エルピクセル,EIRL Brain Segmentation,頭部CT画像から高吸収/低吸収領域及び組織構造・境界の不明瞭化がみられる領域の抽出・表示が可能となった新モデルをリリース
2022-9-9
エルピクセル(株)(以下「エルピクセル 」)は,2021年5月に発売開始した頭部CT画像から頭蓋内において周囲より高吸収の領域を抽出・表示する EIRL Brain Segmentationについて,周囲より低吸収の領域及び組織構造もしくは組織境界の不明瞭化が見られる領域の抽出・表示機能を追加した新モデルをリリースした。
新モデルは「医薬品,医療機器等の品質,有効性及び安全性の確保等に関する法律(医薬品医療機器等法)」に基づき,2022年8月25日に指定管理医療機器の製造販売認証(認証番号:303AGBZX00043Z00)を取得している。
本製品は,CTやPACS(医用画像管理システム)に接続することで,頭部CT画像から頭蓋内の高吸収領域,低吸収領域及び組織構造もしくは組織境界の不明瞭化が見られる領域を自動で抽出し,医師の手元のビューワー等に抽出した領域を出力することが出来る。
エルピクセルでは,専門医や熟練医が不在となりやすい二次救急や夜間の救急医療において,医師の物理的・心理的負担の軽減に寄与する医用画像解析ソフトウェアEIRLシリーズの研究・開発に注力し,拡充を図っていく。
・新モデルが有する機能
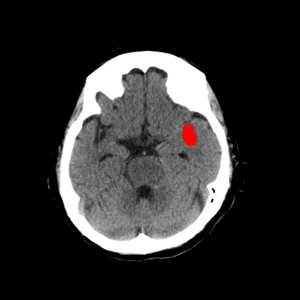
1. 周囲及び前後のスライスと比較して高吸収の領域の抽出・表示
1-1. 高吸収領域の検出・表示例(下)
2. 周囲及び前後のスライスと比較して低吸収の領域及び,頭蓋内で前後のスライス・同一スライス内左右で比較して組織構造や組織境界の不明瞭化が見られる領域の抽出・表示
2-1. 低吸収領域の検出・表示例(下)
2.2 組織構造や組織境界不明瞭化領域の検出・表示例(下)
※参考 2.2 の例画像を撮影した翌日のMR画像
・脳出血・脳梗塞の早期発見に寄与する頭部CT検査
脳出血や脳梗塞などの脳疾患は生命への影響や後遺症に繋がる可能性が極めて高く,急性期における適切な診断と治療が不可欠である。多くの医療機関ではCTは24時間稼働している場合が多く,血腫の確認が比較的容易であることから,脳出血と脳梗塞の鑑別などの画像診断に活用されている(1)。
頭部CT検査において,周囲に比べ白く映る部分(高吸収領域)が見られる場合には,脳出血が疑われる。脳出血は高血圧・脳腫瘍・脳血管の異常などが要因となり,脳の動脈が破れて脳内部に出血した状態を指す。一方,周囲に比べ黒く映る部分(低吸収領域)が見られる場合には,脳梗塞が疑われる。脳梗塞は,脳内の血管が詰まるなどにより血液の流入が止まり,脳に酸素や栄養が行き渡らなくなる状態。また,急性期の脳梗塞では,頭部CT検査において,灰白質と白質の境界が消失するなどの所見(ECS=early CT sign)が見られ(2),こうした所見を見落とさずに治療につなげることが肝要である。
(1) 山口 由津穂,原 武史,坂下 惠治,周 向栄,村松 千左子,藤田 広志(2014)「頭部 CT 画像上の急性期脳梗塞における早期虚血サイン検出の 支援診断システムの開発『電子情報通信学会技術研究報告』114 (41), 9-13, 2014-05,一般社団法人電子情報通信学会
(2) 松岡陽治郎(2012)「CTで異常所見が指摘できますか?」『レジデントノート』2012年5月号 Vol.14 No.3,羊土社
【AI画像診断支援技術について】
高度化するモダリティとともに,医療画像診断の作業は膨大化している。AIを活用した独自のアルゴリズムによって,脳MRI,胸部X線などの医療画像情報を解析し,効率的で,正確な診断が出来る環境の提供を目指す。
EIRLプロダクトサイト(医療従事者向け):https://eirl.ai/ja/
●製品に関する問い合わせ
エルピクセル(株) 営業本部
TEL 03-6259-1713
Mail:eirl-cs@lpixel.net
https://marketing.eirl.ai/ja/contact/
