肺がんCT検診における施設認定制度と今後の課題
特定非営利活動法人 肺がんCT検診認定機構 施設認定委員会
2018-4-2
はじめに
「肺がんCT検診認定機構」では,2018年(平成30年)4月1日より,本邦における低線量肺がんCT検診の標準的な施設であることを認定する制度(施設認定制度)を開始した。本稿では,施設認定制度の背景と参加要件について述べるとともに,今後の課題についても触れる。
施設認定制度の背景と導入
1993年(平成5年)9月より「東京から肺がんをなくす会」で開始された低線量肺がんCT検診は,現在では,医療機関での個人検診,自治体による住民検診,そして,企業による福利厚生事業など,異なる形態を取りながら実施に至っている。しかし,無防備な広がりは検診精度の低下が懸念され,その実施体制や組織が標準化されなければ,一般国民は質の担保された肺がんCT検診を安心して受けることができない。
これら肺がんCT検診が抱える課題を包括的に解決するために,2007年(平成19年)3月に,CT検診認定制度合同検討会が設置された。合同検討会は,日本医学放射線学会,日本呼吸器学会,日本呼吸器外科学会,日本肺癌学会,日本CT検診学会,日本放射線技術学会の6学会からの委員で構成された。そして,合同検討会において2年間弱の議論を経て,認定医師,認定技師の認定事業を遂行する肺がんCT検診認定機構(本認定機構)を立ち上げることが合意され,2009年(平成21年)4月に特定非営利活動法人(NPO法人)として本認定機構が設立された。設立後より大きな反響を得て,2018年(平成30年)2月現在,1346名の医師,1250名の技師を認定するに至っている。
一方で,設立時より3本目の柱として提唱され,“いずれは必要”とされた標準的な施設であることを認定する施設認定制度は,認定医師・認定技師制度の確立を優先し,先送り案件とされてきた。しかしながら,2010年(平成22年)11月に,米国で重喫煙者または元喫煙者を対象に実施された肺がん死亡率減少効果を比較する大規模臨床試験“National Lung Screening Trial:NLST”において,従来の胸部X線写真による検診群に対し,約20%の死亡率減少効果があることが報告1)された。
この成果を受けて,2013年(平成25年)12月にはU.S. Preventive Services Task Force:USPSTF(American Cancer Society:ACS)が肺がんCT検診の実施グレードをBに格上げし,2015年(平成27年)2月には米国の公的医療サービス機関であるCenters for Medicare and Medicade Services(CMS)が,重喫煙者および元喫煙者に対し年1回の肺がんCT検診をサービスすることを決定した。また,American College of Radiology(ACR)はCMSと連携し,国家的な放射線データ管理事業(National Radiology Data Registry:NRDR)の一環として,Lung Cancer Screening Registry(LCSR)を開始した。さらにACRは並行して,施設認定制度としてACR Lung Cancer Screening Center Designationを立ち上げた。
このような背景から,本認定機構でも2014年(平成26年)8月より理事会直下に施設認定準備委員会(委員長:村田喜代史・滋賀医科大学)を設置した。準備委員会では建設的な意見交換が行われ,本認定機構総務委員会に施設認定制度案を提示し,2018年(平成30年)1月27日に開催された本認定機構理事会において最終承認を得るに至った。
本邦における施設認定制度の目的と主たる参加要件
本邦における施設認定制度の目的は,肺がんCT検診の手法と検診精度の標準化を図り,実効性のある肺がんCT検診を広めることにある。認定を受けた施設には,本認定機構のホームページ(http://www.ct-kensin-nintei.jp/
)にて認定医師,認定技師,そして,認定施設の各リストとして公開する。これは肺がんCT検診における優良施設である証明となり,自施設のホームページ等でもPRすることが可能になる。われわれはこれを,三位一体型の広報システムと呼んでいる。また,その施設で働く医療従事者には,ベンチマーク施設である誇りと自信が宿ることになる。
