フィリップスのテクノロジーを使用した新たな臨床試験において心血管インターベンション時の患者さんとスタッフの安全性が大幅に向上
〜フィリップスの新しいライブ画像ガイダンスシステム「AlluraClarity(アルーラ・クラリティ)」により画質を低下させることなく心臓カテーテル手技時のX線被ばくを50%低減〜
2013-6-7
「AlluraClarity」
※2013年5月21日にフランス,パリ発表プレスインフォメーション抄訳
ロイヤル フィリップス(NYSE:PHG,AEX:PHIA),ラドバウド大学ナイメーヘン メディカルセンター(オランダ,ナイメーヘン),およびマイン タウヌス心臓センター(ドイツ,バート ゾーデン)は,心血管インターベンション時の患者さんと医療従事者の安全性を大幅に向上できることを実証する臨床試験結果を発表した。フィリップスのClarityIQ(クラリティ・アイキュー)テクノロジー搭載の「AlluraClarity」により,同メディカルセンターの医師等が初めて,画像ガイド下の心血管インターベンション時に必要とされる優れた画質を維持したまま,X線線量の50%低減を達成した。この結果は,5月21日~24日にパリで開催されたEuropean Association for Percutaneous Cardiovascular Interventionsの年次学会(EuroPCR)で発表された。
この臨床試験は,マイン タウヌス心臓センターによって計画され,ラドバウド大学ナイメーヘン メディカルセンターにおいて2012年9月~11月の期間にBMI*1の範囲が20~37の39名の患者を対象に実施された。試験期間中,同一患者の2つの冠動脈造影(1回目は従来のインターベンションX線技術を使用し,2回目はフィリップスのClarityIQテクノロジーを使用)を比較した。次に,欧州各国(イタリア,フランス,ドイツ,オランダ,およびスウェーデン)の6名の心血管インターベンション専門医がこれらの冠動脈造影の画質を評価し,従来のX線技術と比較して,「AlluraClarity」は同等の画質を維持しつつX線線量の50%低減を実現したという結果をまとめた。
この試験の共同実施者であり,マイン タウヌス心臓センター(マイン タウヌス プライベートクリニック,バート ゾーデン)の責任者であるN.ライファート医学博士は次のように述べている。「我々は当心臓センターにおいて,広範囲にわたってこの新しい技術の調査およびテストを行いました。この技術により,ほとんどの診断用血管造影において,50%以上低い被ばく量,つまり1mSv未満相当で,従来と同等の画質を得られるようになります。」
ラドバウド大学ナイメーヘン メディカルセンター の心臓専門医であり,この試験の実施責任者であるT.J.F テン・ケイト博士は次のように述べている。「このようなX線線量の大幅な低減は,患者さんとスタッフの両方にメリットがあります。『AlluraClarity』を使用している今では,X線被ばく線量をより一層意識するようになりました。」
この試験結果は,フィリップスにとって重要な節目であり,X線線量を大幅に低減して複雑なインターベンション手技を行う方法の手本となる。フィリップスは昨年,血管内治療手技での同X線技術による成果を,心臓および血管のインターベンション分野の専門技術で名高い聖アントニウス病院(オランダ,ユトレヒト/ニューウェハイン)と共同で発表した。神経放射線学の分野では,カロリンスカ大学病院(スウェーデン)で実施された試験において,「AlluraClarity」によりX線線量を73%低減しつつ同等の画質が得られることが実証された。さらなる試験が神経放射線学と電気生理学の分野において進行中であり,年内には結果が出る見込みである。
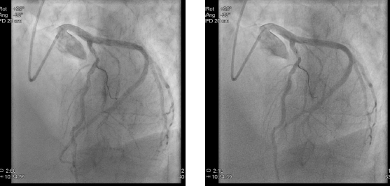
BMI 32の72歳の患者さんの冠動脈造影。マイン タウヌス心臓センターが同条件で撮影。
(左)AlluraClarityを使用し,AlluraXperで通常使用するX線量の50%の線量で撮影した冠動脈造影
(右)AlluraXperで撮影した冠動脈造影
「患者さんと医療従事者の双方にとっての本質的な利点という理由で,医療はより低侵襲治療へと確実にシフトしています。」フィリップスのインターベンショナルX-rayのゼネラルマネージャー,ロナルド・タバックスブラット氏はこのように述べていまる。「ライブX線ガイダンスは,通常,このような低侵襲治療を行うために使用されています。我々のClarityIQテクノロジーは,高画質の画像を生成するために必要なX線被ばくを大幅に低減し,医療の向上においてフィリップスが真の先駆者であることを実証しています。」
市場に導入された2012年半ば以降,フィリップスはアジア,ヨーロッパ,中東,中南米などの地域で200台以上の「AlluraClarity」システムを販売している。
*1 BMI(Body Mass Index):肥満の度合いを示す国際的な指標。体重(kg)÷身長(m)÷身長(m)で算出
●問い合わせ先
(株)フィリップス エレクトロニクス ジャパン
ヘルスケア事業部 お客様窓口
TEL 0120-556-494 / 03-3740-3213
http://www.healthcare.philips.com/jp_ja/
