富士フイルム,AI技術を活用して開発された内視鏡診断支援機能「CAD EYE(キャド アイ)」 上部消化管病変検出機能を提供するソフトウェア「EW10-EG01 Ver2.0」提供開始
内視鏡検査画像の学習量をVer1.0から全体で約1.6倍に増加し,誤検出の低減を目指す
2025-3-17
富士フイルム(株)は,AI技術*1を活用して開発された内視鏡診断支援機能「CAD EYE(キャド アイ)」*2の上部消化管病変検出機能を提供するソフトウェア「EW10-EG01」*3の新バージョン「EW10-EG01 Ver2.0」を,富士フイルムメディカル(株)を通じて3月17日より提供開始する。
富士フイルムは,2020年に大腸内視鏡検査におけるポリープなどの病変検出および鑑別を支援するソフトウェア「EW10-EC02」*4を発売した。その後,2022年には,AI技術を活用して開発された上部消化管領域の内視鏡診断を支援する医療機器として日本で初めて薬事承認を受けた*5「EW10-EG01」を発売。「EW10-EG01」は,上部消化管の内視鏡検査時に胃腫瘍性病変や食道扁平上皮癌が疑われる領域をリアルタイムに検出するソフトウェアで,病変が疑われる領域を検出すると,対象領域を枠(検出ボックス)で囲って表示するとともに報知音を発して,医師による検出を支援する。
内視鏡診断支援機能「CAD EYE」は,機能拡張ユニット「EX-1」に「EW10-EC02」または「EW10-EG01」のソフトウェアをインストールすることで使用できる。この機能拡張ユニット「EX-1」は国内の累計導入台数が1000台を突破し,全国の多くの医療機関で使用されている。
今回提供を開始する「EW10-EG01 Ver2.0」では,食道,胃ともに,高い感度の維持と特異度の向上を目指し,Ver1.0から内視鏡検査画像の学習量を全体で約1.6倍に増加させた。これにより,Ver1.0で認められた誤検出の低減が期待され,胃がん・食道がんの早期発見を支援する。
「EW10-EG01 Ver1.0」から内視鏡検査画像の学習量が全体で約1.6倍に増加
機能拡張ユニット「EX-1」
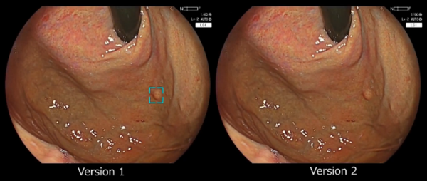
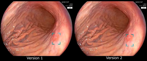
病変検出支援機能の性能評価試験*6
(上:Ver1.0*7 下:Ver2.0*8)
Ver1.0では誤検出し,Ver2.0では誤検出しなかった症例
Ver1.0,Ver2.0ともに検出した症例
富士フイルムは,医用画像診断支援や医療現場のワークフロー支援などに活用できるAI技術を「REiLI(レイリ)」のブランド名で展開し,医療現場の課題解決に取り組んでいる。内視鏡検査領域においては,「CAD EYE」を用いた診断支援のほか,AI技術を活用して開発した内視鏡の検査レポート作成を支援する機能も提供している。今後も「CAD EYE」を含め,内視鏡診断のワークフロー全体を支援するAI技術を活用したソリューションの提供を通じて,検査の効率化と医療の質の向上,人々の健康維持・増進に貢献していく。
*1 AI(人工知能)技術のひとつであるディープラーニングを設計に用いた。導入後に自動的にシステムの性能や精度が変化することはない。
*2 「CAD EYE」は,同社がAI技術を用いて開発した,内視鏡におけるコンピュータ自動診断支援(CAD)機能の総称。
*3 販売名:内視鏡検査支援プログラム EW10-EG01,承認番号:30400BZX00217000
*4 販売名:内視鏡検査支援プログラム EW10-EC02,承認番号:30200BZX00288000
*5 AI技術を活用して開発された,上部消化管領域の内視鏡診断を支援する医療機器として日本初。JAAME(公益財団法人 医療機器センター)Webサイトをもとに同社調べ。2022年9月22日時点。
*6 本試験はVer1.0とVer2.0の差を評価するための試験ではない。
*7 Ver1.0では,食道扁平上皮がん及び胃腫瘍性病変を対象とし,多施設で取得した内視鏡検査画像による検証画像を用いた後ろ向き性能評価試験を実施し,本プログラムの有効性を評価した。
*8 Ver2.0では,同試験を再実施し,改めて本プログラムの有効性を評価した。
●問い合わせ先
富士フイルムメディカル(株)
マーケティング部
E-mail:shm-fms-hansoku@fujifilm.com
