フィリップス,「心不全パンデミック時代」に備える心臓AI技術搭載 最新プレミアムモデル「CT 5300」4月4日(木)より発売
リアルタイムでコンソール画面の共有や操作ができる遠隔コミュニケーションツール「CT Collaboration Live」新搭載
2024-4-4
(株)フィリップス・ジャパン(以下 フィリップス)は,新たにリアルタイムでコンソール画面の共有や操作ができる遠隔コミュニケーションツール「CT Collaboration Live」や,好評の心臓AI技術を搭載した最新プレミアムモデル「CT 5300」を4月4日(木)から販売開始する。
2030年には「心不全パンデミック」と呼ばれ,日本国内において高齢化にともなう心不全の新規発症数が35万人を超えることが予測されている[1]。また現在の医療現場では“CTファースト”が進められており,心疾患疑いの胸痛を訴える患者に対してまず心臓CT検査を行うことで,他の侵襲的な処置を回避し,患者ケアが改善されることが示されている[2]。
今後ますます心臓CTのニーズが増加することが予想される一方で,一般的に心臓CTは他のCT検査よりも静止画像を取得することが難しく,診断に有効な心臓画像を取得するためには撮影者に高度な知識と経験が必要とされてきた。また高度な撮影を行うためには最高性能の装置が必要となり,価格についても課題が残されていた。
フィリップスのプレミアムモデル「CT 5300」は,より多くの患者に確実な診断を提供することを目指し,心臓に特化した機能や心臓専用のAI技術を搭載することで,撮影者の技量や患者の拍動の影響を受けにくい心臓CTを提供する。またハードウェアからソフトウェアまでの設計を見直し合理化することで,フラッグシップモデル並みの性能を有しながらも低価格を実現し多様なユーザーニーズに対応した[3]。さらに,AI技術がサポートする自動化されたワークフローやリアルタイムで遠隔操作を可能にするコミュニケーションツールを導入することで,医療従事者の負担を軽減し,2024年4月から始まる「医師の働き方改革」をサポートする。
「CT 5300」の主な製品特長
1. 新搭載の遠隔コミュニケーションツールで検査室外からも操作ができる
遠隔環境での医療従事者間のコミュニケーションを可能にする新しいソリューション「CT Collaboration Live」を新搭載した。会話やチャットのみならず,コンソール画面の共有や操作にいたるまでリアルタイムで遠隔操作を可能にする。
従来のCT検査はコンソール画面を直接操作するCT担当技師の技量に託されている部分があり,経験年数の浅い技師などでは,複雑な検査オーダーへの対応や撮影後の画像確認において,不安や検査時間の増加という課題があった。「CT Collaboration Live」は,CT検査室外にいる技師や医師とリアルタイムでやり取りできるため,迅速かつ確実な診断につながる。
CT Collaboration Live
2. 心臓CTの確実性と低被ばく撮影を追求したAI技術
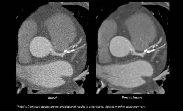
AI技術を応用した「Precise Cardiac」を開発することで,心臓検査でしばしば発生する画像のブレを自動的に抑え,心臓CTの画質向上に大きく貢献する。またAI技術の「Precise Image」を使用することで,心臓CTの根本的な画質を向上させながら,同時に大幅な被ばく低減を実現する。80%の被ばく低減をした場合,85%のノイズ低減と60%の低コントラスト検出能の向上が可能となった[4]。
「Precise Image」使用前(左),使用後(右)
3. 自動化されたワークフローで効率的な検査を実現
CT 検査の準備・撮影・診断・インターベンションに関わる領域まで幅広くAI技術がサポートする「Smart Workflow」を搭載している。自動化されたワークフローにより,検査時間の短縮や少人数でのCT検査を実現している。
4. 10数年先も最新のCT検査を提供,長期間の安定稼働をサポート
CT装置の買い替え平均年数は1988年に8.4年だったものが,2021年では11.7年と長期化していることが分かっている[5]。そのため,CT装置には最新機能の搭載だけではなく,この先10数年を見据えた長期間の安定稼働が必要とされている。「CT 5300」には,安定稼働をサポートする遠隔モニタリング機能や高耐久性のX線管球が搭載されており,装置の稼働率向上に貢献する。また,最新の臨床技術を常に利用することができるプログラム「Technology Maximizer」を活用することで,長期にわたってCT装置を常に最新状態に保つことができ,CT装置の投資価値を最大化することが可能である。
[1]:Shimokawa H et al. European Journal of Heart Failure (2015)17, 884–892
[2]:Markus Scherer, MD, Atrium Health-Sanger Heart and Vascular Institute, Charlotte, NC. The study findings were presented February 1, 2024 at the American College of Cardiology (ACC) Cardiovascular Summit in Washington, DC.
[3]:フィリップス社内比較
[4]:Lower image noise, improved low-contrast detectability, and/or dose reduction were tested using reference body protocols. All metrics were tested on phantoms. Low-contrast detectability tests were performed using 1.0 mm slices, and tested on the MITA CT IQ Phantom (CCT183, The Phantom Laboratory), using an auto tool “CHO” (Channelized Hotelling Observer).
[5]:第 19 回(2021 年度) 画像医療システム等の導入状況と 安全確保状況に関する調査報告書,日本画像医療システム工業会(JIRA)
販売名:全身用X線CT装置 CT 5300
医療機器認証番号:306AFBZX00013000
設置管理医療機器/特定保守管理医療機器/管理医療機器
●問い合わせ先
(株)フィリップス・ジャパン
TEL 0120-556-494
www.philips.co.jp/healthcare
