八尾総合病院におけるiPhoneを用いた遠隔画像参照,診療支援による救急医療体制の強化
高山 勝年 氏(社会医療法人医真会八尾総合病院放射線科・脳血管内治療科)
2012-7-27
高山 勝年 氏
救急医療の現場でもモバイルデバイスの活用が広がっている。最近では,救急患者のCT,MR画像を遠隔地にいる専門医が参照し,診断・治療を行うことで,成果を上げている事例が出てきた。今回は八尾総合病院が取り組む,急性期脳卒中におけるiPhoneを使った遠隔画像参照診療支援システムについて,高山勝年氏が解説する。
■はじめに
当院では,脳神経外科医3名と脳血管内治療医(神経放射線科医)2名の計5名の常勤医師が,脳神経センターとして24時間365日,脳卒中の診療を行っている。
現状ではマンパワー的に脳神経センターとして毎日当直するのが困難であるため,月のうち多くても4,5回ぐらいの割合で,脳神経センター医が当直している。
iPhoneを用いた遠隔画像参照診療支援システムが導入されるまでは,脳神経センター医が当直していない日は当直医が初診を担当し,脳卒中患者を受け入れた時には,脳神経センター医が電話で相談を受ける形であった。電話のやり取りだけでは,患者の神経学的所見はやり取りできるが,CTやMRIの画像情報までは困難で,結局,on callの脳神経センター医が呼ばれて診療していた。しかし,この状態では脳神経センター医が月に呼び出される頻度が高く,多い時には月10回以上のこともあり,頻繁に呼ばれても,結果的に脳神経センター医の専門的対応の必要がない場合もしばしばあった。また,脳神経センター内でon callは分担しているものの,頻回に呼ばれた場合,翌日に脳神経センター医としての日常診療もあることから,精神的にも肉体的にも負担がかかっていた。
さらに,本来当院では,原則的に救急患者をほぼ全員受け入れる体制であるため,脳卒中患者を初診として脳神経センター医が診察しなくても,他科の医師が診てから脳神経センター医が相談を受けて診療をするバックアップ体制をとってきたが,最近の医療訴訟などを恐れてリスクを背負いたくない他科の先生方には,このようなバックアップ体制では不十分であると思われた。また,脳卒中患者の受け入れを敬遠する傾向が見られ,そのため当院診療圏の患者さんにも支障が出る状態であった。
この状態を改善すべく当院の脳神経センター医を毎日当直させる体制が提案され,マンパワーを増やす試みを行うことも検討されたが,新臨床研修システムの影響で,当院のような中規模の民間病院では研修医の増加はなく,現状は改善されないままであった。
■遠隔画像参照診療支援システムの運用方法
この状態を打開したのが,iPhoneを用いた遠隔画像参照診療支援システムである。
まず,当院でのiPhoneを用いた遠隔画像参照診療支援システムについて述べる(図1)。
脳卒中の疑いのある救急患者が搬送されてCTやMRIなどの画像が撮影される。
次に,その画像が院内の電子カルテ端末からの簡単な操作で遠隔画像参照用サーバへ送信される(当院はCT・MRIなどの画像データはPACSに保存され,電子化運用されている)。
連絡を受けた脳神経センター医は,遠隔画像参照用サーバへアクセスし,サーバ内の画像を自分の持つiPhone端末へ転送することで画像の閲覧ができる。
ここで問題になるのは個人情報などのセキュリティの面であるが,遠隔画像参照用サーバへ送信される際に患者個人情報の保護を担保するため,患者を特定できる可能性のある氏名・ID・生年月日などのタグ情報は削除されており,新たに画像参照用の任意のコードが付与される。また,当然のことであるが,遠隔画像参照用サーバへのアクセスはvirtual private network(VPN)方式であり,ルータ側で事前に登録されたアドレスのみアクセスを許可しているため,登録のないiPhone端末からの参照は不可能である。仮に遠隔画像参照用サーバへのアクセスを許可されたiPhone端末を紛失した場合でも,サーバへの接続時にはID・パスワードの入力を要求されるため,接続はできない。また,転送された画像は一時参照のみでiPhone端末内に保存されることがないため,サーバ接続がないと画像を参照することはできず,セキュリティ面においても十分な体制で運用されている。
図1 八尾総合病院における遠隔画像参照診療支援システムの概要図
■遠隔画像参照診療支援システム導入のメリット