認定施設に申請が可能となる主たる要件は2つである。1つ目は,施設内に認定医師と認定技師がそれぞれ1名以上在籍していること。ただし,認定医師については非常勤職員であってもよい。2つ目は,標準体および肥満体のCT画像の審査をクリアすることである。なお,申請にあたっては,審査料として2万円,合格後に認定料として5年間で10万円が必要である。
本邦における施設認定制度の認定基準
三位一体型広報システムを獲得するには,施設認定基準の要件をクリアすることが求められる。施設認定基準は,前出のACR Lung Cancer Screening Center Designationを参考に決定された。ACR Lung Cancer Screening Center Designationの必要要件は,ACRが別に定めるCT認証を受けていることと,CT検診のプロトコルが技術要件を満たしていること,である。
表1は,施設認定基準の大項目である。以下,各項目について概説する。
表1 肺がんCT検診における施設認定基準
(NPO法人 肺がんCT検診認定機構 2018年4月現在)
1.CT装置ならびにCT撮影に関する要件
CT装置は,4列以上の多列検出器を有する機種であること。撮影条件は,標準体の受診者(BMI 20〜22)においてCTDIvolが2.5mGy以下,呼吸停止時間は15秒以下,スライス厚は5mm以下,画像再構成間隔はスライス厚以下であること。
そして,申請施設で撮影された男性2名(BMI 20〜22の標準体,ならびにBMI 25以上の肥満体)のCT画像をDICOMファイルで本認定機構に提出する。CT画像にはCTの被ばく線量構造化レポート(CT-RDSR),または線量情報を含んだセカンダリキャプチャ(SC)画像も含める。
認定後の義務は,毎年,連続した20名の線量指標(CTDIvolおよびDLP)をWeb上から本認定機構に報告すること,および本機構が指定する胸部標準ファントムを撮影し,線量情報を含むCT画像を2年以内に提出することである。
2.CT検診実施者に関する要件
CT検診実施者に関する要件は,CT検診責任者が定められ,当該責任者は検診全体を管理し,適時監視と指導を実施することである。認定医師と認定技師は1名以上が在籍している必要があるが,認定医師については常勤・非常勤は問わない。また,判定は二重判定が行われ,そのうちの1人は認定医師であることとする。
3.CT検診の実績と精度管理に関する要件
CT検診の実績と精度管理に関する要件は,年間50例以上の肺がんCT検診が実施されていることである。統計データは,前年度の男女別の受診者数,要精検率および精検結果判明率等が得られていることである。また,CT検診に係る検討会が年1回以上開催されており,その記録が保存されていることである。認定後の義務は,同様の年間データをWeb上から本認定機構に報告することである。
4.CT検診の安全管理に関する要件
CT検診の安全管理に関する要件は,検診施設として管理体制が組織化されていることである。CT装置は保守契約が結ばれ,専門業者により定期的に実施され,使用者側には始業・終業時の点検が実施された記録が保存されていることである。
施設認定制度の運用体系と認定までの流れ
図1は,施設認定制度に係る運用体系の全体像を示したものである。以下,認定までの流れを解説する。
各施設は本認定機構のホームページ(http://www.ct-kensin-nintei.jp/
)にアクセスし,医療機関情報等を入力し,いわゆるマイページを作成する。このとき,事前に施設コードとして県番号(2桁)と医療機関コード(7桁),認定医師・認定技師の認定番号(5桁),始業時・終業時点検表,定期点検実施表,受診者へのインフォームド・コンセントに関する文書,要精検者への説明文書,前年度の統計データを用意してから進めると登録がスムーズである。マイページが正確に作成されると,登録されているメールアドレスに本機構事務局担当より折り返し確認のメールが送られる。
次に,1.の項目で述べた男性2名のCT画像(線量情報を含む)を匿名化し,CDRまたはDVDに保存し事務局に送付する。送付は,必ず特定記録が残るようにする。なお,認定後2年以内に所定の胸部標準ファントムのCT画像提出が義務化されているが,当該ファントムは本認定機構側からの貸出システムが構築されている。ファントム数が限られており,予約制であることから,速やかに手続きを進めることを推奨する。
