RSNA2016 フィリップス - CT
ルーチン検査のスペクトラルイメージングを可能にするIQon Spectral CTに金属アーチファクト低減の新たな機能が追加
2016-11-30
大型半透明ディスブレイで紹介された
「IQon Spectral CT」
Philips(フィリップス)のCTエリアでは,大型半透明ディスプレイを使って,スペクトラルCT装置「IQon Spectral CT」を紹介した。IQon Spectral CTは,従来と同じCT撮影をするだけで,すべての検査でスペクトラルイメージングを可能にするシステム。日本国内でも2016年春に販売が開始された。2種の素材の検出器を重ねる二層式構造とすることで,通常の120kVp撮影をするだけで,高・低エネルギーに弁別収集され,レトロスペクティブにスペクトラルイメージングを行うことができる。これまでもデュアルエナジーCTによるデータ収集でスペクトラル解析は可能だったが,ルーチン検査とは別に,デュアルエナジー撮影をするための事前設定が必要だった。これに対してIQon Spectral CTでは,ワークフローや被ばくがこれまでと変わらずにスペクトラルイメージングが可能になり,被検者,操作者の負担を増やすことなく,より多くの情報を得ることができる。
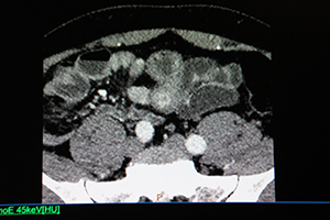
仮想単色X線画像や実効原子番号画像では,通常画像で認識しにくい造影効果を強調,弁別することができるため,がんの多発や転移などの広範囲の検索や,腎機能が低下した患者への低量造影剤での検査などに有効である。
また今回,金属アーチファクトを低減する “O-MAR” と,仮想単色X線の高エネルギー画像によるアーチファクト低減を併用できる機能が追加されることが発表された。一般的に金属アーチファクトの低減は,アルゴリズム適用か仮想単色X線画像のどちらかで行われるが,両方を組み合わせられることで,いっそう強力に,かつ金属ごとに異なるアーチファクトを適切に低減することができる。
ブース正面に配置した半透明ディスプレイでは,ガントリイメージや臨床画像を提示し,来場者にアピールした。ディスプレイ上部にはセンサーが設置されていて,見学者の動きを検知し,それに合わせてガントリイメージの表示角度や仮想単色X線画像のkeVを変えるなど,ユニークな展示を行った。IQon Spectral CTは現在,全世界で25台が稼働しており,すでに2万5000例のスペクトラルイメージングが撮影されている。2016年末までにさらに10台が稼働する予定。日本では熊本中央病院に導入されており,会場では同院のデータも紹介された。
大型透明ディスプレイでは, |
すべてのルーチン検査でスペクトラルイメージングが |
神経内分泌腫瘍(NET)症例の通常画像。大腸に複数の造影効果が認められる。 |
同一症例の仮想単色X線画像(45keV)。通常画像よりも明瞭に,複数の造影効果が認められる。 |
同一症例の実効原子番号画像。実効原子番号ごとにカラーリングされるため,よりいっそう腫瘍を鑑別しやすい。 |
O-MARと仮想単色X線高エネルギー画像の併用による金属アーチファクトの低減
(左:通常画像,中:O-MAR適用画像,右:O-MARと175keVの併用画像)

