ITEM2018 JVCケンウッド 取材速報
ブランド統一後初の新製品ライン・カラー液晶画像診断モニタ「i3シリーズ」のほか,JVCケンウッドグループとして提供するソリューションを紹介
- INFORMATION
- coverage
- REPORT
2018-4-14
JVCケンウッドブース
JVCケンウッドは,「JVC」へとブランドを統一し,従来の画像診断モニタを軸に,JVCケンウッドグループとして提案するさまざまなソリューションの展示を行った。
主力製品である読影モニタでは,カラー液晶画像診断モニタの新製品として2メガピクセルの「CL-S200」と3メガピクセルの「CL-S300」を展示した。両製品は,JVCブランドで初めてとなる新製品ライン「i3シリーズ」のモニタで,従来からデザインを一新し,省スペースかつ読影作業に集中できるよう設計されている。モノクロ/カラー画像の最適表示機能 “ダイナミックガンマ”など,読影診断をサポートする機能も搭載し,読影効率の向上を実現する。ブース内では,従来の「i2シリーズ」のモニタのほか,i3シリーズの5メガピクセルモニタなども参考展示された。
また,快適な読影空間を作り出す,グループ会社であるビクターエンターテインメントが提供する空間音響デザインソリューション「KooNe」の体験コーナーが設けられた。柔らかく包み込むような音響空間により,リラックスした環境下で読影を行うことができる。
このほか,子会社であるRein Medical社のシステム技術を駆使した手術室映像・情報ネットワークソリューション「SMART OR ソリューション」のシステムが展示されるなど,病院全体のソリューションとして提供できる取り組みの紹介が行われた。
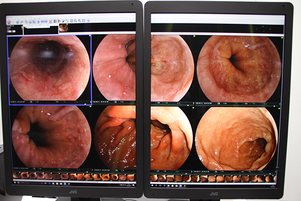
カラー液晶画像診断モニタCL-S300。右側のモニタはダイナミックガンマ機能により,より正確な色で表示できるようになっている
i3シリーズの背面モニタはモダリティと調和がとれるよう,スタンドを含めて白で統一されている
参考展示された5メガピクセルのi3シリーズのモニタ。2台1組のデザインとなっている
KooNeは読影室だけでなく,病院の受付や待合室などにもすでに導入事例がある
Smart OR ソリューションは施工会社も含め,JVCケンウッドがワンストップソリューションとして提供することができる
●お問い合わせ先
社名:株式会社JVCケンウッド
住所:神奈川県横浜市神奈川区守屋町3-12
TEL:045-450-1890
URL:http://www3.jvckenwood.com/pro/healthcare_sys/