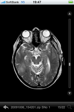
図2 iPhoneで表示した高精細のMR画像
iPhoneを用いた遠隔画像参照診療支援システムの導入により,上述のようなさまざまな問題点のうち,大きく改善された点が2つある。
1点目はいつ,どこにいても即時に質の高い正確な画像診断が可能になったことである。それは,iPhoneで閲覧できる画質のレベルが,画像診断が専門である放射線科専門医から見ても,院内での画像診断とほぼ同等の画像診断できるほどのレベルである(図2)。その高い画質レベルであるため,通常見落とされやすい少量のくも膜下出血でも十分診断可能である。また,iPhoneであるため詳細に見たい部分の拡大やウインドウレベルの調整も簡単に画面に触れるだけで変更可能である(図3a,b)。
この高い画質レベルのおかげで,脳神経センター医があたかも院内にいるかのように,短時間で画像診断が可能になった。そのため,脳卒中が専門でない画像診断が苦手な当直の先生方も,このシステム導入により,脳神経センター医からの正確な画像診断および助言がもらえるため,ある意味自信を持って脳卒中患者の受け入れ,診療ができるようになった。
このシステムが導入されて以降,今までバックアップ体制が不十分と思っていた当直の先生方も,脳神経センター医が当直をしていない時でも脳卒中患者を積極的に受け入れるように変わってきた。
2点目は,無駄な時間が大幅に減少したことである。
それはiPhoneを用いた遠隔画像参照診療支援システムで当直医と正確な画像診断をしながらやり取りができるようになったため,今までであれば脳神経センター医が一度は病院に行ってから判断しなければならなかったことが,自宅や出先で判断できるようになった。このため無駄に病院に行くことがなくなり,脳神経センター医の肉体的,精神的な負担が軽減された。それと同時に,どこにいても治療方針が直ちに決定できることから,治療方針が決定次第すぐに病院に連絡でき,治療や手術の準備が開始されるようになった。
そして,医師が到着し,準備ができていれば,直ちに緊急カテーテル検査や緊急手術治療が可能になった。このように,iPhoneを用いた遠隔画像参照診療支援システムは,特に時間を争う治療が必要な脳卒中の患者さんに最大の恩恵を与えている。
■症例—くも膜下出血
意識障害の患者が救急搬送され,頭部CTが撮影された。遠隔画像参照診療支援システムでくも膜下出血と診断された(図3a,b)。直ちに当直医に指示し,CT angiography(CTA)が撮影された。
CTAの遠隔画像で,くも膜下出血の原因は破裂脳動脈瘤(→)と直ちに診断された(図3c)。脳神経外科医と脳血管内治療医が,電話で患者の状態とCTAの画像を見ながら治療方針について検討し,外科治療(開頭クリッピング術)が選択された。その時点で麻酔科医,手術室,放射線科に連絡。脳神経外科医が病院に到着後,直ちに開頭術が施行された。
図3 症例:くも膜下出血
a:横断像 b:横断像(拡大) c:CTA像(VR像)
■まとめ
- iPhoneを用いた遠隔画像参照診療支援システムの導入により,マンパワーが少ない当直帯や休日帯においても,それぞれの専門領域の医師の連携が可能になり,診療の質が向上した。
- 今後,iPhoneを用いた遠隔画像参照診療支援システムの導入により,マンパワー不足に悩む病院での救急診療医の負担を軽減できる可能性がある。
- 緊急性の高い脳卒中診療において,iPhoneを用いた遠隔画像参照診療支援システムは診断から治療までの時間を短縮することから,特に急性期脳卒中診療を行っている病院では,導入しなければならないシステムの1つといっても過言ではない。
◎略歴
(たかやま かつとし)
1995年奈良県立医科大学卒業後,同大学放射線医学教室,腫瘍放射線医学教室などを経て,2003年に八尾総合病院放射線科,2004年に同院脳血管内治療科。2007年に同院脳血管内治療科医長,2009年から同院放射線科・脳血管内治療科部長。医学博士。日本医学放射線学会専門医,日本脳神経血管内治療学会専門医(指導医),日本IVR学会専門医,日本脈管学会専門医。海外の学会では,Society of NeuroInertventional Surgery(SNIS),Cardiovascular and Interventional Radiological Society of Europe(CIRSE)に所属している。
- 【関連コンテンツ】
