フィリップス,新たに構造的心疾患向けソリューションを展開
2020-2-10
(株)フィリップス・ジャパン(以下 フィリップス)は,弁膜症などに代表される構造的心疾患(以下SHD,structural heart disease)向けに新たにソリューションを展開する。SHDは弁膜症の他,心房中隔欠損症(ASD)などの先天性心疾患,心原性の脳卒中の予防のための左心耳閉鎖術(LAA Closure)などへ向けたさまざまな治療がある。新しいデバイスの登場や治療技術の向上により世界的に治療件数が伸びており,世界の傾向からも日本での今後の疾患治療の増加が予測される。これまでのSHDのカテーテルによるインターベンションには,カテーテル専門医とエコー専門医がチームで治療を行うが専門性の違いからアンギオ(血管撮影)画像とエコー画像の双方の同一理解が困難との一般的な課題があった。それらの解決策として,アンギオ画像とエコー画像のリアルタイムフュージョン機能であるEchoNavigator R3.0,および連動する超音波診断装置EPIQ CVxiの販売を開始する。
SHD治療の推計(世界全体)(フィリップス調べ)
アンギオ画像とエコー画像のリアルタイムフュージョンを実現するEchoNavigator R3.0
アンギオとエコーとのフュージョンでは,従来からのスマートフュージョン技術により,2Dエコー画像やカラードプラ,さらには3Dエコー画像との重畳表示,またSHD手技をナビゲートするための任意の組織へのマーカー機能があった。
今回,新たにバーチャルモデルによるAnatomical Intelligenceモード(解剖学的知能モード)を搭載。自動でセグメンテーションすることで,心室や,心房全体および僧帽弁や左心耳などのアンギオ画像では確認することができない動的組織モデルとアンギオ断面とのフュージョンも容易になり,デバイスが目的の留置位置に存在するか,カテーテルの先端による心臓壁穿孔のリスクがないかなど,リアルタイムにアンギオ画像とエコー画像が一体となり画期的な機能が追加され,さらに直感的に視覚化することが可能となった。
新たに搭載されたバーチャルモデルによるAnatomical Intelligenceモード(解剖学的知能モード)
アンギオの集中管理モニター上に表示
EchoNavigator R3.0と連動可能なインターベンション向け超音波診断装置EPIQ CVxi
EchoNavigator R3.0のリリースに合わせ,超音波診断装置EPIQ CVxiの取り扱いを開始した。フィリップスでは循環器に特化した超音波診断装置としてEPIQ CVxを2018年から上市しているが,EPIQ CVxiはインターベンション領域にフォーカスしておりEchoNavigatorとの柔軟なワークフローの実現により,カテーテル専門医とエコー専門医のコミュニケーションをより強化することが期待される。
EPIQ CVxiに新たに追加された機能として,超音波診断装置上にてEchoNavigatorソフトウェアを起動,操作することが可能となっている。従来EchoNavigatorの操作は別端末で行う必要があり,EchoNavigatorを操作するための専任者が必要であった。しかしEPIQ CVxiではエコーを熟知したドクターがエコー検査の延長でEchoNavigatorを操作できるため,診断精度や治療効率が上がることが期待される。また,スペースに制限のあるハイブリッドORなどにおいてカテーテル画像を超音波診断装置上で確認できることも有益と考えられる。
EPIQ CVxiににおける卓越した3D技術
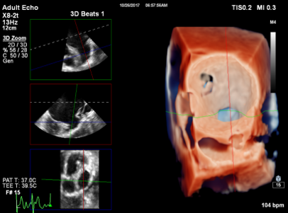
EPIQ CVxiはEPIQ CVxにおける3D技術を踏襲。その中でもTrueVueは超音波診断装置の処理能力が向上したことにより実現した,3Dレンダリングにおける新技術である。異なる光の波長ごとにその挙動をモデル化し,より“リアリスティック”な画像をご提供します。さらに3Dボリュームデータをタッチスクリーンでタブレット式に操作できるTouchVueも搭載されており,インターベンション治療の現場で迅速な操作が求められる場合にも,必要なビューを直観的に描出できるワークフローとなっている。
TrueVueを用いた左心耳の3D画像
EPIQ CVxiはEPIQ CVxの高い機能はそのままに,EchoNavigatorとのシームレスなインターフェースが加わることでSHD治療で超音波診断装置に求められるあらゆるシーンを高いレベルでサポートする。
●問い合わせ先
(株)フィリップス・ジャパン
ブランドコミュニケーション部
TEL 03-3740-5896
www.philips.co.jp/healthcare
