GEヘルスケア・ジャパン,一般撮影装置発売Discovery XRシリーズに最新型「Discovery XR656 Plus」を投入
~搭載型アドバンストアプリケーションの活用で,画像診断フローの効率化・適正化にも寄与~
2016-4-14
高齢患者さん向けに臥位テーブルの高さと
デザインを改定
GEヘルスケア・ジャパン(株)は,フラットパネルディスプレイ(FPD)*1搭載一体型一般撮影装置“Discovery(ディスカバリー)”ブランドの最上位機種新モデル「Discovery XR656 Plus(ディスカバリー・エックスアール656・プラス)」を,4月15日より発売開始する。
「Discovery XR656 Plus」は,GEヘルスケアの既存のFPD搭載一体型一般撮影装置の画質および機能性をさらに向上させた最上位モデル。本機種には,DES機能(デュアル・エナジー・サブトラクション)*2,トモシンセシス,長尺撮影,線量管理ツールなどのアドバンストアプリケーションを搭載し,より正確な診断を可能とした。また,機器操作の際の放射線技師の作業効率を高めるほか,適正線量での撮影を判断する指標DI(Deviation index)を搭載したことで,医療従事者や患者さんへの安心・安全確保に寄与する。
X線発生器側と受像器側とを別メーカーの製品で組合せて使用することが多い一般撮影装置に対し,同社では,受像器と発生器を一体型することにより,X線管の各ポジション位置をコントロールするオートポジション機能で効率的に検査が行えるなど,これまでも一般撮影機器に新たな付加価値をもたらしてきた。さらに,超高齢社会を迎えた日本で多くの症例がある変形関節症患者の膝関節・脊椎のアライメント撮影についても,より安全に効率良く撮影診断することを可能にし,高齢者向けに臥位テーブルの高さを低くした臥位撮影など,受診しやすいデザインにもこだわり,臨床的な機能向上を実現している。
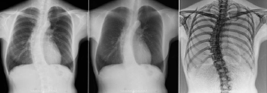
また,「Discovery XR656 Plus」では,搭載されたアドバンストアプリケーションによる詳細な画像撮影が可能となり,機器操作を行う放射線技師の作業効率を高め,診断フローの効率化・適正化に寄与する。例えば,「通常の単純胸部画像だけでは判断のつきにくい陰影も,DESを用いることで,『あるなし』の診断をとても簡便に切り分けることができ,見落としを防ぐ大変価値のある画像を得ることが可能」との評価を得ている*3。
GEヘルスケア・ジャパンでは,一般撮影に初めてトモシンセシス機能を搭載し,10年の販売実績がある。Discoveryシリーズにおいては特に臨床科の医師からアドバンストアプリケーションが評価されており,中でも胸部領域,耳鼻科領域,整形領域(椎体,関節,四肢末節など)での有用性が着目され続けている。
*1:フラットパネルディスプレイ(FPD):CRT(ブラウン管)に代わる,薄型で,平坦な画面の薄型映像表示装置の総称
*2:デュアル・エナジー・サブトラクション(DES):骨と軟部組織のX線吸収差を利用し,収集画像に最適な係数を掛けて差分(サブトラクション)することで,単純X線写真に加えて軟部組織(骨除去)画像と骨組織画像を生成する手法
*3: 服部Dr談,TOMO User Mtg Report。こちらは顧客の使用体験であり,仕様等をGEが保証するものではない。
同社一般X線撮影装置XR656 Plus のアドバンスアプリケーションの活用(画像サンプル)
●Discovery XR656 Plusの製品特長
■患者さんへの「安全」と「やさしさ」を追求
1.被ばく管理のためのツールを搭載し,被ばく低線量化を実現した。
2.膝立位撮影時において,立位撮影台が低位置までをカバーすることができるため,患者さんが踏み台に上がらなくても済み,より安全に撮影ができる。
3.高齢者の検査時における心理的・肉体的な不安から懸念される,転倒等のアクシデントについて,術者側が機器の操作においてオートポジションやオートトラッキングを使用できるため,操作への作業負担が軽減でき,その分,介助に専念できるなど患者さんへの「やさしさ」にこだわった。
■アドバンストアプリケーションの活用
同社一般X線撮影装置XR656 Plusのアドバンストアプリケーションの活用が,機器操作を行う放射線技師の作業効率を高め,診断フローの効率化・適正化に寄与して,以降の診断・検査のフローを的確に進めることができる。
■患者さんの検査負担を軽減
DES機能はじめとする,アドバンストアプリケーションの活用により,患者さんの負担軽減(コスト削減と待ち時間などの時間の効率化)を実現できる。
●問い合わせ先
GEヘルスケア・ジャパン(株)コミュニケーション本部
ブランチャード/松井
TEL 0120-202-021
www.gehealthcare.co.jp
