エルピクセル,胸部X線画像の読影診断を支援するEIRL Chest Screeningの新モデルを発売,検出する異常陰影候補領域の対象所見を拡大
2023-1-10
2023年1月10日,エルピクセル(株)(以下「エルピクセル 」)は,胸部X線画像の読影診断を支援するEIRL Chest Screening(1)について,新たに3つの異常陰影領域(浸潤影,無気肺,間質性陰影)を検出する機能を追加した新モデルを発売した。
従来のEIRL Chest Screeningは,胸部X線画像から肺結節候補域を検出するEIRL Chest Nodule(2)と,胸腔内の空気含有面積・肋骨横隔膜角・心胸郭比・縦隔幅・大動脈弓径を自動計測するEIRL Chest Metry(3)の2つのソフトウェアを統合した製品であった。今回の新モデルでは,EIRL Chest Noduleに代えて,結節影だけでなく浸潤影,無気肺,間質性陰影を検出する機能を持つソフトウェア(販売名:医用画像解析ソフトウェア EIRL Chest XR, 承認番号:30400BZX00285000)を追加した。新モデルの発売によって,健康診断のみならず日常診療等,膨大な検査数が実施される胸部X線検査をより包括的に支援することを目指す。
【結節影,浸潤影,無気肺,間質性陰影とは】 (4)
・結節影について
円形・類円形の陰影で悪性の肺腫瘍(肺がん)のほかに良性肺腫瘍や様々な限局性の肺疾患が疑われる所見。
・浸潤影について
結節影よりも広い範囲に及ぶ陰影で,主に肺炎や肺結核などの肺感染症に見られる画像所見。
・無気肺について
肺が虚脱した状態を示す所見で,肺葉レベルから末梢の細気管支レベルまで生じる可能性がある。
・間質性陰影について
索状影,網状影,線状影などの特徴をもつ間質が変化した場合の所見。
【今回の機能追加の背景】
日常診療や,定期健康診断等で実施される胸部X線検査において,上記の異常陰影が見られた場合には,必要に応じて精密検査によって病変の確認を行う。所見によっては,重篤なものもあり,早期に発見し,適切な治療を行うことが重要である。
胸部X線検査は,被験者の被爆及び費用負担が少なく,比較的簡便に行うことができる検査であり,病院で最初に行う画像検査,人間ドックや健康診断に欠かせない項目となっている。しかし,その一方で撮像された画像の診断・読影は膨大な数となり,医師の負担は増大している。そこで,医師の見落としリスクを低減するサポートとなるべく,今回の新機能を追加した。
【新たに追加された機能】
3つの異常陰影領域(浸潤影・無気肺・間質性陰影)を検出
【検出精度について 】(5)
医師単独で読影した場合と比べ,本ソフトウェアを用いて読影した場合には,専門医で11.1%,経験5年未満の非専門医で15.5%の感度が上がることが認められた。また,読影試験における診断性能を表すJAFROC解析によるFOM(Figure of Merit)値は,本品を併用すると専門医で0.059ポイント向上し(p<0.001),診断精度の向上が認められた。(6)
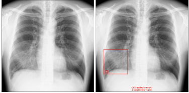
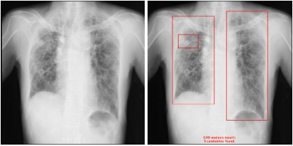
【画像例】
・浸潤影の内側に結節影がある症例
・右肺に無気肺がある症例
・間質性陰影が広がっている症例
(1)EIRL Chest Screeningは製品の総称。 2022年2月3日:
胸部X線画像の読影診断を支援する EIRL Chest Screening,肺結節候補域の検出と5つの計測機能を有する新モデルとして販売開始(https://lpixel.net/news/press-release/2022/10501/
)
(2)販売名:医用画像解析ソフトウェア EIRL X-Ray Lung nodule 承認番号:30200BZX00269000
(3)販売名:医用画像解析ソフトウェア EIRL Chest Metry 認証番号:302AGBZX00101000
(4)“胸部X線” 公益社団法人日本人間ドック学会. https://www.ningen-dock.jp/public/inspection/chest-x
(5)医用画像解析ソフトウェア EIRL Chest XRの読影試験の結果を記載している。
(6)読影試験の詳細説明/異常陰影が認められる有所見画像88症例及び正常画像266症例の胸部単純X線画像を対象に,10名の医師による読影試験の結果。読影試験を行った10名の医師の内訳は以下の通り。放射線科専門医:3名,専門外医:7名(経験10年以上:3名,経験5年未満:4名)
●問い合わせ先
エルピクセル(株) 営業本部
TEL 03-6259-1713
Mail:eirl-cs@lpixel.net
https://marketing.eirl.ai/ja/contact/