各施設から提出されたすべてのデータを基に,定期的に開催される判定委員会により審査が行われる。提出されたCT画像および線量情報はすべてデジタル的に処理され,専用のアプリケーションを用いてデータベース化される。審査結果は,本認定機構事務局より電子メールにて送信される。合格した施設には認定証の発行手続き,本機構ホームページでの公開承諾等について確認連絡が行われる。また,運悪く不合格の施設には,施設認定委員会からその理由と改善のためのコメントが添えられることになる。
図1 施設認定システムの運用体系の全体像(NPO法人 肺がんCT検診認定機構)
施設認定制度の今後の課題
1.CTDIvol“2.5mGy”の妥当性
本認定機構では,CT撮影における標準体でのCTDIvolを2.5mGy以下と規定した。検証にあたり,ACR,American Association of Physicists in Medicine(AAPM)およびNational Comprehensive Cancer Network(NCCN)の標準プロトコルを参考とした。いずれの標準プロトコルにおけるCTDIvolは,欧米での成人の標準体(身長170cm,体重70kg)において3.0mGy以下と規定している。
日本人の成人の標準体は身長160cm,体重60kgであり,小林ら2)は,「95%の読影医が肺がんCT検診の画質として許容範囲としたCTDIvolは2.5mGyであった」としたが,「本研究はファントムによる読影実験の結果であること」をリミテーションとして添えている。また,本機構が実施した事前の施設認定アンケート調査(2017年11月実施)によれば,148施設中85施設,約60%の施設でCTDIvolは2.5mGy以下と回答している。
一方で,同調査において20施設で,CTDIvolは10mGy以上と回答している。また,瀧澤ら3)は,人間ドックを主体とする施設では,約70%は50mA以上の管電流で撮影が行われていると報告している。その主な理由は,日本人間ドック学会低線量CT肺がん検診推進小委員会のアンケート調査から,「医師または技師が画質優先で撮影したい」と考えているとされている。
“病人ではなく健康に関心のある人”を対象とする人間ドックに対して,住民検診や企業内検診とはその検診形態や運用の考え方が異なることは事実であるが,肺がんCT検診の妥当性がいまだに不確実である以上,健常人に対し通常診療で用いられる線量レベル,いわゆるわが国の診断参考レベル(DRLs,CTDIvol:15mGy)4)に近い線量での撮影には妥当性がないことも,本施設認定事業を通して啓発していく必要がある。
2.スライス厚“5mm”の妥当性
肺がん検診用MDCT(multidetector-row CT)撮影マニュアル(日本CT検診学会)5)において,「年1回適切に施行されたCT検診を受診した人の末梢型肺がんの5年生存率が80〜90%以上になることを目標とし,CT画像上,充実性を呈する癌では5mm以上の病変,またすりガラス状を呈する癌では10mm以上の病変を検出できることを条件に,最小限の被ばく線量と撮影時間を目指す」と明記されている。小林らは,ファントムによる読影実験において,5mm以下であれば目標病変を検出できると報告している。
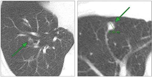
実際の読影においても,5mm以上の病変を検出することは多くの経験論からも否定されるものではないが,図2に示すように,小結節におけるすりガラス影部分と部分容積効果によるすりガラス影の区別が困難な症例が発生し,充実成分の大きさの評価は不十分と想定される。これに対しPrionasら6)は,充実性病変を模擬したファントムを用いてCT画像上の体積計測精度を検証し,真の体積に対しスライス厚の増加とともにCT画像上の体積が小さくなることを報告している(図3)。また,「1.CTDIvol“2.5mGy”の妥当性」の項目で参考とした3つの標準プロトコルでは,スライス厚は2.5mm以下と規定され,いずれも1.0mm以下を推奨している。
したがって,このような小結節では,薄層スライスによる高分解能CT(HRCT)による精査が実施される体制が整備されていれば適切な判定が行われるが,5 mmスライス厚での肺がんCT検診によるフォローアップではその判定に懸念が残る。
