島津製作所,高解像度を特長としたPET装置「PositView」を米国で発売
高解像度を活かして認知症の診断や早期介入の研究開発を支援
2025-7-1
島津製作所は,頭部および乳房の検査に特化したPET装置「PositView」の米国食品医薬品局(FDA,Food and Drug Administration)による市販許可を取得し,6月30日から米国で発売する。同社は2021年3月から本製品を「TOF-PET装置BresTome」として日本国内で発売してきた。
PET(Positron Emission Tomography,陽電子放射断層撮影法)は,特定のターゲットに集まる薬剤を体内に投与することで,非侵襲的にアルツハイマー型認知症(以下アルツハイマー病)の原因物質とされる異常蛋白質(アミロイドβやタウ)の脳内蓄積やがんなどを画像化する診断手法。本製品は,PET検出器ホールが直径28cmであり,全身用PET装置の直径約80cmに比べて小さくすることで,対象部位に近い距離で撮像できる。これによりPET画像の解像度を全身用PET装置の2倍程度まで高めて,高精細なPET画像を提供する。
米国では世界に先駆けてアルツハイマー病の治療薬の投与判断やその治療効果判定において,アミロイドβの脳内蓄積の証明用途でアミロイドPET検査が実施されており,同社は本装置により検査需要に対応していく。また,今後のアルツハイマー病の治療件数の増加や研究進展に伴い,アミロイドPET検査の需要はさらに高まるとみられている。加えて,アルツハイマー病のもう一つの原因物質とされるタウタンパク質の脳内蓄積の画像化での利用も想定している。タウタンパク質は脳内の微小な部位に局所的に集積することがあり,またその蓄積部位と認知症の症状とに相関がある事が知られている。今後のタウタンパク質をターゲットとした治療開発や,その脳内分布の研究進展に伴い,高解像度のPET装置によるタウPET検査の必要性が高まると期待される。
島津製作所は引き続き本製品の提供を通じて,アルツハイマー病を含む認知症の早期診断やその進行予測の可能性を追求し,発症や進行の遅延を目指す治療の開発や研究に貢献していく。
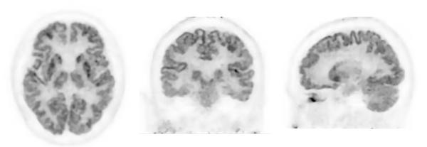
写真:頭部FDG-PET画像
(データ提供:近畿大学高度先端総合医療センターPET分子イメージング部)
写真:Clinical Image Gallery Top-Page
(URL:https://www.shimadzu.com/med/pet-imaging-gallery/index.html
)
510(k) Premarket Notification
510(K) Number:K240827
Proprietary Name:PositView, SET-5002
https://www.accessdata.fda.gov/scripts/cdrh/cfdocs/cfRL/rl.cfm?lid=900871&lpcd=KPS
●問い合わせ先
(株)島津製作所
https://www.shimadzu.co.jp/
