キヤノンメディカルシステムズ,ディープラーニングを用いて設計した読影支援ソリューションの販売開始
2020-7-1
キヤノンメディカルシステムズ(株)は,読影支援ソリューションAbierto Reading Support Solution(以下,Abierto RSS)を商品化し,脳卒中の画像診断ワークフローの改善を目的としたアプリケーションの販売を2020年7月15日より開始する。
近年医療現場は,高齢化に伴う医療費増大,医療データの増大に加えて,働き方改革への対応や医療スタッフの不足といった多くの課題に直面している。これらの問題を解決するため,医療情報ソリューション「Abiertoシリーズ」は,各種標準に準拠したプラットフォーム上で,オープンな環境のもとマルチベンダに対応した医療情報の収集・統合・解析・可視化を行うことによって,ワークフローを改善し,医療業務の効率向上を実現する。
Abiertoシリーズは,医療情報を統合する「Abierto VNA」(2018年1月販売開始),診療支援やカンファレンス支援のための医療情報ソリューション「Abierto Cockpit」(2018年1月販売開始)と,読影ワークフローの効率化を図る読影支援ソリューション「Abierto RSS」から構成される。
今回,Abierto RSSとして,マルチベンダによるアプリケーションが搭載できるプラットフォーム「Abierto Automation Platform」を開発,第1弾としてAIの技術の一つであるディープラーニング等を用いて設計・開発した,脳卒中向けアプリケーションを提供する。
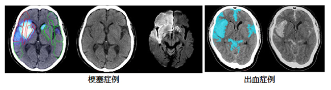
急性期脳梗塞の治療には,脳血管内の血栓を溶かす血栓溶解療法(rt-PA)及び各種デバイスにより血栓を取り除く機械的血栓回収療法がある。脳梗塞においては“Time is brain”と言われるように,重度な後遺症を残さないために,発症から治療開始までの時間を出来る限り短縮する必要がある。今回提供する脳卒中向けアプリケーションは画像診断のワークフローを大幅に改善できるため,病院搬送後の迅速な治療方針の決定に役立つことが期待される。
Abierto RSSでは今後も様々な領域の読影支援を実現するアプリケーションを提供していくことで,より効率の高い医療の実現を支援していく。
●Abierto RSSの特徴
(1)自動化されたオープンなプラットフォーム 「Abierto Automation Platform」
Abierto Automation Platformは,CTなどの医用画像診断装置で撮影された画像データを受信し,自動でアプリケーションを起動する。そのアプリケーションの処理結果として病態に係わる情報,評価または診断を行うための情報を提供する。オープンなプラットフォーム上には,自社のみならずパートナー会社のアプリケーションの搭載も可能。
(2)ディープラーニング等を用いて設計したアプリケーション
今回,脳卒中の画像診断ワークフローの改善を目的としたアプリケーションから提供を開始する。
ディープラーニング等を用いて設計・開発した技術により,頭部単純CT画像から周囲と比べ低コントラスト及び高輝度の領域を自動で強調表示する。これらは,脳卒中の画像診断において,脳内の出血領域や初期虚血変化等を評価するために用いられる。今後他の疾患へアプリケーションの幅を広げることで,様々な診断支援に活用できる。また,同社PACSと組み合わせることで,医師がワークリスト上で処理状況を確認できる機能や,処理結果をインタラクティブに操作できる機能といった一貫した操作性により,画像診断ワークフローの改善に貢献する。
(3)サブスクリプション方式でのサービス利用
これらアプリケーションについてはサブスクリプション方式を採用,利用契約により一定期間最新のアプリケーションを自由に使用可能。また新アプリケーションも随時アップデートを行い,施設の要求に合わせ自由に組合せて契約することが可能(注1)。
(注1)
Abierto Automation Platformの利用にあたってはキヤノンマーケティングジャパンが提供するクラウドサービスであるMedical Image Placeに別途契約する必要がある。
一般的名称 汎用画像診断装置ワークステーション用プログラム
販売名 汎用画像診断ワークステーション用プログラム Abierto SCAI.1AP
製造販売認証番号 302ABBZX00004000
●問い合わせ先
キヤノンメディカルシステムズ(株)
広報室
TEL 0287-26-5100
https://jp.medical.canon
