インフォコム,AIで画像処理,医師の読影をサポート。検像システムiRad-QAに新機能,7月提供開始
2024-4-2
インフォコム(株)は,医療機関向けに提供する医用画像検像システムiRad-QA(アイラド キューエー)について,AI(人工知能)で胸部エックス線検査の画像処理を行い医師の読影を支援する新機能を開発し,7月より標準機能として提供を開始する。2024年4月の国際医用画像総合展(ITEM2024)で本機能を公開する。
【背景】
iRad-QAはインフォコムが提供する放射線部門向けITシステムiRadシリーズのうち,医療機器で撮影した画像や入力データを医師が読影する前にチェック・編集する検像システムで,業界トップクラスのシェアとなっている。
近年,医師の長時間労働が問題となる中,多くの病院で医師の負担軽減への取り組みが進められている。胸部エックス線検査の読影は,検査数の増加と専門の放射線科医の不足のため,非専門医によって実施されているケースが少なくない。しかし,これらの画像は医療機関で最も多く撮影されていながら,肋骨などの骨が映り込むため読影が難しいとされている。
【概要】
iRad-QAにAIを用いた二つの新機能を追加し,医師の読影業務の効率化,負担軽減をサポートする。検像システムの中でAIを用いて自動で画像処理を行うことができるため,別途他社の専用ソフトウェアを使用する場合よりも作業時間や手間が短縮される。また,iRad-QAの標準機能のため,追加の費用をかける必要がない。
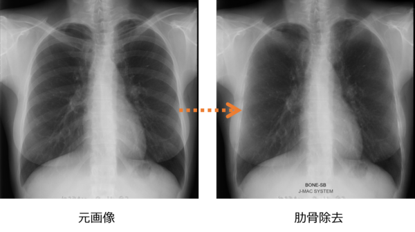
(1) 肋骨陰影の減弱
撮影した画像データから,AIを用いて肋骨の陰影を薄くする画像処理(減弱)を行うことで病変を見つけやすくしたり,骨に隠れて見えない異変の見落としを防止したりするなど医師の読影をサポートする。
新機能イメージ
(2) 心胸郭比(CTR)の自動計測機能
心臓と胸郭の最大幅をAIで自動計測し,心拡大の判断基準となる心胸郭比(CTR)を算出する。
【今後の展開】
同社は今後,AIを活用した画像解析技術をCTやMRI,胸部以外の医用画像処理等にも応用し,iRadシリーズの機能をさらに拡充していく。同社は,中期経営計画(2023年~2025年)において病院向けサービスを含むヘルスケアを重点事業のひとつと定めており,今後も国内病院向け事業の拡大・拡充に取り組んでいく。
●問い合わせ先
インフォコム(株)
ヘルスケアソリューション事業本部 放射線システム営業部
TEL 03-6866-3790
iRad-sales@infocom.co.jp
