エルピクセル,胸部X線画像から「肺がん」が疑われる肺結節候補域を検出する医用画像解析ソフトウェア EIRL Chest Nodule,新モデルをリリース
検出感度の向上および経時的変化の表示機能を追加
2021-9-21
エルピクセル(株)(以下「エルピクセル 」)は,胸部X線画像から「肺結節」の疑いがある候補域を検出し,医師の診断支援を行う医用画像解析ソフトウェア EIRL Chest Nodule*1 について,検出感度を向上させた新モデルをリリースし,「医薬品,医療機器等の品質,有効性及び安全性の確保等に関する法律(医薬品医療機器等法)」に基づき一部変更申請を行い,2021年8月26日付で承認を取得した。さらに,同モデルには同一被験者の過去に撮影された胸部X線画像を比較して,肺結節候補域の経時的変化(増減率)を表示する機能を追加し,2021年9月17日付で軽微変更届を行った。
本ソフトウェアは2020年8月に深層学習を活用したプログラム医療機器として医療機器製造販売承認を取得,販売を開始しており,日本国内の健診施設や総合病院等で導入されている。臨床現場での活用が進む中,多い場合で1日に500件以上の胸部X線画像を読影する医師のワークフローを阻むことなく,見落とし防止に寄与するソフトウェアとして,医師の声を活かしながら性能改善を図っていた。
*1 販売名:医用画像解析ソフトウェア EIRL X-Ray Lung nodule ,承認番号:30200BZX00269000
【強化された機能】
肺結節候補域の検出感度が向上
新モデルのソフトウェア単体性能試験において,旧モデルと比較した場合,12.2%以上の検出感度の向上が認められた。*2
旧モデルで実施した読影試験では,医師単独で読影した場合と比べ,本ソフトウェアを併用して読影した場合には,放射線科専門医で9.95%,非専門医で13.1%感度が上がり,診断精度の向上が認められている。*3
<旧モデルでは検出できなかったが新モデルで検出できた例>
【新たに追加された機能】
肺結節候補域の経時的変化を検出
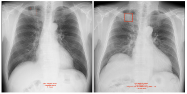
新モデルでは,過去に撮影された同一被験者の胸部X線画像と比較し,矩形で抽出された肺結節候補域の経時的変化(増減率)を表示する機能を追加した。(1) 新たな結節影候補域が検出されたケース,(2) 結節影候補域のサイズが増加・減少したケース,(3) 結節影候補域が検出されなくなったケースが表示対象となる。
胸部X線検査で「結節影」が見られた場合,肺がん,肺結核,肺炎などの可能性が疑われる。読影する医師にとっては,過去に実施した検査画像と比較し新たに検出された結節影を一見して分かることが重要である。また,参考指標として肺結節が疑われる領域が拡大していないか経時的変化を観察することがある。
(参考:日本呼吸器学会 https://www.jrs.or.jp/modules/citizen/index.php?content_id=65
)
<過去画像(左)と比較して肺結節候補域の増加を示した例>
エルピクセルでは「医師に寄り添う,AI」を掲げ,日々,研究・開発に取り組んでいる。同社にとって製品の発売はゴールではなく,臨床導入・活用が進むことで様々な課題が生まれ,その課題に向き合うことで,より有用な製品に近づくことが出来ると考えている。
引き続き,医師のフィードバックに応え,然るべき手順に則りながら,発売後の製品の性能改善に取り組んでいく。
*2 旧モデルと新モデルの各ソフトウェア単体性能試験の結果の比較
以下の条件を満たす肺結節において,IoU (Intersection over Union)が0.01以上を正解とした場合。
(1) サイズは5mm~30mmのものである / (2) SolidであってDiffuseでない / (3) 形状が円形に近い陰影である / (4) 胸部内に位置し他臓器との重なりがない
<旧モデル (EIRL 1.7) > 感度 62.1%以上
<新モデル (EIRL 1.9) > 感度 74.3%以上
*3 肺結節が認められる有所見画像67症例及び正常画像253症例の胸部単純X線画像を対象に,18名の医師(放射線科専門医9名,非放射線科専門医9名)による旧モデル(EIRL 1.7)の読影試験結果。
(感度の結果)
・医師単独読影(CADなし)合計:45.44% 放射線科専門医:47.10% 非専門医:43.78%
・EIRL Chest Nodule 併用読影(CADあり)合計:56.97% 放射線科専門医:57.05% 非専門医:56.88%
(AUC基本統計量)
・医師単独読影(CADなし)0.7088±0.0474.
・EIRL Chest Nodule 併用読影(CADあり)0.7688±0.0255
※ CADはいずれも旧モデル(EIRL 1.7)
【AI画像診断支援技術について】
高度化するモダリティとともに,医療画像診断の作業は膨大化している。AIを活用した独自のアルゴリズムによって,脳MRI,胸部X線などの医療画像情報を解析し,効率的で,正確な診断が出来る環境の提供を目指す。
EIRLプロダクトサイト(医療従事者向け):https://eirl.ai/ja/
●問い合わせ先
エルピクセル(株)
http://lpixel.net
