エルピクセル,大腸ポリープ候補を検出し,大腸内視鏡検査を支援する「EIRL Colon Polyp」 を新発売
2022-12-9
2022年12月9日(金),エルピクセル(株)(以下「エルピクセル 」)は,大腸内視鏡の画像情報(動画)から,隆起型及び表面型(表面隆起型)の大腸ポリープ候補(1)(以下,大腸ポリープ候補)を検出し矩形で表示することにより,大腸ポリープ候補の検出を支援する「医用画像解析ソフトウェアEIRL Colon Polyp」(エイル コロン ポリープ)の販売を開始した。なお,カイゲンファーマ(株)が総代理店として販売を行う。
本ソフトウェアは深層学習を活用したプログラム医療機器として,「医薬品,医療機器等の品質,有効性及び安全性の確保等に関する法律(医薬品医療機器等法)」に基づき,2022年11月14日付で厚生労働大臣より医療機器製造販売承認(承認番号:30400BZX00259000)を取得した。エルピクセルが実施したソフトウェア単体性能試験において,通常光内視鏡画像において,病変単位の感度98.1%,フレームベースの特異度95.0%を示しており,医師が大腸内視鏡検査時に本ソフトウェアを併用して読影することで,大腸がんに移行する可能性が高い大腸ポリープ(2)の検出・診断補助に寄与することが期待される。
本ソフトウェアは,国立研究開発法人日本医療研究開発機構 革新的がん医療実用化研究事業「人工知能技術を用いた大腸内視鏡検査における病変検出・診断支援技術の開発」(研究代表者:炭山和毅 東京慈恵会医科大学教授)の支援を受け,東京慈恵会医科大学がエルピクセル(株)(分担研究者)とともに実施した共同研究の成果に基づき,製品化に至った。
東京慈恵会医科大学によるプレスリリース:
http://www.jikei.ac.jp/news/press_release_20221209.html
【開発背景】
増加傾向にある大腸がんの罹患率・死亡率
2019年に日本国内で新たに診断されたがん症例999,075例のうち,大腸がんは155,625例と最も多くの割合を占め,年々上昇傾向にある(3)。また,がんによる死亡数を見ても,肺がんに次いで2番目に多く(4),予防と早期発見への注力が求められている。
早期発見の鍵を握る「大腸内視鏡検査」
先行研究では,全大腸内視鏡検査(Total Colono Scopy:TCS)によるスクリーニングと予防的腺腫性病変切除は,大腸がんの罹患率・死亡率を低下させることが示されている(5)。一方,大腸内視鏡検査は検査を実施する医師の技量に頼る部分も多く,大腸がん患者のうち,大腸がんが見つかる前の5年以内に大腸内視鏡検査を受けていた147例を調査した研究においては,6割近くに及ぶ85症例は「病変の見落とし」に起因すると指摘されるなど(6),いかに早期に病変を発見・切除できるかが課題となっている。
【製品概要】
・機能
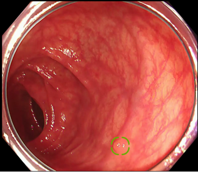
大腸内視鏡検査中に通常白色光モードにおいて入力された大腸内視鏡画像情報から,大腸ポリープ候補を検出することが出来る。検出した場合には,メイン画像の四隅にアラート枠を表示した後,大腸ポリープ候補の四隅を囲む矩形を表示する。
・性能
| 推定値 | 95%CI(信頼区間) | |
| 感度(病変ベース) | 98.1% | 4.6%-99.6% |
| 特異度(フレームベース) | 95.0% | 94.6%-95.3% |
※大腸内視鏡検査動画から抽出した陽性動画 159,陰性動画 136 を用いた後ろ向き性能評価試験を実施した結果。
・表示例
1.大腸ポリープがメイン画像に出現し,本品が大腸ポリープ候補と認識した時点でメイン画像四隅を囲むアラート枠が表示される。
2.アラート枠表示後,アラート枠が大腸ポリープ候補に向かって徐々にフォーカスする。
3.大腸ポリープ候補の四隅を囲むボックスが表示される。
【特長】
・初期導入費用を抑えた価格体系
買い切り型ではなく,初期費用を抑えることで導入しやすい「月額課金型」にて提供する。
・医師の使いやすさにこだわったUI設計
医師の使いやすさにこだわることで検出支援と検査の邪魔にならないことの両立を実現している。
1.病変候補検出時のアニメーション表示
検出時に表示する矩形について,目立たない表示では矩形自体に気付きづらくなる一方,目立たせすぎることで検査の邪魔となる可能性がある。そこで,本ソフトウェアでは,矩形の表示は最小限に,画面全体から病変にフォーカスするアニメーションを用いて表示することで,医師が画面内のどこを注視していたとしてもアラートに気づきやすいUIを採用している。
2.内視鏡操作と診断支援を1つの映像で実現
精緻な解析のために多少の処理時間を要する一方,内視鏡の安全な操作のためには検査映像の遅延は許容されない。本ソフトウェアでは,矩形等の解析結果のみを元映像に重畳し表示することで,映像の遅延を発生させないだけでなく,メインモニタの1画面で検査動画と解析結果の表示を完結することが可能。
3.医師の好みに合わせてUIのカスタマイズが可能
医師の好みに合わせて,アニメーションの表示時間,矩形の色や太さを設定することができる。
(1) 隆起型及び表面型(表面隆起型)
(2)吉永繁高.“大腸ポリープとは”日本消化器内視鏡学会.https://www.jges.net/citizen/faq/large-intestine_06
(3)e-stat「全国がん登録 / 全国がん登録罹患数・率 / 事業の概要及び解説」(調査年月:2019年,公開(更新)日2022-05-27)
(4)がん情報サービス「全がん死亡数・粗死亡率・年齢調整死亡率(1995年~2020年)」
(5)関口正宇,齋藤豊,松田尚久(2017)「大腸癌死亡率減少のために ―日本における内視鏡検診導入の可能性とその是非,費用対効果分析も含めて―」『日本消化器学会雑誌』59巻6号p.1393-1402
(6)Chantal M C le Clercq,Mariëlle W E Bouwens,Eveline J A Rondagh,C Minke Bakker, Eric T P Keulen, Rogier J de Ridder,Bjorn Winkens,Ad A M Masclee, Silvia Sanduleanu “Postcolonoscopy colorectal cancers are preventable: a population-based study”le Clercq CMC, et al. Gut 2014;63:957–963. doi:10.1136/gutjnl-2013-30488
【AI画像診断支援技術について】
高度化するモダリティとともに,医療画像診断の作業は膨大化している。AIを活用した独自のアルゴリズムによって,脳MRI,胸部X線などの医療画像情報を解析し,効率的で,正確な診断が出来る環境の提供を目指す。
EIRLプロダクトサイト(医療従事者向け):https://eirl.ai/ja/
●問い合わせ先
エルピクセル(株) 営業本部
TEL 03-6259-1713
Mail:eirl-cs@lpixel.net
https://marketing.eirl.ai/ja/contact/
カイゲンファーマ(株) 営業企画部
TEL 06-6202-8977
Email:eirl-contact@kaigen-pharma.co.jp
https://www.kaigen-pharma.co.jp/inquiry/mail05/
