シーメンスヘルスケア,AI技術を用いた画像解析ソフトウェア「AI-Rad Companion 」に3つのシリーズを追加。解析機能も10種に増え,AIを活用した画像解析サポートを大幅に強化
2021-1-29
・新たに 「AI-Rad Companion Brain MR」*1 ,「AI-Rad Companion Prostate for Biopsy」*1,「AI-Rad Companion Organs RT」の医療機器認証を取得
・現在販売している「胸部CT画像AI解析受託サービス」にPulmonary Density(肺密度計測)を新たな機能として追加
・AI-Rad Companionのシリーズは4つ*2,解析機能は10*3へと大幅に増加
シーメンスヘルスケア(株)(以下,シーメンスヘルスケア)は,AI技術を用いて開発されたソフトウェア「AI-Rad Companion(エーアイ・ラド・コンパニオン」に新たなシリーズとして「AI-Rad Companion Brain MR(エーアイ・ラド・コンパニオン・ブレイン・エムアール)」,「AI-Rad Companion Prostate for Biopsy(エーアイ・ラド・コンパニオン・プロステート・フォー・バイオプシー)」および「AI-Rad Companion Organs RT(エーアイ・ラド・コンパニオン・オーガンズ・アールティー)」の3つのソフトウェアの医療機器認証を取得した。また,現在販売している胸部CT画像AI解析受託サービスに肺密度計測が可能となる「Pulmonary Density」機能を新たに追加した。
AI Rad Companion に追加された3つのシリーズ
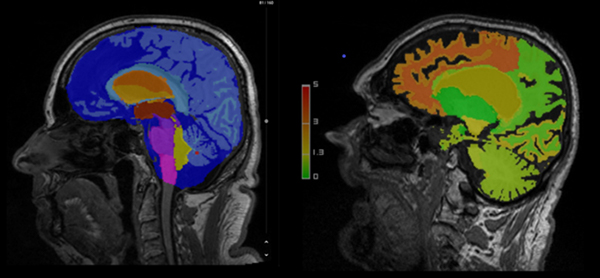
1. 「AI-Rad Companion Brain MR」
頭部MR画像から脳の各部位を自動的にセグメンテーションし,部位ごとにノーマルデータベースと比較することにより,異常のリスクを解析結果画像と定量レポートとして提供する。放射線科医および診療医にこれらの結果をアルツハイマー型認知症やパーキンソン病等のリスク評価に活用することを想定している。
この「AI-Rad Companion Brain MR」について,埼玉医科大学総合医療センター 放射線科 教授 土屋 一洋 氏は以下のように述べている。「この脳形態計測は,主要な構造物を自動的に同定して体積を評価し,正常データベースとの比較で客観的な結果を得ることができます。変性疾患や脱髄疾患での脳の萎縮性変化の評価において有用性が大きいと感じています」*4
2. 「AI-Rad Companion Prostate for Biopsy」
MR画像から前立腺のセグメンテーションを自動的に行い,前立腺の体積を自動計測する。それにより得られた結果画像上に放射線科医が病変部をマークし,マークされたデータ(DICOM-RTSS*5)を超音波画像診断装置に送信することにより,超音波を用いて生検を行う際に補助的なツールとして活用することができる。
3. 「AI-Rad Companion Organs RT」
CTによって撮影された臓器の輪郭を自動的に描画することで,放射線治療計画のワークフローをサポートする。AI-Rad Companion Organs RT は,CT画像による解剖学的データセットに対応しているため,事前に構成された各臓器のテンプレートに基づき輪郭を描画可能で,これにより臓器の自動セグメンテーションを行うことができる。作成された臓器の輪郭を放射線治療計画用のデータとして使用することを想定している。
胸部CT画像AI解析受託サービスに追加された「Pulmonary Density」機能
現在「AI-Rad Companion Chest CT」を用いた胸部CT画像AI解析受託サービスで提供している「肺結節検出」,「肺実質の計測・表示」,「心臓容積」,「冠動脈カルシウム計測」,「大動脈計測」,「胸椎骨計測」に加え,新たに「Pulmonary Density(肺密度計測)」が提供可能となった。Pulmonary Densityは,胸部CT画像から肺および各肺葉を自動的にセグメンテーションし,それぞれの部位(肺領域,片肺,各肺葉)において肺密度計測を行い,肺密度が高い部位の体積,各部位での割合および平均CT値の自動計測を行う。なお,このPulmonary Density機能の追加による費用は発生しない。
AI-Rad Companion Brain MRの臨床画像
AI-Rad Companion Prostate for Biopsyのフロー
AI-Rad Companion Organs RTの対応範囲
*1 この2つのソフトウェアは, AI-Rad コンパニオンMR(認証番号 :302AABZX00092000)として認証を取得している。
*2 AI-Rad Companion Chest CT,AI-Rad Companion Brain MR,AI-Rad Companion Prostate for Biopsy,AI-Rad Companion Organs RT
*3 肺結節検出,肺実質の計測・表示,肺密度計測,心臓容積,冠動脈カルシウム計測,大動脈計測,胸椎骨計測,脳体積計測・表示,前立腺体積計測,臓器輪郭描出
*4 この記述は顧客独自の設定により達成された結果に基づいている。標準的な病院や研究機関はなく,多くの要因(施設規模,サンプルの組み合わせ,症例の組み合わせ,ITレベルや自動化の選択等)が存在するため,他の顧客が同じ結果を得られる保証はない。
*5 超音波画像診断装置がDICOM-RTSSに対応している必要がある。
販売名: AI-Radコンパニオン 承認番号:30200BZX00202000
販売名: AI-Rad コンパニオンCT 認証番号:302AABZX00047000
販売名: AI-Rad コンパニオンMR 認証番号:302AABZX00092000
販売名: AI-Rad コンパニオンOrgans RT 認証番号:302AABZX00093000
●問い合わせ先
シーメンスヘルスケア(株)
TEL 0120-041-387
https://www.siemens-healthineers.com/jp/
