GEヘルスケア・ジャパン,新プラットホーム「AIR™ IQ Edition」を全MRI製品で販売開始
ー 画質の向上と検査時間の短縮を同時に実現する,ディープラーニング画像再構成 ー
2021-4-15
医療課題の解決に取り組むヘルスケアカンパニー,GEヘルスケア・ジャパン(株)は,新しいプラットホーム「AIR™ IQ Edition (エアーアイキュー エディション)」の販売を開始する。「AIR™ IQ Edition 」は,従来のテクノロジーに加え,革新的な新機能を複数にわたり追加することで,MRの検査に関わる全ての人々*1のニーズに応え,より質の高い医療の提供を目的として開発された次世代のプラットホーム。
*1 患者,検査者(技師),読影者(医師),看護師などの医療従事者
●製品特長
■ディープラーニングテクノロジー によりAIR™ がさらに進化。MRの検査に関わる全ての人の検査体験が変わる。
患者快適性,高画質,ワークフロー向上を追求するAIR™ テクノロジー。画質において従来からのAIR™ Recon(エアーリコン)にAIR™ Recon DL(エアーリコン ディーエル)が新たな画像再構成技術として加わり,画質の大幅な向上,そしてアーチファクトを低減し,また画像の尖鋭度を向上させる。また,撮像時間が短縮しても高画質を維持することが可能。
AIR™ Recon
画像の背景ノイズ低減,撮像領域外からの アーチファクトを低減し,SNR向上を実現する画像再構成アルゴリズム。全身領域で使用でき,基本的なイメージクオリティが向上する。
AIR™ Recon DL
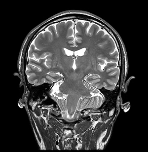
k空間データ全体に対して直接ディープラーニングアルゴリズムを適用し再構成する事でノイズ低減,画像の尖鋭度向上,トランケーションアーチファクトが低減する。従来の画像再構成とAIR™ Recon DLによる画像再構成との2つの比較画像を以下に添付する。
(1) ノイズ低減,画像の尖鋭度向上
従来の画像再構成 |
AIR™ Recon DLによる画像再構成 |
(2) 画質が向上し撮像時間が短縮
従来の画像再構成(撮像時間:4分13秒) |
AIR™ Recon DLによる画像再構成(撮像時間:1分47秒) |
AIR™ X
AIR™ X(エアーエックス)はAIプラットホームにより開発された自動位置決め機能。
36,000の画像データを用いたディープラーニングアルゴリズムを採用,頭部,膝関節の検査において正確な自動スライス設定を行い,設定のためのクリック数を減らし,より早いスキャン開始を実現。また病変の種類や患者の寝ている位置・角度に関わらず,いつ誰が撮像しても同様の撮像断面を得ることができる。
■高画質のまま検査時間を短縮する高速アプリケーションの拡張
2D検査の高速化に加え,圧縮センシング技術のHyperSense 2.0 (ハイパーセンス2.0)により全身領域の3D検査を大幅に高速化し,画質を劣化させずに検査時間を短縮する。HyperSense 2.0では,新たに3Dダイナミックシーケンスや頭頚部および関節領域の3D撮像において適用が拡大され,更なる検査時間の短縮を提供する。
■全身領域における体動に対するソリューションの提供
体動補正技術であるPROPELLER MB(プロペラ エムビー)により,検査中の様々な動きからのアーチファクトを抑制し,画像への影響を最小に抑える技術に加え,新機能として頭部領域での3D PROMO (スリーディー プロモ)による3次元の動き補正技術が進化。撮像可能なコントラストが拡張し,より多くの臨床の場で使用できるようになった。
また,DISCO Star(ディスコ スター)による自由呼吸下での体幹部用ダイナミック撮像が可能になり,従来からの横隔膜同期による撮像法を含めて,患者の状態に合わせた最適な撮像ソリューションを提供する。
「AIR™ IQ Edition」を搭載できる機種は,現行販売している3.0Tと1.5Tの全機種と,過去に販売したMRI装置からバージョンアップまたはアップグレードをすることにより搭載が可能となる。
これらの新型 MRI装置は,大学病院や研究施設をはじめとして,大型総合病院や地域中核病院など高度な医療を提供し,かつ検査効率(ワークフロー)を重視する専門性の高い施設を対象とする製品。
新プラットホーム「AIR™ IQ Edition」を採用する主な製品としては,以下の機種になる。
なお,「SIGNA™ Voyager AIR™ IQ Edition」は,新プラットホームの搭載だけでなく,システムを一新。多くの新しい革新技術を搭載したワイドボア1.5T。
MRの撮像能力を決めるハードウェア三要素である,静磁場均一性,傾斜磁場,RFそれぞれに最新のテクノロジーを搭載することにより,広範囲の撮像,高速撮像そして高SNRでの撮像を可能にした。また新型着脱テーブルが搭載可能となり,AIR™コイルや生産性を最大化するためのソリューション(プラットホーム)SIGNA™ Worksとの相乗効果により,ワークフローの改善に大きく寄与する。
●製品概要
製品名 SIGNA Architect
薬事認証名称 ディスカバリーMR750w 類型:シグナArchitect
発売日 2021年4月14日(水)
医療機器認証番号 223ACBZX00061000
製品名 SIGNA Pioneer
薬事認証名称 シグナPioneer
発売日 2021年4月14日(水)
医療機器認証番号 227ACBZX00011000
製品名 SIGNA Voyager
薬事認証名称 シグナVoyager
発売日 2021年4月14日(水)
医療機器認証番号 228ACBZX00009000
製品名 SIGNA Explorer
薬事認証名称 磁気共鳴断層撮影装置 Optima MR360/Brivo MR355
類型:シグナExplorer
発売日 2021年4月14日(水)
医療機器認証番号 222ACBZX00009000
AIR コイル 3.0T 認証番号 229ABBZX00123000
AIR コイル 1.5T 認証番号301ACBZX00001000
●問い合わせ先
GEヘルスケア・ジャパン(株)
コーポレート コミュニケーション
TEL 0120-202-021
www.gehealthcare.co.jp
