エルピクセル,胸部CT画像の読影を支援するEIRL Chest CTの販売を開始
2022-4-4
2022年4月4日(月),エルピクセル(株)(以下「エルピクセル 」)は,胸部CT画像の肺野領域において,観察対象の領域(関心領域)を抽出し,その体積と最大径を測定するEIRL Chest CTについて,「医薬品,医療機器等の品質,有効性及び安全性の確保等に関する法律(医薬品医療機器等法)」に基づき,指定管理医療機器の製造販売認証(認証番号:304AGBZX00037000)を取得し,販売を開始した。
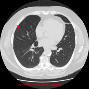
本製品は,胸部CT画像から肺野領域の組織について,使用者が設定した基準値に基づくCT値から「関心領域」を抽出し,その体積と最大径を自動計測する。計測した最大径が閾値以上となった場合には,画像上に色付けして表示する。この抽出・計測・表示機能は,医師が胸部CT画像を対象に読影診断を行う際に併用することで,肺野周辺組織とCT値が異なる肺結節等の視認性向上に寄与することが期待される。
【EIRL Chest CT の開発背景】
肺がんは,日本における死因第一位である悪性新生物(腫瘍)で,高い死亡数・死亡率を示している(1)。こうした状況を改善するためには,何よりも早期発見と早期治療が肝要であり,肺がんが疑われる肺結節を早期に発見する目的で,胸部X線検査やCT検査が実施されている。一般に,自治体や事業所等の定期健康診断で行われる胸部X線検査において,何らかの所見が認められた場合には,精密検査として胸部CT検査を行う。また,入院患者のフォローアップとして定期的に胸部CT検査が行われるなど,医療施設では定常的に胸部CT検査が行われている。
日本CT検診学会が示す「読影の留意点」の一つとして,肺がん(肺結節)について「10mmを超えても見落とす事あり(2)」と指摘されるなど,胸部CT検査には高い精度の維持が求められている。しかしながら,医師の業務逼迫等により1症例にかけられる読影時間には限度がある。さらに,見落としや誤診を防ぐための「二重読影」を実施していない医療施設は3割以上に及ぶとされている(3)。
そこで,エルピクセルでは,胸部CT画像の肺野領域において肺結節候補域を観察対象の領域(関心領域)として抽出し,その体積と最大径を測定することで,医師の読影診断を支援するソフトウェアの開発に取り組んだ。
(1)厚生労働省「令和2年(2020)人口動態統計月報年計」(https://www.mhlw.go.jp/toukei/saikin/hw/jinkou/geppo/nengai20/dl/h7.pdf
)
(2)日本CT検診学会「低線量CT による肺がん検診の肺結節の 判定基準と経過観察の考え方 第5版」(https://www.jscts.org/pdf/guideline/gls5th201710.pdf
)
(3)人間ドック学会「本学会会員施設における低線量CT肺がん検診の実施状況に関する調査報告」(https://www.jstage.jst.go.jp/article/ningendock/33/5/33_739/_pdf/-char/ja
)
●肺結節について
X線画像では,空気は黒く,骨・筋肉・血液などの水分は白く写る。通常は黒く映る部分が白く見えた場合,それを「結節影」と呼び,肺がん,肺結核,肺炎などの可能性が疑われる。定期健康診断などで実施される胸部X線・CT検査において,そういった「結節影」が見られた場合には,精密検査によって確認をする必要がある。
【EIRL Chest CTによる表示例】
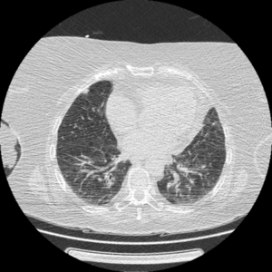
(1) 標準線量CT
(2) 低線量CT
●低線量CTについて
通常のCTに比べ,被検査者に与える被ばく量を軽減することが可能。一方,撮影される画像は,通常のCTに比べて質が低下する傾向にあり,読影診断の難易度が高まると言われている。
●製品に関する問い合わせ先
エルピクセル(株)営業本部
TEL 03-6259-1713
Mail:eirl-cs@lpixel.net
https://marketing.eirl.ai/ja/contact/
