ITEM2025 インフォコム
ブースインフォメーション
2025-3-24
ブースNo.C3-01
●担当者からのメッセージ
インフォコムは,「Information SystemからIntelligence Systemへ」をテーマに掲げ,単に情報を扱うだけのシステムではなく情報を共有・活用することで,業務の効率化による生産性の向上や働き方改革に寄与し,診療の質を上げるシステムの提供を目指しています。
●ここが見どころ
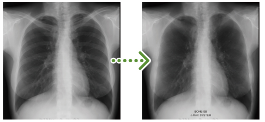
検像システムiRad-QAにAIを用いた画像処理機能を標準機能として追加いたしました。これまでの検像業務に加え,解析データを追加した画像提供が可能となります。
1)肋骨陰影の減弱
撮影した画像データから,AIを用いて肋骨の陰影を薄くする画像処理を行うことで,肺野内の骨に重なった病変の見落としを防ぎます。
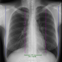
2)CTR計測
これまで手動で計測していたCTR(心胸郭比)をAIで自動計測します。
また,シーメンスヘルスケアの画像診断支援AIソフトウェア「AI-Rad Companion(AIRC)」と弊社レポートシステム「iRad-RW」を連携させた伊勢崎市民病院様での運用例を実際にご覧いただけます。
AIRCから出力された計測結果(DICOM SRデータ)はiRad-RWのレポート記入画面のSR表示アドインに表示されます。また,これらの情報をレポート本文に自然文として置換する機能も実装しており,AIから出力されたデータの活用が可能です。
●主な展示製品
放射線情報システム iRad-RS
業務の安全・安心をサポートする機能として,受付時の検査間禁則チェックや検査実施時の様々な条件チェックが可能です。検査時の確認ミスや実施入力時の入力間違い,入力漏れを防止します。
線量管理機能では,線量データと検査実績情報を統合的に管理します。ヒストグラム・箱ひげ図・散布図等の表示も可能となり,線量最適化のための分析に活用いただけます。
また,RISを活用したSTAT報告運用についてもご提案を行います。
放射線レポートシステム iRad-RW
画像診断管理加算2および3の施設基準を満たすための指標として,該当検査の最新の読影率,必要な読影件数および読影に必要な時間の目安がリアルタイムで表示されます。さらに,診療報酬算定に該当する検査が未読影の場合,未読フラグが表示され,読影の優先度を判断することが可能です。
また,読影時間のヒストグラム表示により,読影業務の振り返りツールとしてもお使いいただけます。
放射線治療システム iRad-RT
放射線治療に関する情報の管理,治療装置接続やシステム間連携をサポートし,放射線治療の業務ワークフローを支援します。チーム医療をシステム面から支援するため,業務TODOや治療カンファレンス機能など情報共有機能を強化し,放射線治療部門の統合管理を実現します。
放射線治療ビューア RT Image Viewer
治療計画装置・治療装置とのオンライン接続,DICOM-RTデータの長期保管・参照運用を実現します。iRad-RTで治療情報を確認しながら,サーバに保管された線量分布図・Beam’s eye View・DVHなどの画像・グラフ情報を参照することが可能です。
検像システム iRad-QA
従来の使い勝手の良さはそのままに,一般撮影画像やMRI画像のシリーズ並び替えなど,操作性が向上いたしました。検像端末以外から検像作業を行えるQA Anywhereオプションでは,全親機を横断した検査一覧を確認できます。
また,iRad-RSと連携することで,画像の未転送を防止する仕組みを構築することが可能です。
整形外科画像システム iRad-OT
整形外科特有の特殊計測セット機能やインプラントシミュレーション時のデジタルテンプレートを多数搭載しております。当社が放射線部門で培ってきたノウハウや技術力を生かし,整形外科部門におけるフィルムレスのご要望にお応えします。
●セミナー情報
セミナー名:JIRA特定テーマ プレゼンテーションステージ
演題名:医療の現場力を支える:STAT画像報告とAI技術を活用した業務効率化
日時:4月12日(土)11:00~
会場:JIRAプレゼンテーションコーナー
講演:インフォコム株式会社 ヘルスケアサービス事業本部 久野恵梨
●インフォコムブース
●お問い合わせ先
社名:インフォコム株式会社
住所:東京都港区赤坂9-7-2 ミッドタウン・イースト10階
TEL:03-6866-3790
URL:https://service.infocom.co.jp/healthcare/irad/
