Sparq
フィリップス・ジャパン
超音波 ポータブル 救急 / 汎用
救急や手術室用途に,バッテリ搭載でどこでもエコー検査が可能

Sparqは,救急,麻酔科心臓領域に対応する各種の機能を備えています。
救急や外来などの多忙な使用環境での,クリーニング,清拭を考え,Sparqでは操作パネルからは,一切のボタンノブをなくし,ガラストップの全面タッチパネルを採用しました。
また,電源設備のない場所でも全ての検査ができるように,17インチモニタ,長時間バッテリを搭載し,トランスジューサも,セクタ,リニア,コンベックス,TEEなど多様な種類から選択可能です。
救急や手術室での神経ブロックなどの手技を支援するために,各種機能を備えています。
特長<1>
フルタッチパネル
厳しい労働環境下の外来,救急領域で運用を考慮し,簡単に清拭可能な,ガラストップの操作パネルを採用しました。
特長<2>
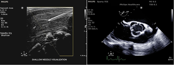
スムーズな手技の支援
穿刺の針の可視化を強化するNeedleVisualization機能,高分解能のTEEトランスジューサなど,円滑にエコー観察をするための機能を搭載可能です。
詳細は,当社お客様窓口もしくは営業担当者にお問い合わせください。
対応トランスジューサ:セクタ,リニア,コンベックス
対応モード:B,カラードプラ,PW,CW,CPA
外寸:約53 cm(W)x64 cm(D)x82-111 cm(H)/ 重量:約66 kg
詳細は,当社お客様窓口もしくは営業担当者にお問い合わせください。
循環器用 / 腹部用 / 血管用 / 全身用アプリケーション,
ハーモニック,
コントラストエコー
詳細は,当社お客様窓口もしくは修理窓口にお問い合わせください。
全国の営業所からサポートを行っております。
●お問い合わせ先
株式会社フィリップス・ジャパン
〒106-0041
東京都港区麻布台1-3-1 麻布台ヒルズ森JPタワー15階
お客様窓口 TEL 0120-556-494
www.philips.co.jp/healthcare
販売名:超音波画像診断装置 Sparq
医療機器認証番号:224ADBZX00092000
特定保守管理医療機器
管理医療機器