図2 5mmスライス厚の問題点
(画像は小諸厚生病院放射線科・丸山雄一郎先生のご好意による)
Ⅰ. 5mm以上の結節検出は可能
Ⅱ. Pure GGOと部分体積効果のすりガラス影の判定が困難
Ⅲ. サイズに関して肺がんCT検診でのフォローアップでは評価が困難
図3 ソリッドタイプの結節を模擬したファントム球の容積精度
スライス厚が増加するにつれて,真の容積よりも測定容積が小さくなることが示されている。
(参考文献6)より引用転載)
3.施設認定制度の運用体系の現実性
施設認定制度の実運用に向けて,日本全国17施設の協力を得てファントム画像によるデモンストレーションスタディを実施するともに,事務局に設置される画像管理システムの開発も併せて準備を進めてきた。
施設認定制度の開始とともに,日本全国のデータが事務局の専用サーバに一元化されることになる。この大切なビッグデータをどのように解析し,どのような方法で各施設にフィードバックするかは,本認定機構の大きな課題である。実際に,他の認定施設のデータ,特にCT画像症例や線量データは誰もが興味あるものである。
一方で,2018年5月からの改正個人情報保護法の全面施行により,各施設から提供される臨床画像などの個人情報の取扱いが厳密化される反面,ビッグデータとしての利活用は積極的にサービス展開できる可能性もある。実際には,施設認定事業の安定運営を考慮し,しばらくは本機構からの単方向でのデータ提供になるが,早晩,セキュアなネットワークを構築し,認定施設には魅力的な情報のやり取りが双方向でできるよう進めたいと考えている。
おわりに
肺がんCT検診における施設認定制度と今後の課題について報告した。施設認定基準は,本邦におけるCT装置や検診実績の現状を考慮し,先行する米国ほど厳しいものではない。これは,単に理想像を掲げてふるい落とすのではなく,小規模でも懸命に肺がんCT検診を実施している施設を認定施設として組み入れていく方が,日本の肺がんCT検診の全体像の標準化と見える化のためにより重要であると考えたからである。
少しでも多くの施設に,まずは認定施設をめざすことを検討していただき,早く仲間としてつながり合って,次の事業を皆で展開し,さらに発展できれば本望である。
●参考文献
1)The National Lung Screening Trial Research Team : Reduced lung-cancer mortality with low-dose computed tomographic screening. N. Engl. J. Med., 365・5, 395〜409, 2011.
2)小林 健, 木部佳紀, 樋浦 徹・他 : 低線量CT肺がん検診における被曝線量と許容画質の検討. J. Thorac. CT Screen, 21, 30〜35, 2014.
3)瀧澤弘隆, 笹森 斉, 畠山雅行・他 : 日本人間ドック学会会員施設における胸部CT検診に関する実態調査報告. 人間ドック, 24・3, 7〜14, 2009.
4)DRLs 2015の報告書「最新の国内実態調査結果に基づく診断参考レベルの設定」. 医療被ばく研究情報ネットワーク, 平成27年6月7日制定.
http://www.radher.jp/J-RIME/report/DRLhoukokusyo.pdf
5)松本 徹, 伊藤茂樹, 岡本英明・他 : 肺癌検診用MDCT(multidetector-row CT)撮影マニュアルの作成 平成17年度技術部会報告(詳細
版). 日本CT検診学会肺がんCT検診ガイドライン, 2007.
http://www.jscts.org/pdf/guideline/mdct20070502.pdf
6)Prionas, N.D., Ray, S., Boone, J.M. : Volume assessment accuracy in computed tomography ;
A phantom study. J. Appl. Clin. Med. Phys., 11・2, 3037, 2010.
http://onlinelibrary.wiley.com/doi/10.1120/jacmp.v11i2.3037/abstract
肺がんCT検診認定機構
http://www.ct-kensin-nintei.jp/
