GEヘルスケア・ジャパン,Voluson Signature シリーズの最新モデル販売開始
-AI手法を用いて開発したソフトウェアの搭載で必要な情報を迅速かつ効率的に提供,医師の負担軽減を支援-
2024-4-18
Voluson Signature 20
医療課題の解決に取り組むヘルスケアカンパニー,GEヘルスケア・ジャパン(株)(以下GEヘルスケア)は,産婦人科向け超音波画像診断装置「Volusonシリーズ」の最新モデル「Voluson Signature 20」および「Voluson Signature 18」を2024年4月18日(木)に販売を開始する。また,2024年4月19日(金)より開催される第76回日本産科婦人科学会学術講演会にて同製品を初出展する。
日本では,医師の適切な労務管理および健康推進により,質の高い医療を安全に提供するべく2024年4月から医師の働き方改革の新制度が施行された。この様な国の方針を後押しするべく,GEヘルスケア・ジャパンは,この度,産婦人科医の負担軽減を目指した超音波診断装置「Voluson Signatureシリーズ」2機種の販売を開始する。
GEヘルスケアは,2002年に国内で産婦人科向け超音波診断装置「Volusonシリーズ」を販売開始以来,多くの医師の協力を得て周産期・産婦人科分野の診療の正確性と効率化に繋がる様々な革新を続けてきた。母体はもちろん小さな生命も守らねばならない産婦人科医が直面する課題は多岐に渡り,的確な判断を瞬時に行うことができるよう支援できる機能を搭載した診断装置が求められていた。同社では現場の医師の課題をヒヤリングし,多数のインサイトを得て,新製品の開発に取り組んだ。今回販売を開始する「Voluson Signatureシリーズ」は,医師のニーズに迅速かつ的確に応えるイメージング機能とクリニカルツールを搭載し,より健康な女性の未来の実現を目指す。
【Voluson Signatureの特長】
■新アーキテクチャが得たい情報を迅速に提供
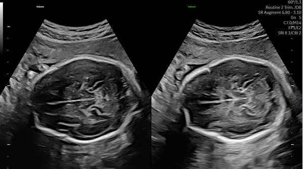
困難な条件においても必要な情報が即座に医師に届けられるように,先進のハードウェアとフレキシブルなソフトウェアを融合させたVoluson Unity Architectureを搭載した。超音波の原理上どうしても生じてしまう減衰と音響陰影を補うイメージング機能を搭載したことで,医師が判断に迷う時間を低減し,日々の診療をさらに効率化する。
減衰を補うAugmentと,音響陰影を補うShadow Reductionを使用した画像(off/on)
■検査の質と効率向上を支援するクリニカルツール:SonoLyst
SonoLystは,ワークフロー改善のためにAI手法を用いて開発されたソフトウェア。ISUOG(国際産婦人科超音波学会)ガイドラインに準拠し,解剖学的な特徴からスキャン中の描出断面が基準断面にどれほど近づいているかを知らせて医師のスキャンをサポートする。フリーズ後は,ガイドラインの基準断面に即したどの部位であるかを自動認識し,ユーザーに提案し,ユーザーがそれを受け入れると,チェック済項目として保存される。これにより,胎児スクリーニング検査の効率化と検査クオリティの担保,ユーザーの自己学習の推進に貢献する。
SonoLystを用いた検査画面
Voluson Signatureシリーズは,超音波診断装置のイメージング機能とクリニカルツールの両面から検査の効率化と正確性の向上をサポートし,医師の超音波検査の負担軽減をサポートするとともに女性の健康的な未来への貢献を目指す。
その他,本資料に記載された装置の製品名/薬事販売名/医療機器認証番号は以下の通り:
製造販売:GEヘルスケア・ジャパン(株)
販売名称:汎用超音波画像診断装置 Voluson Signature 20
医療機器認証番号:306ACBZX00004000
※Voluson Signature 18はVoluson Signature 20の類型。
販売名称:9Lプローブ 医療機器認証番号 : 218ABBZX00058000
※9L-Dプローブは販売名9Lプローブの類型。
販売名称:C1-6-Dプローブ 医療機器認証番号 : 224ABBZX00168000
販売名称:RAB6-Dプローブ 医療機器認証番号 : 223ABBZX00096000
●問い合わせ先
GEヘルスケア・ジャパン(株)
コーポレート コミュニケーション
TEL 0120-202-021
https://www.gehealthcare.co.jp/
