フィリップス,二層検出器CTが進化した「IQon Elite Spectral CT」を発売開始
Spectral is Always On - スペクトラルイメージングを臨床現場のルーチンワークの中でより幅広く活用するためには何が必要か,その答えがここにある。
2018-4-11
(株)フィリップス・ジャパン(以下 フィリップス)は,全身用マルチスライスCT「IQon Elite Spectral CT」を発売開始する。IQon Elite Spectral CTは異なる素材のシンチレーターを上下二層に配置した二層検出器CTとして販売中のIQon Spectral CTに進化を加えた上位モデルであり,スペクトラルイメージングによる画像診断を更に強力にサポートする。
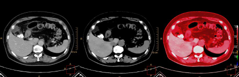
スペクトラルイメージングでは,仮想単色X線画像,ヨード密度画像,実効原子番号画像など,さまざまな情報を持った画像取得が可能であり,これらのマルチコントラストを用いた画像診断が新たな臨床的価値を生み出している。たとえば腎機能が低下した患者さんへの検査では造影剤腎症のリスクを伴うため造影剤の使用が制限されてしまう状況があり,画像診断のひとつの課題とされていた。しかし,スペクトラルイメージングの仮想単色X線画像は,少量の造影剤投与でも画像コントラストを向上させることが可能であるため,腎機能低下患者様における診断に貢献している。また,従来CT装置は形態情報とCT値が画像診断の要であるため,ビームハードニング,各種アーチファクトの影響によりこれらの情報の信頼性が揺らぎ,結果としてCTのみでは十分な診断に至る情報を得ることができず,診断確定のために他モダリティも含めた追加検査が必要となるケースも存在していた。しかしヨード密度や実効原子番号を用いた定量評価により,CT値だけでは判別がつきにくい病変や組織がより明確に診断できるようになった。
従来のワークフローを変えることなく,課題と考えられていた症例にもスペクトラルイメージングが答えを提示することで,最初に行うCT検査が最善の選択となる可能性が高まっている。
●スペクトラルイメージングのスループット向上
二層検出器CTでは全ての検査においてスペクトラルイメージングが可能なデータを収集している。このデータをより効率良く日常の全ての検査で活かすべくHyperSight Elite Spectral Reconstructorを開発した。画像処理能力を大幅に向上させたことで,迅速に検査のアウトプットにアクセスできるため,救急でのスペクトラルイメージングの活用など新たな領域にも対応していく。
●さらに高まる診断確度Calcium Suppression
骨髄イメージングを描出するカルシウム抑制画像が新たにスペクトラルリザルトに追加された。従来のCTでは骨の高いコントラストにより表現が難しかった骨挫傷の診断において,カルシウム成分を抑制した画像を用いることで骨髄浮腫の状態を可視化し,MRI等の追加の検査削減や確定診断までの時間短縮を図る。
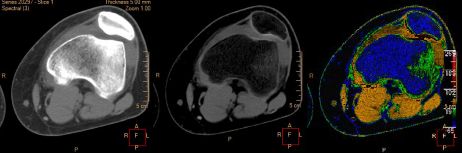
●Electron Density
電子密度画像が新たにスペクトラルリザルトに追加された。画像のCT値を電子密度へ変換する場合に比べ,電子密度画像を直接再構成することで被写体の体格や肩や骨盤などから多く発生するアーチファクトによる影響が少なくなり,治療計画への応用が期待される。
●問い合わせ先
(株)フィリップス・ジャパン お客様窓口
TEL 0120-556-494
www.philips.co.jp/healthcare
