ホーム
inNavi Suite
シーメンス・ジャパン
Technical Note
「MAGNETOM Skyra」のparallel TX技術を用いた局所選択励起
2012年8月号
Women's Imagingにおける質の高い検査・診断を実現する最新技術
Women's healthcareにおける高磁場MR装置の役割は大きく,シーメンス社の高磁場MRシステムはさらなるソリューションを提供します。
●パラレル送信技術と局所励起
全身MR臨床機において世界初のパラレル送信技術“Tim TX TrueShape”と局所励起アプリケーション技術“syngo ZOOMit”を「MAGNETOM Skyra」(図1)に搭載を予定しています。
独立したそれぞれのRFの強度と位相を変調し,同時に勾配磁場を加えることで局所励起を実現しました(図2)。
![]() 図1 MAGNETOM Skyra |
![]() 図2 Excitation RF modulation |
●婦人科領域への応用
局所励起技術は婦人科MR検査に画期的なソリューションを提供します。
●Higher image quality
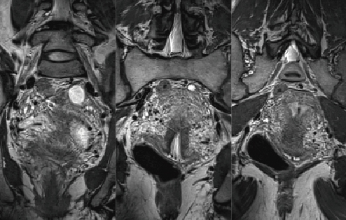
体幹部の拡散強調画像のひずみは,局所励起を用いることで低減され,子宮体がんや頸がんの広がり・存在・良悪性診断の精度向上に期待されています。また,近年の3D撮像技術に代表される“syngo SPACE”とsyngo ZOOMitを組み合わせることで,高いB1均一性を担保し,対象領域外(腹壁の体動や血管の流れ)からのモーションアーチファクトも低減するため,パラメトリウムへの広がり診断や所属リンパ節診断に高い期待が寄せられています(図3)。

図3 従来法:9min(a),ZOOMit:6min(b)
●Higher speed
3Dイメージングに必須なオーバーサンプリング設定が不必要になります。そのため,短いエコートレインによる低組織コントラスト分解能の向上と,大幅な撮像時間の短縮によって,子宮頸がんの広がり診断が期待されています(図4)。
パラレル送信技術と局所励起技術は,次世代のwomen's imagingをもたらします。

図4 子宮頸部の局所3D画像