フィリップス,「Liver Fat Quantification(肝脂肪化定量評価機能)」を超音波診断装置「EPIQ」/「Affiniti」に搭載
2022-4-6
(株)フィリップス・ジャパン(以下 フィリップス)は, 「2030年までに25億の人々の生活を向上させる」を達成目標に掲げ, 健康な生活, 予防, 診断, 治療, ホームケアにいたるヘルスケア・プロセスのすべてにイニシアティブを持ち, すべての人々のより良い健康と満ち足りた生活の実現をめざしている。
近年,メタボリック症候群の増加とともに,脂肪肝も増加傾向にある。その中でも非アルコール性脂肪性肝疾患(NAFLD)は飲酒を習慣としていないにも関わらず,2型糖尿病や肥満などさまざまなリスクにより引き起こされ,現在では世界の人口の約25%が罹患しているといわれている[1]。NAFLDの中には,肝線維化が進み肝硬変や肝癌に至る可能性のある非アルコール性脂肪性肝炎(NASH)が含まれることから,早期のスクリーニングでNAFLDを診断し治療することは肝疾患の進行を防ぐための鍵となる。
フィリップスではかねてよりUltimate Liver Solutionとして超音波での肝臓評価および治療をサポートする造影エコーやフュージョン・ナビゲーション機能,肝線維化の定量評価機能などを提供してきた。今回リリースされる「EPIQ 」/「 Affiniti」のRelease 9.0ソフトウェアにはこれらの機能に,肝脂肪化の定量評価法である「Liver Fat Quantification」機能が加わり,肝臓向けソリューションがさらに充実する。
「Liver Fat Quantification」の機能
1.Attenuation imaging(減衰イメージング)
Attenuation imaging(減衰イメージング)
Attenuation imaging機能では肝脂肪化に伴って増加する減衰係数をカラーボックスで表示し,その中に計測ROIを置いて計測する(画面右)。数値の信頼度を表わす信頼度マップも同時にカラー表示することができ(画面左),信頼性が低いところは赤,高いところは緑と視覚的に分かりやすく提示するため,より数値の安定したところにROIを配置し,再現性の高い計測を行うことが可能。
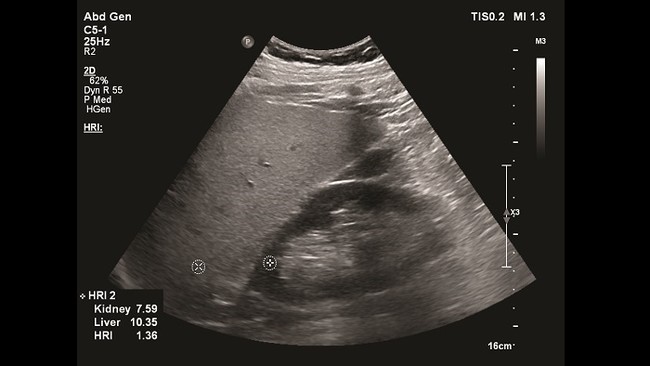
2.Hepatorenal Index(肝腎インデックス)
Hepatorenal Index(肝腎インデックス)
肝臓に脂肪が蓄積すると,隣接する腎臓と比較して肝臓のエコー輝度が上昇することは「肝腎コントラスト」として一般的によく知られているが,主観的な評価方法であることが問題であった。Hepatorenal Index (HRI)では肝臓と腎臓それぞれの輝度を装置上のゲインやグレーマップ,ダイナミックレンジなど画像調整を除した上で数値化して比率を計算するため,客観的な肝腎コントラストの評価が可能となる。
多くの新機能はハイエンド装置のみに搭載されることが多いが,「Liver Fat Quantification」はハイエンド装置である「EPIQ」だけでなく,ミドルクラスの「Affiniti」にも搭載可能。そのため精査目的の検査だけでなく,検診などのスクリーニング検査でも本機能を使用しやすく,より早期の診断・治療に貢献する。
[1] Ramesh K, Rajeev N, Anand U. Non-alcoholic Fatty Liver Disease: Growing Burden, Adverse Outcomes and Associations. J Clin Transl Hepatol. 2020 Mar 28;8(1):76–86. DOI: 10.14218/JCTH.2019.00051. Epub 2019 Dec 28.
販売名:超音波画像診断装置 EPIQ/Affiniti
医療機器認証番号:225ADBZX00148000
クラス分類:管理医療機器/特定保守管理医療機器
●問い合わせ先
(株)フィリップス・ジャパン
TEL 0120-556-494
www.philips.co.jp/healthcare
