変部と正常組織との境界部が把握しやすいので、脳腫瘍の術前の評価に有用だと思われますが、あくまでも研究用として開発したものですので、現在、臨床的有用性については検証中です。また、GE社とわれわれが共同開発したアプリケーションとして、"Volume Diffusion Imaging"があります。佐々木真理先生が2006年のRSNAで「Whole-Brain Volume Diffusion-weighted and Diffusion Tensor Imaging:Technique and Clinical Applications(全脳容積拡散強調・拡散テンソル画像:技術と臨床応用)」の演題で発表し、"Certificate of Merit"を受賞していますが、拡散強調画像で初めて全脳を高分解能で撮像できるようになりました。通常は3mmスライス厚程度で撮像しますが、"Volume Diffusion Imaging"では約1.6mm等方性ボクセルで撮像できます。頭蓋底部の画像の歪みや磁化率アーチファクトが大幅に軽減でき、冠状断面の画質が改善されます。
 GE社とは、互いに1つの目標に向かってディスカッションを重ねながら共同開発を行っています。「Signa EXCITE HD」はシンプルな発想で開発されており、得られる画像も作り込まれたものではない点が、非常に良いと評価しています。

volume DWI


●西本英明先生(脳神経外科)
 「Curved planar reformation(CPR)法での中心溝同定の有用性」について、主に研究を行っています。中心溝は、前に運動野、後ろに感覚野があるため、脳神経外科領域において中心溝を同定することは非常に重要です。例えば脳腫瘍では、腫瘍の位置が中心溝の前にあるか後ろにあるかによって手術のストラテジーが変わってきます。しかし、一般の水平断像では、腫瘍によって脳溝自体が壊されていたり、浮腫によって脳溝が不明瞭になっているなど、中心溝の位置が非常にわかりにくい症例が多くあります。そこで、脳溝がはっきりと見え、かつ腫瘍の位置がわかりやすい画像をということで、CPR画像を応用しようと考えました。具体的には、解剖学的手法を用いて、複数の脳溝を1枚のCPR画像で観察します。これまでに100例以上で応用していますが、全例で中心溝が同定でき、非常に有用であるという結果が得られています。
 また、現在はfMRIという、解剖学手法を用いて言語野を同定するための研究を行っています。CPR画像では、中心溝だけでなく、脳表のさまざまな面を1枚の画像にすることができるため、言語野の同定にも応用できると考えています。
 3T MRIは、非常に高解像度な画像が得られ、解剖学的に構造を把握するために大変有用です。1.5T装置と比べて、撮像時間が速いということも大きなメリットです。現在はGE社を含む3社から販売されており、それぞれに特色があると思いますが、臨床医としては、メーカーごとの装置の機能の隔たりがなくなって、誰でもが使える装置になってほしいと考えています。「Signa EXCITE HD」については、直感的な操作が可能なので、ストレスなく使える装置であると実感しています。




●高橋純子先生(神経内科)
 神経内科の研究としては、主にアルツハイマー型の認知症やパーキンソン病などの脳の変性疾患、脳梗塞をはじめとする脳の血管障害について、週に2回、2〜4人の患者さんの撮像を行っています。例えばパーキンソン病の患者さんでは、脳幹の一部である黒質の神経細胞が病気の進行とともに脱落していくことがわかっています。これは、以前は解剖によってわかったのですが、3T MRIの神経メラニンイメージングでは、黒質ドーパミン神経細胞などの脱落や機能異常を無侵襲にとらえることが可能で、いままさに神経線維の脱落が起きようとしている患者さんの状態がわかりますので、進行度などが予測できるようになるのではないかと考えています。できるだけ正確な結果を得るために、現在はデータを蓄積しているところです。また、アルツハイマー病も徐々にメカニズムが解明されつつありますが、こちらも神経メラニンイメージングを応用して、脳のどの部位で特に強く神経細胞の脱落が起こり、どのように進行するのかを見ようとしています。

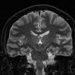
Inversion recovery 法による脳の冠状断像。 
海馬の層構造が確認できる。

世界で唯一のTwin Gradientを搭載した「SIGNA EXCITE 3.0T」
2005年に日本で初めて薬事承認された3.0T MR「SIGNA EXCITE 3.0T」。世界で唯一の2組(Twin)の傾斜磁場システムを搭載することで、高傾斜磁場強度・高S/Nで、局所精査だけでなく、全身広範囲撮影が可能となった。3.0T装置でありながら、最新型1.5T装置とほぼ同サイズを実現している。

「SIGNA EXCITE 3.0T」
Signaシリーズの最上位機種「Signa HDx3.0T/1.5T」
SIGNA EXCITE HDシリーズの性能をさらに強化・拡張した、Signaシリーズの最上位機種。簡単な操作で高画質を実現し、3D撮像で使用される新たなパラレルイメージング法であるGEM(Generalized Encoding Mtrix)によって、撮像時間を延長することなくS/Nを向上させる。
「SIGNA EXCITE HD 1.5T」


▲ページトップへ

●お問い合わせ先
GE横河メディカルシステム
カスタマー・コールセンター 0120-202-021
http://www.gehealthcare.co.jp/