東芝メディカルシステムズ,最新MRIシステム「Vantage Titan 1.5T / cS Edition」販売開始
〜心臓検査の操作時間を大幅に削減,より身近な心臓MRI検査を実現〜
2016-3-28
Vantage Titan 1.5T / cS Edition
東芝メディカルシステムズ(株)は,東芝1.5テスラMRIシステム「Vantage Titan™ / cS Edition(ヴァンテージ タイタン シーエス エディション)」の国内販売を3月28日より開始する。cS Editionではインテリジェント化された最新のソフトウェアにより,日々の検査を高効率で高画質に描出するだけでなく,最も難しいとされる心臓領域を含む検査のさらなる高効率化を実現。さらに,多様化した新しい臨床ニーズにも対応し,日々の検査の幅を広げる。
●開発の背景
Vantage Titanは「人にやさしいMRIで,高度な検査を,もっと手軽に,もっと身近に」をコンセプトに開発されている。広い検査空間と静かな撮像を,画質を劣化させることなく実現した1.5テスラ大口径MRI装置。広範囲を高画質に撮像できる大口径MRI装置として世界中で評価され,国内の1.5テスラ大口径MRI市場ではトップシェアを達成している(注1)。cS Editionでは,より高度な検査を高効率に行うための多数の最新技術を搭載した。日々のMRI検査を一層快適にするためのComplete Clinical Solution(cS)を提供する。
●新製品の主な特長
1.フレキシブルな撮像設定による高画質の実現
cS Editionでは,フレキシブルなパラメータ変更と多彩なパルス制御を可能とする「新シーケンス制御機構」の適応範囲の幅を広げ,画質のさらなる向上を実現している。
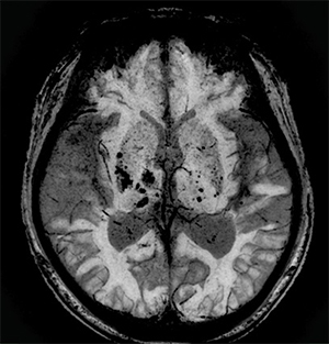
磁化率強調画像であるFSBBでは,MPGパルスの印加強度を位相・周波数・スライス方向など別々に制御可能とし,さらに,位相画像を用いた強調処理や位相画像のみの出力も可能とした。これにより,細かな血管や磁化率の変化をより詳細に捉えることができる(図1)。
また,DWI撮像においてはMulti b-value DWIの撮像に対応した。自由なb値設定にとどまらず,複数のb値画像を用いたMulti-b cDWIにも活用できる。cDWIに用いるb値の任意設定を可能にすることで,目的に合わせた最適なcDWI画像を構築できる。
さらに,FFE3D撮像においては,BWやサンプリング率,分解能,撮像断面などの複数パラメータの連動によるフレキシビリティー向上や,Shot Interval設定によるMP-RAGE撮像にも対応した。SNRやT1コントラストを高め,診断の質の向上を図る。
図1
2.難しい検査をルーチン化する次世代のアシスト機能の搭載
近年,突然死の中で最も多い原因が心疾患とされており,心臓MRI検査はその突然死予防のためにドックへの適応が期待されている。しかし「撮像が難しい」,「検査時間が長い」などが障壁となり,検査がなかなか身近になっていない。cS Editionでは心臓左室位置決めアシスト機能CardioLineにSCMR(Society for Cardiovascular Magnetic Resonance)にて要求されている右室と弁及び流出路などの8断面を加えたCardioLine+を搭載した(図2)。従来,目的の断面を得るために複数回の息止め撮像が必要であったが,1回の息止め撮像で14断面を取得することが可能。これにより検査時間の短縮化,患者さんへの息止め負担を大幅に低減した。
図2
さらに,より一層の簡便化を実現すべく,生体構造の認識技術により被検者の心臓位置を装置が自動で把握するSUREVOI™ Cardiacを搭載した。寝台位置設定からMRCA検査の横隔膜同期プローブの設定までの様々な撮像アライメントをアシストすることで,一般的な心臓MRI検査時間の43%を占める操作時間の割合を,9%まで削減する。
心臓MRI検査のさらなる普及を目指し,難しい心臓検査を簡単にすることで,ルーチン検査としての運用を実現する。
また,頭部位置決めアシスト機能NeuroLineにOMおよびAC-PC断面を追加したNeuroLine+や(図3),脊椎位置決めアシスト機能SpineLineを搭載し,複雑な位置決めにおける術者の負担軽減と操作時間の短縮を実現する。
図3
3.多様化する高度な新しいニーズへの適応
施設のニーズは日々多様化するばかりでなく,より高度になりつつある。cS Editionでは,それらの高度な新しいニーズお応えるために,多くのアプリケーションを新たに搭載した。その一つとして,放射線被ばくのないMRIでの肺野検査適応の期待に対応すべくUTE(Ultra short TE)を搭載(図4)。UTEは極めて短いT2*値の組織を画像化する手法で,従来のMRI検査では描出できなかった情報を得られると評価されている。既にUTEを先行搭載している同社3テスラ装置では,多数のサイトより,体幹部のMRI臨床応用が広がっているとの報告がある。
図4
さらに,装置アプリケーションと同社ワークステーションVitrea™,同社グループ会社のOlea Medical社とのコラボレーションにより,DWIやPerfusionのミスマッチ解析やマンモ検査におけるダイナミック解析など一般検査における解析に加え,DWIにて細胞内のPerfusionを描出するIVIM解析や,造影検査における造影剤の染み出しを評価するpermeability解析,心臓のCine撮像から心筋ストレインを評価するWall Motion Trackingなど,多様な臨床ニーズへの適応を実現する。
cS Editionでは,施設の日常の検査をより快適にし,多様化,高度化するニーズを実現することで「やさしいMRI」を実現し,社会と病院経営に貢献していく。
(注1):2016年3月現在同社調べ
●問い合わせ先
東芝メディカルシステムズ(株)
広報室
TEL 0287-26-5100
http://www.toshiba-medical.co.jp
