ITEM2014 東陽テクニカ
ブースインフォメーション
2014-3-17
ブースNo.356
●担当者からのメッセージ
最先端医用画像テクノロジーと施設の完全フィルムレス実現に向けて,6つのコーナーをご用意し,東陽テクニカならではのソリューションを紹介します。新製品も発表を予定しておりますのでご期待ください。是非東陽テクニカブースにお立ち寄りいただき,東陽テクニカのテクノロジーに見て,触れて,体験していただき,本展示会がお客様の課題解決の一助となれば幸いです。
●ここが見どころ
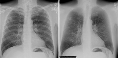
「胸部X線骨組織透過ソリューション」コーナー
昨年発表し好評を博した胸部X線骨組織透過ソリューション“ClearRead BS”は胸部X線画像の骨組織透過処理により,通常の撮影で得られた1枚の元画像から骨組織透過画像を生成,肺組織における結節や異常陰影の視認性を向上させ,医師の読影を強力に支援します。今年は新たにClearRead BSに追加搭載する2つの新しい画像処理技術である胸部X線経時差分ソリューション” ClearRead +Compare”および胸部X線医療用チューブ強調ソリューション“ClearRead +Comfirm”を展示します。さらに進化した他に類を見ない最先端の画像処理技術を紹介します。
展示製品
・胸部X線骨組織透過ソリューション“ClearRead BS”
・胸部X線経時差分ソリューション” ClearRead +Compare”
・胸部X線医療用チューブ強調ソリューション“ClearRead +Comfirm”
「デジタル・マンモグラフィ画像診断」コーナー
大きな反響をいただいている“MammoRead TOMO”は,現在国内で販売されているすべてのBreast Tomosynthesis画像(乳房X線断層撮影画像)に対応しています。また乳腺所見レポートシステムMammoRead Reportが,ご施設のマンモグラフィ読影運用の細かなご要望にお応えします。
その他にも多彩なマンモグラフィ読影機能を搭載したビューア“MammoRead Viewer”,大容量マンモグラフィ画像のデータ運用を管理するMammoRead DataManager等,ラインナップも充実したMammoReadシリーズは精度の高いマンモグラフィ読影を,効率良く実施するための最適な環境を提供します。是非現地でご体験ください。
展示製品
・デジタル・マンモグラフィ画像ビューア“MammoRead Viewer ”
・X線乳房断層撮影/乳房トモシンセシス読影モジュール搭載 “MammoRead TOMO”
・デジタル・マンモグラフィ乳腺所見レポート・システム“MammoRead Report”
・デジタル・マンモグラフィ画像保存マネージメント・システム”MammoRead DataManager”
「整形外科フィルムレス・ソリューション」コーナー
デジタル・プランニングツール”OrthoPlannerPro”は国内外メーカの豊富なインプラントデータと整形外科専門計測を搭載し,整形外科分野のスムーズな完全フィルムレスを実現します。新製品として自動テンプレート配置機能,自動骨切機能等,これまでの製品販売経験を活かし,迅速かつ正確な整形外科のプランニングフローに対応したソリューションを提供します。是非現地でその機能をご覧ください。
展示製品
・整形外科デジタル・プランニングツール“OrthoPlannerPro”
「BARCOディスプレイ・ソリューション」コーナー
世界のトップメーカBARCO社の医用ディスプレイシステムを展示。目的に応じた多彩なディスプレイ・ソリューションを展開。精度管理機能も充実,新たにLEDタイプも登場し,安定した画像を提供します。
展示製品
・Barco社医用画像表示ディスプレイCoronisFusion6MP他
「モダリティOEMソリューション」コーナー
US, MR, CT, XR等の各種モダリティの画質改善や,X線装置向けカスタムイメージング・ソリューション等,モダリティメーカ様向けに様々な製品を紹介します。
展示製品
・モダリティ画質改善ソフトウェア“GOP VIEW”,他
・X線装置用カスタムイメージング・ソリューションMX300,他
「最新画像テクノロジー」コーナー
東陽テクニカの既存の製品ラインアップにとどまらない,世界の最新医用画像技術を幅広く紹介します。
展示製品
・OEM画像レジストレーションツールキット” Blackford Analysis”
・アドバンストマルチモダリティビューア/カスタムビューアツールキット“Myrian”
●お問い合わせ先
株式会社東陽テクニカ
住所:〒103-8284 東京都中央区八重洲1-1-6
TEL:03-3245-1351
URL:http://www.toyo.co.jp/graphic



