ITEM2014 ケアストリームヘルス ブースレポート
豊富な実績のクラウドサービスを中心にDRからPACSまで多様な製品を紹介
- INFORMATION
- 取材速報
- report
2014-4-24
ケアストリームヘルス ブース
ケアストリームヘルスは,ITEM2014のブーステーマを「クラウドでつながる」として,ブース全体をクラウドをイメージしたデザインで大きくアピールした。企業カラーであるオレンジをベースとして,ブース上部にはクラウドを表す白い雲を大胆に配置して,ブース内の端末がクラウドとリンクすることで,より安全で快適な情報の利用が可能になることを表現した。ケアストリームヘルスのクラウドサービスである,“CARESTREAM医用データクラウドサービス”は,高機能・高付加価値からシンプル&ローコストまで豊富な実績と技術で,さまざまなサービスを提供することを紹介した。そのほか,ITソリューションとして,PACSの「Power Viewer」,「Vue Motion」の最新バージョンの機能などを展示した。また,DRソリューションでは,2013年の発売以来,ワイヤレスFPDを搭載した移動型X線診断装置として高い評価を受けている「DRX-Revolution Mobile X-Ray システム」を中心に展示を構成。DRX-Revolutionのサイドパネルをカスタマイズしたバージョンなどを展示して来場者の注目を集めていた。(4月13日取材)
●高機能から低コストまで豊富なクラウドサービスのメニューを紹介
ケアストリームヘルスでは,データセンターでのデータバックアップサービスを2010年から提供するなど,いち早くクラウドサービスに取り組んでおり,ワールドワイドで10のデータセンター,1億スタディ,3PBの運用データ量という豊富な実績を誇っている。独自の高速ストリーミング技術による画像配信を武器に,クラウドサービスとしては,高機能・高品質の「ケアストリームVueクラウドサービス(Vueクラウド)」とシンプル&ローコストの「ケアストリームDIASクラウドサービス(DIASクラウド)」の2つを提供する。Vueクラウドは,専用線による高いパフォーマンスとセキュリティ環境を利用して,データバックアップ,データ共有&ID統合管理,クラウドPACS,遠隔検査予約などのサービスを提供する。また,DIASクラウドは,院内のデータバックに特化したサービスで,インターネットVPNを利用して,ローコストでクラウドが利用できることが特長だ。どちらも院内のシステム環境を変えずにサービスを利用でき,3省4ガイドラインに準拠したインフラやセキュリティレベルと,ベンダーフリーのシステム設計(Vendor Neutral Archive:VNA)で提供する。
豊富なサービスで対応するケアストリームヘルスのクラウドサービスの特長
ブースでもクラウドの連携で多様な価値を
提供できることをアピールした
●読影向けと参照用のPACSソリューションの新しい機能を中心に展示
ケアストリームヘルスのPACSソリューションには,読影向け高機能ビューワの「Power Viewer」と,参照用モバイルビューワである「Vue Motion」がある。Power Viewerは,CTやMRIなどの検査データをあらかじめボリュームデータとして再構築し,読影時のデータ解析に利用することが特長だ。それによって,マルチモダリティの画像や過去画像との自動位置合わせを行うボリューム・レジストレーションを可能にするほか,3D再構成,複数検査のフュージョン,血管解析などの機能を提供する。最新バージョンでは,画像の中の病変部分を自動認識して,過去検査の画像から同じ病変をトラッキングして経時的に把握できる“病変トラッキング”機能を搭載した。固形がんの治療効果判定のための国際的なガイドラインであるRECISTに対応している。また,新たに搭載されるPACSと一体化した内蔵型レポート(Native Report)を紹介した。Native Reportでは,PACSに内蔵されることで,所見と該当する画像の病変部分などとのハイパーリンク機能や,病変トラッキングと連動した計測結果のグラフ表示機能など,読影業務における所見作成や情報提供の機能強化が図られている。
また,モバイルビューワのVue Motionは,従来のiPadに加えてiPhoneとAndroidにも対応してFDAの認証を受けた。モバイルのビューワ上で3D画像の参照やMPR/MIPの作成,参照が可能になっている。最新バージョンでは,4画面表示(2×2)が可能になったほか,Native Reportとの連携表示の機能を搭載する。
