富士フイルム,画像処理エンジンを一新したフラッグシップモデル LED光源搭載内視鏡システム「ELUXEO(エルクセオ) 8000システム」新発売
さらなる高画質化と新たな画像強調機能により,質の高い観察・診断・治療をサポート
2024-5-28
LED光源搭載内視鏡システム
「ELUXEO 8000システム」
富士フイルム(株)は,LED光源搭載内視鏡システム「ELUXEO(エルクセオ)」シリーズの新ラインアップとして,「ELUXEO 8000システム」を,富士フイルムメディカル(株)を通じて5月28日より発売する。「ELUXEO 8000システム」は,画像処理エンジンを一新し高画質を追求した,「ELUXEO」シリーズのフラッグシップモデル。さらなる高画質化と新開発の画像強調機能で,より質の高い観察・診断・治療をサポートする。
富士フイルムメディカルは,5月30日~6月1日にグランドプリンスホテル新高輪(東京都港区)で開催される「第107回 日本消化器内視鏡学会総会(JGES2024)」に本製品を出展する。
軟性内視鏡は,がんの早期発見や低侵襲治療が可能で,観察・診断・治療などに広く用いられている。診断精度向上やスムーズな検査のため,より高画質な画像や,目的に応じて観察しやすい画像を提供することが求められている。
富士フイルムは,2020年に4色のLED照明の発光強度を高精度に制御し,さらに画像処理を組み合わせることで多彩な観察モードを提供するLED光源搭載内視鏡システム「ELUXEO 7000システム」※1を発売。粘膜表層の微細な血管や粘膜の微細な構造などを強調して表示する機能「BLI(Blue Light Imaging)」や,画像の赤色領域のわずかな色の違いを強調して表示する機能「LCI(Linked Color Imaging)」により,医師の内視鏡診療を支援している。
今回発売する「ELUXEO 8000システム」は,画像処理エンジンを一新しさらなる高画質化を実現した,「ELUXEO」シリーズのフラッグシップモデル。プロセッサー「EP-8000」とスコープで構成されており,上部消化管用汎用スコープ「EG-860R」※2をはじめとする新開発の800システムスコープに加えて,従来スコープ※3とも組み合わせて使用できる。従来の内視鏡システムのノイズ低減技術に,富士フイルムがX線画像診断システム・超音波画像診断装置で培ったノイズ低減技術を融合したノイズ低減技術「TNR(Triple Noise Reduction)」と,ダイナミックレンジ※4を拡張し,適切な調光制御でハレーションを抑制する技術「E-DRIP(Extended Dynamic Range Image Processing)」の二つの新技術を搭載。奥まで明るくシャープな画像を描出し,観察・診断・治療の質向上をサポートする。4K解像度の高画質画像をモニター出力することも可能。また,新たに開発した画像強調機能「ACI(Amber-red Color Imaging)」を搭載した。「ACI」は,血液の色の濃淡や微妙な色の違いを強調表示する機能で,出血時に医師の出血点の特定をサポートする。
富士フイルムは,今後も独自技術を生かし,さまざまな医療現場のニーズに応える幅広い製品・サービスの提供を通じて,さらなる診断の効率化と医療の質の向上,人々の健康の維持・増進に貢献していく。
※1 プロセッサー 販売名:プロセッサー VP-7000 届出番号:14B1X10022A0V014
光源装置 販売名:光源装置 BL-7000 認証番号:227AABZX00041000
スコープ 販売名:電子内視鏡 EG-760R 認証番号:227AABZX00053000
※2 販売名:電子内視鏡 EG-860R 認証番号:305AABZX00031000
※3 一部例外がある。
※4 画像をつぶれなく再現できる明暗の範囲。
1. 品名
ELUXEO 8000システム
プロセッサー 販売名:プロセッサー EP-8000 認証番号:305AABZX00037000
2. 発売日
2024年5月28日
3. 主な特長
(1)新画像処理エンジンの搭載により,さらなる高画質化を実現
さらなる高画質化を目指して画像処理エンジンを一新し,ノイズ低減技術「TNR」と調光・階調制御技術「E-DRIP」の二つの新技術を搭載した。富士フイルムが培ってきた,内視鏡システム・X線画像診断システム・超音波画像診断装置のノイズ低減技術を結集させた「TNR」で,大幅なノイズ低減を実現した。また,ダイナミックレンジを拡張し,適切な調光制御をする技術「E-DRIP」により,奥まで明るく鮮明でハレーションを抑えた画像を提供する。
(2)出血時に医師の出血点の特定をサポートする画像強調機能「ACI」を搭載
「LCI」の色彩強調技術に明るさ強調の技術を加えた新たな画像強調機能「ACI」を搭載した。「ACI」は,血液の色の濃淡や微妙な色の違いを強調表示することで,出血時に医師の出血点の特定をサポートする。また,血管の視認性を向上させることで,内視鏡処置時に出血を防ぐために血管を焼灼する予防的止血の際にも医師を支援できると期待される。また「ACI」は,白色光に近い色合いの画像を描出しながら血液の色の違いを強調するため,出血時だけでなく,処置中に常時使用することが期待できる。
(3)送気装置・送水装置などの周辺機器との連携により,検査の効率化をサポート
内視鏡用炭酸ガス送気装置「GW-100」※5や内視鏡用送水装置「JW-3」※6などの周辺機器との連携により効率的な検査が行える。「GW-100」との連携では,「GW-100」から送気が開始されると,プロセッサー「EP-8000」からの送気を自動的に停止し,各装置のON/OFF操作の手間を削減する。また,「JW-3」との連携では,従来のフットスイッチでの送水操作に加えて,任意のスコープスイッチに送水操作を設定することで,スコープからも送水操作ができる。
※5 販売名:内視鏡用炭酸ガス送気装置 GW-100 認証番号:225AABZX00133000
※6 販売名:内視鏡用送水送液システム 承認番号:30200BZX00303000
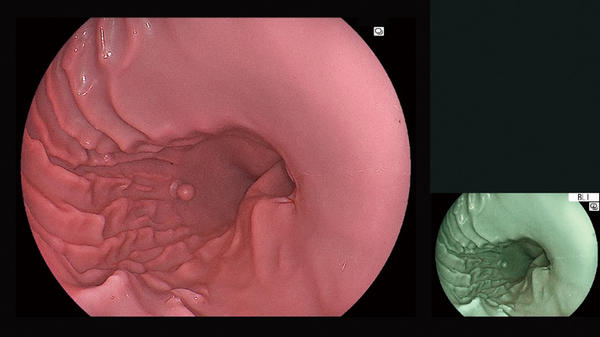
(4)白色光画像と画像強調機能の画像を同時に表示するマルチオブザベーションモードを搭載
白色光画像と画像強調機能の画像を同時に取得し,観察モニター上に表示するマルチオブザベーションモードを搭載した。これにより,画像強調機能のON/OFFを切り替える手間を削減し,スムーズな観察をサポートする。
マルチオブザベーションモードの画面
白色光画像と画像強調機能の画像を同時に取得して観察モニター上に表示し,スムーズな観察をサポートする。
●問い合わせ先
富士フイルムメディカル(株)
営業本部 マーケティング部
TEL 03-6419-8033
