エルピクセル,頭部MRA画像から脳動脈瘤候補点を検出するEIRL Brain Aneurysm,偽陽性の低減を実現した新モデルを発売
2025-6-18
エルピクセル(株)(以下「エルピクセル 」)は,EIRL Brain Aneurysm1の偽陽性の低減を実現した新モデルについて,「医薬品,医療機器等の品質,有効性及び安全性の確保等に関する法律(医薬品医療機器等法)」に基づき一部変更申請を行い,2025年6月12日付で承認を取得した。
本製品は,頭部MRA(Magnetic Resonance Angiography)画像から脳動脈瘤の候補点を検出するプログラム医療機器。2019年に放射線画像領域におけるAIを活用したプログラム医療機器として,本邦で初めて承認を取得した2。2021年6月には1症例あたりの偽陽性数を低減させるなど検出精度の改善を行い3,今回で二度目のバージョンアップになる。新モデルでは,学習データの追加学習に加えてアルゴリズムの見直しを行うことで,検出感度を維持しながら,症例あたりの平均偽陽性数を「1」以下となるよう改善を行った。
引き続き,EIRLは医師に寄り添うパートナーとして,製品リリース後も迅速に性能改善に取り組むことができることを強みとしながら,対象領域や対象所見の拡大を目指し,研究開発に努めていく。
【性能強化の背景】
エルピクセルが提供するEIRLシリーズは,2019年10月に販売開始した脳MRA画像から脳動脈瘤の候補点を検出する医用画像解析ソフトウェア EIRL Brain Aneurysm(エイル ブレイン アニュリズム)を皮切りに,頭部・胸部・大腸の3つの領域で9つの製品をリリースしてきた。これまで大学病院から診療所まで累計1000以上の幅広い層の医療施設に導入され,総解析件数は1200万を突破4するなど,全国各地の医療機関における読影診断をサポートしている。
臨床現場で活用され社会実装が進む中,ユーザーである医師からは様々な声が寄せられている。特に,EIRL Brain Aneurysmについては,偽陽性(False Positive)5の割合が多い点が医師の読影を阻害する要因として課題となっており,性能改善に取り組んできた。
【強化された機能】
・1症例あたりの偽陽性数が減少
EIRL Brain Aneurysでは,脳動脈瘤の候補点について1症例あたり最大4つを検出し,表示する。今回,一部変更申請を取得した新バージョンでは感度92.3%,1症例あたりの偽陽性の検出数が「1」以下となった。
※ プログラム単体の性能試験結果6
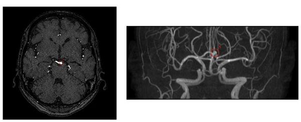
【検出事例】
・旧モデルと比較して「偽陽性」が低減した症例
・脳底動脈の検出事例
※いずれの検出例もイメージであり,実際の製品表示とは異なる場合がある。
1. 販売名:医用画像解析ソフトウェア EIRL aneurysm 製造販売承認番号:30100BZX00142000
2. 出典:「プログラム医療機器の製造販売承認品目一覧」(2024年12月31日時点)/独立行政法人医薬品医療機器総合機構
3. 2021年6月4日「医用画像解析ソフトウェア EIRL Brain Aneurysm,一部変更申請の承認を取得」
https://lpixel.net/news/press-release/2021/10319/
4. 2025年6月時点。トライアル含む。
5. 正しくは陰性である検査結果が陽性と判定されること。
6. エルピクセルが実施した252症例に対するプログラム単体の性能評価試験。
●製品に関する問い合わせ先
エルピクセル(株)EIRLビジネス本部
TEL:03-6259-1713
Mail:eirl-cs@lpixel
https://marketing.eirl.ai/ja/contact/
