BresTome
島津製作所
PET
「忘れたくない」「失いたくない」そんな願いのために

人々の健康への願いにお応えするために,島津製作所はPET技術を集結し頭部・乳房用TOF-PET装置「BresTome」を誕生させました。頭部・乳房検査に最適化した高性能検出器を搭載することで,全身用PET装置では得られなかった高い空間分解能と感度を実現しており,アルツハイマー型認知症の診療で大きな役割を担うアミロイドPET検査として期待されています。また,新しい臨床価値が認められつつある乳がん領域では精度の高い診断・治療に貢献します。
私たちが守りたいもの,それは「大切な思い出」と「かけがえのない笑顔」です。
特長<1>
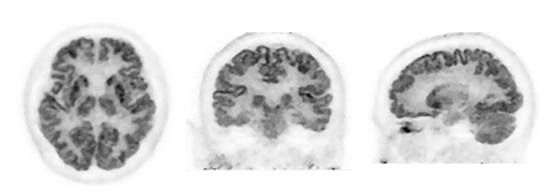
検出器移動により頭部と乳房の検査に対応
高性能検出器を頭部撮像モードと乳房撮像モードに切り替えることで,頭部・乳房両方の検査が行えます。
頭部撮像モード |
乳房撮像モード |
頭部(アミロイドPET・FDG-PET)・乳房 画像例(メーカーページ)
https://www.med.shimadzu.co.jp/products/pet/06.html
特長<2>
全身用PET装置では得られない高精細画像を提供-SiPMを採用した半導体TOF-PET
頭部と乳房の両方の検査に最適化したSiPM(Silicon Photomultiplier)検出器を搭載したTOF(Time of Flight) PET装置です。全身用PET装置を凌ぐ感度と空間分解能が,双方の検査で高精細画像を提供します。
SiPMと2.1mm 角のLuを含む
シンチレータで構成される検出器モジュール
特長<3>
これからの脳機能診断に大きな一歩を
島津製作所が培ってきたPET撮像技術が,SiPMを搭載したTOF技術により,生まれ変わりました。全身用PET装置では描出が困難な薬剤分布の把握を可能にし,より精度の高い診断を支援します。認知症診療で期待の高まるアミロイドPET検査としてBresTomeはより精度の高い診断を支援します。
特長<4>
「痛くない検査」がさらに進化-乳がん診療での有用性を高めるTOF技術
痛くない乳がん検査を目指し開発した乳房専用PET装置Elmammoは,検査に伴う負担を軽減するとともに,その高精細画像から得られる情報が乳がん診療を支援しています。BresTomeは,Elmammoのやさしさはそのままにブラインドエリアを低減し,またSiPMを搭載したTOF技術により更に精度を向上し,その有用性をいっそう高めます。
特長<5>
乳房内の微細な薬剤集積を明瞭に描出する高解像度
全身PET装置と比較して,高い解像度を達成しています。
特長<6>
本体タッチパネルでスピーディな検査準備が可能
操作は本体上のタッチパネルモニタにて行えますので,操作室との往復は撮像開始操作の時のみで済み,スピーディに準備が行えます。
・ガントリ
・オペレーションボックス
・寸法 1120mm(D)× 3285mm(W)× 1100mm(H)
・質量 870kg(ガントリのみ)
・シンチレータ Lutetiumを含むシンチレータ
・FOV φ264mm
・分解能(半径5mm位置半径方向)1.0~2.5 mm FWHM
・サブターミナルオプション
・リモートメンテナンスオプション
・DICOM MWMオプション
・DICOM MPPSオプション
・検査補助具
・全国にサービス拠点を配置
・各種メンテナンス・プランを用意しておりますのでサービス担当者へお問い合わせください。
●お問い合わせ先
株式会社島津製作所
京都市中京区西ノ京桑原町1
https://www.med.shimadzu.co.jp/
30200BZX00329000 核医学診断用ポジトロンCT装置 [TOF-PET装置 BresTome]
特定保守管理医療機器