ケアストリームヘルスのPACSソリューションの特長
Power Viewerの内蔵型レポートでは |
Vue Motionの最新バージョンでは |
●1回の曝射で骨除去画像を作成できるDRX-Revolutionの新ソフトウエアを紹介
サイドパネルをカスタマイズできるDRX-Revolution
ワイヤレスFPDを搭載した移動型X線診断装置である「DRX-Revolution Mobile X-Ray システム」は,2013年の日本での発売以来,撮影から画像表示までのスピーディなワークフローの構築が可能なことから,病棟撮影はもとより手術室やICU/CCUなどの緊急撮影で利用されるケースも増えている。DRX-Revolutionは,同社のワイヤレスタイプのDRである「ケアストリームDRX-1システム」を搭載して,ハイパワー出力のX線管球と本体側19インチ,管球側8インチのカラータッチモニタによって,病棟などでのスムーズな撮影を可能にする。さらに,独立した駆動サポートモーターの搭載や,管球収納時には支柱の高さを1295mmまで下げる設計などによって,移動時の装置の容易な取り回しをサポートするのが特長だ。DRX-Revolutionでは本体のサイドパネルを変更できるが,小児病棟など使用環境に合わせて動物のキャラクターなど3種類のデザインパネルを用意しているほか,オプションでユーザーのオリジナルデザインのパネルを作成することも可能となっている。
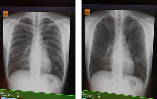
また,近くバージョンアップ予定のDRX-Revolutionの新しいソフトウエアに搭載される機能として,“ボーン・サプレッション”を紹介した。ボーン・サプレッションでは,胸部画像において画像処理によって1回の撮影画像からワンボタンで骨部分を除去した画像が作成でき,軟部組織の観察をサポートする。
DRX-Revolutionは本体と管球側の
2つのカラータッチパネルで
移動撮影のワークフローをサポート
新ソフトウエアのボーン・サプレッション機能。元画像(左)と骨除去画像(右)
●初期投資なしで、使用したフィルムごとに課金する新たなプリントサービスを提案
フィルムプリント1枚からの費用で利用できるマネージプリントソリューションを紹介
医用画像フィルムを使用している医療機関向けに,新しいサービスとして“MANAGED PRINT SOLUTIONS(マネージ プリント ソリューション)”を出展した。すでにアメリカやフランス,スペインではサービスが始まっているが,日本でも市場導入した。一般の事業所などで利用されているコピーサービスと同様のビジネスモデルで,ケアストリームヘルスのドライプリンタと,通信用ルータ,管理用の回線を通して,医療機関は使った分のフィルムコストだけで利用できる。フィルムの在庫管理や請求などの業務は,すべてWebベースで管理する。フィルムの出力が,機器にかかわる初期投資や,保守費用,管理コストなしでできる。さらに,プリンタ管理として通信ログからプリンタのログを収集し,不具合に事前に対応したり,健診などの繁忙期前に在庫を自動補充するなどのサービスを提供する。プリント枚数の多くないクリニックや,今後もフィルム使用を続行予定の医療施設,セカンドオピニオンや依頼検査を行う画像診断センターなどでの利用が考えられている。
●Webシステムと組み合わせたクリニック向けの
卓上型CRシステム
クリニック向けのCRシステムとして,卓上型コンパクトタイプのCR「DirectView Vita CRシステム」と「Image Suite」を組み合わせたソリューションを展示した。Vita CRシステムは,幅75cm×奥行き55cm×高さ34cm,重さ36kgと軽量,コンパクトで院内のさまざまな場所に移動して設置できる。1時間あたりの処理も47枚(大角)とスピーディでクリニックでの画像検査をサポートする。同社のCR,DR画像処理・管理システムであるImage Suiteと組み合わせれば,ブラウザベースで院内のどこからでも画像参照が可能なシステムを構築できることが特長だ。
クリニック向けのVita CRシステムと |
ワイヤレスDRのDRX-1のラインナップ。 |
●お問い合わせ先:
ケアストリームヘルス株式会社
住所:〒135-0041 東京都江東区冬木11-17 イシマビル
TEL:03-5646-2500
URL:http://www.carestream.jp



