フィリップス,超音波診断装置EPIQ Elite/Affiniti Elevate(エレベート)シリーズを販売開始
新しい自動化機能と高度なアルゴリズムで迅速で確実な診断を支援
2025-4-1
(株)フィリップス・ジャパン(以下 フィリップス)は,超音波画像診断装置EPIQ Elite/Affiniti Elevateシリーズを4月1日(火)に販売開始する。
超音波は汎用性が高く利用しやすい画像診断の一つだが,習熟した専門家になるまでにはトレーニングに長い時間がかかり,増え続ける需要にどう応えるかという大きな課題に直面している。今回リリースされたEPIQ Elite/Affiniti Elevateシリーズは,新しい自動化機能と高度なアルゴリズム を搭載し,ワークフローの迅速化と診断プロセスの効率化に寄与する。
Elevateシリーズの主な製品特長
1. 自動画像調節ツールAutoScan Assistantの拡充
AutoScan Assistantは,腹部,血管,表在臓器,小児科,産婦人科領域,造影エコーなど,各種検査における100以上のプリセットで,より高精細な画像処理と直感的なワークフローの実現を目指した機能。ピクセル単位の最適化アルゴリズム(Next Gen AutoScan)や,深さ方向の自動輝度調整(AutoScan Penetration)により,手動調整の手間を減らし,患者一人ひとりに最適化された画像をリアルタイムに描出することが期待できる。(ボタン操作を最大54%削減[1])
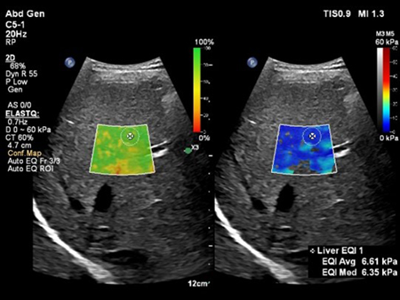
2. Auto ElastQ(オート・エラストキュー)
Shear Wave Elastographyを用いて肝臓の硬さを非侵襲的に計測するアプリケーションElastQ(エラストキュー)に,自動化機能が追加された。Auto ElastQは,計測に適したフレームやROIポジションを自動で判別し,計測結果を表示することが可能。これにより,これまで課題であった検査時間を最大60%短縮し[2],99%の再現性が報告されている。[3]
Auto ElastQによる肝硬度の自動計測:適切なフレームとROIポジションが自動で判別され計測が行われる
3. ワークフローの効率化
新しいQuick Launchプリセット機能は,検査中に画像を最適化する時間を短縮しルーチン検査を加速する。さらに,直観的なアノテーション入力を可能にするColor Coded Annotationや,カスタムボディマーカーを装置にインポートする機能が追加され,より柔軟にユーザーのニーズに対応することが可能。
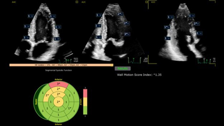
4. 循環器領域のAI*機能を継承
冠動脈疾患を含む様々な心疾患の左室機能評価では,ストレインや局所壁運動異常などの評価をユーザー間のばらつきなく実施することが求められている。EPIQ Elite Elevateには,循環器向け超音波診断装置EPIQ/Affiniti CVx TranscendシリーズのAI*技術が搭載され,自動化による検査の効率化,複雑な解析の客観的評価をサポートする。さらに,新しい細径3D経食道トランスジューサX11-4tも搭載され,SHD領域での活用が期待される。
Auto Segmental Wall Motion Scoring(Auto SWM)
細径3D経食道トランスジューサX11-4t
*AI技術の設計にはDeep LearningまたはMachine Learningを用いており,実装後に自動的に装置の性能・精度は変化することはない
[1]D00277745B, Marketing Claim Evidence for EPIQ V10 vs V7, Workflow Efficiency
[2] D001795093, Marketing Claims Evidence for Auto ElastQ timing, V12.0_Rev.A
[3] D001705221,Auto ElastQ clinical study report
販売名:超音波画像診断装置 EPIQ/Affiniti
医療機器認証番号:225ADBZX00148000
管理医療機器/特定保守管理医療機器
販売名:フィリップス 食道向け超音波診断用プローブ X11-4t
医療機器認証番号:306AFBZX00060000
管理医療機器/特定保守管理医療機器
●問い合わせ先
(株)フィリップス・ジャパン
TEL 0120-556-494
www.philips.co.jp/healthcare
