2017-9-1
聖隷三方原病院が導入した世界第1号機のProdiva 1.5T CX
聖隷三方原病院は,地域中核病院として,長年にわたり静岡県西部保健医療圏の地域医療を担ってきた。画像診断装置の整備にも力を入れており,2017年4月には,フィリップスエレクトロニクスジャパンの最新1.5T MRI「Prodiva 1.5T CX」の世界第1号機が稼働し始めた。日本のユーザーの意見を反映して,ワークフローの向上と高画質化が図られ,医療機関にとって投資に見合う効果が得られる装置として開発されたProdiva 1.5T CXは,最新のコイルやデジタル技術などにより,同院の検査環境を変えるとともに,臨床的に有用な画像を提供している。稼働開始直後から検査効率の向上と高画質画像の提供をバランス良く実現しているProdiva 1.5T CXの使用経験について取材した。
Prodiva 1.5T CXの世界第1号機が稼働
静岡県西部保健医療圏における地域中核病院の一つである聖隷三方原病院。基本理念である「キリスト教精神に基づく『隣人愛』」について,荻野和功病院長は,「隣人愛とは,困っている人や苦しんでいる人すべてに手を差し伸べ,救済することを意味しています」と説明する。同院では,長年にわたりこの基本理念の下に,地域住民へ医療を提供してきた。さらに,経営方針の「この地域にしっかりと根ざし,住民に信頼される病院づくり」にも,開院以来取り組んできた。荻野病院長は,次のように述べる。
「地域から求められているのは,住民の方が病気になった時に,すぐに診断・治療を受けられるようにすることだと思います。そして,これを実践していくことが住民からの信頼を得ることにつながります。そこで,当院では,救急医療に力を入れています」
地域中核病院としての使命を果たすために,同院では,医療機器や設備の整備にも積極的に取り組んでいる。荻野病院長は,「高度な救急医療やがん診療を提供していくためには,精度の高い診断・治療が可能な装置を使用することが重要です。当院は,地域医療支援病院でもあり,ほかの医療機関からの紹介検査も多く受けるので,可能なかぎり優れた性能を持つ装置を使用することが地域からの信頼にも結び付くと考え,導入しています」と説明する。
実際,2011年9月には,フィリップスエレクトロニクスジャパン(以下,フィリップス)の3T MRI「Ingenia 3.0T」の日本国内商用第1号機を導入している。そして,2017年4月には,フィリップスの最新1.5T MRIであるProdiva 1.5T CXを導入。世界に先駆けて稼働し始めた。
Ingenia 3.0Tへの高評価から新型MRIの採用を決定
聖隷三方原病院では,MRIがProdiva 1.5T CX,Ingenia 3.0Tなど3台,CTも4台,SPECTが2台導入されているほか,血管撮影装置,X線透視撮影装置,X線一般撮影装置,マンモグラフィ,骨密度測定装置といったモダリティを配備している。主要なモダリティの年間検査件数は,MRIが約1万1500件,CTが約3万2000件,SPECTが約1800件に上る。放射線科では常勤の放射線科医4名のほか,5名の非常勤医がおり,MRI,CT,SPECTの読影に加え,IVRを施行。読影件数は1日平均120件程度となっている。また,画像診断部には診療放射線技師が38名在籍しており,このうち6名がMRI検査を担当している。
MRIは,2011年9月に更新したハイエンド装置のIngenia 3.0Tを,現在も全身の検査に使用している。Ingenia 3.0Tは,従来機械室にあったADコンバータをコイルに内蔵。コイルと画像再構成メモリを光ファイバーケーブルで接続し,減衰なくデジタル信号を受信できる。
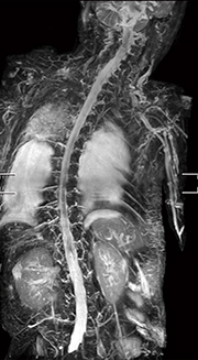
この世界初のデジタル技術である“dStream”により,SNRが従来比最大40%向上し,高画質化と撮像時間の短縮化を可能にした。同院では,Ingenia 3.0Tを用いて,心電図同期撮像による血行動態を画像化する4D PCA(phase contrast angiography)を考案して,頭部や軀幹部,四肢の血管の撮像に適用しており,院内でも高い評価を得ている。
このような中,他社製1.5T装置が更新時期を迎え,導入装置としてProdiva 1.5T CXが候補に挙がった。放射線科の高橋 護医長は,その経緯を次のように説明する。
「日本国内の商用第1号機のIngenia 3.0Tが導入当初から安定稼働し,アプリケーションや画質も優れていると感じていました。さらに,装置の選定時期に,フィリップスから新しい1.5T MRIを開発したという話があり,ぜひ使いたいと考え,Prodiva 1.5T CXを採用しました」
加えて,フィリップスのサポート体制が充実していることも,Prodiva 1.5T CXの採用を後押しした。検査業務を担当する画像診断部の名倉義和係長は,「電話対応も速やかで,装置もリモート管理されており,もしトラブルが発生したとしても,すぐにメンテナンスしてもらえるので,非常に心強いです」と述べている。
一方,荻野病院長は,MRIの更新について,病院運営の観点から,「医療の質を上げるためには,職員の満足度を高めることも大切です。そのためにも,最新の装置を導入したいと考えました」と話す。実際,Ingenia 3.0Tにおいても,診療放射線技師が積極的に画質の向上に取り組む姿が見られている。画像診断部の水野孝一技師は,「フィリップスのMRIは,パラメータの設定項目が多く,ユーザー自身が詳細に設定でき,画質を調整できる点が非常に良いと思います」と説明する。また,松本卓弥技師も,「自分たちで検討しながら,より良い画像を作成できるところが,他社の装置に比べて優れています」と言う。
同院では,5年以上に及ぶIngenia 3.0Tの使用経験から,フィリップスのMRIに対する高い信頼と期待を持って,Prodiva 1.5T CXを導入した。
日本人の声を取り入れたProdiva 1.5T CX
2017年7月に日本国内でも正式発表されたProdiva 1.5T CXは,フィリップスの新世代MRIである。開発には日本の技術者も加わり,国内ユーザーの意見が多く取り入れられ,“Breeze Workflow” “dSync technology” “ROI(Return On Investment)”という3つのキーワードに基づき,ハードウエア・ソフトウエアの両方に,新技術が惜しみなく投入された。
●新開発の軽量化コイル
Breeze Workflowとは,診療放射線技師や患者様の負担を軽減し,速やかに検査を施行できるワークフローを実現し,検査効率を向上することを意味している。具体的には,従来定評のあった「dSコイル」を大幅に軽量化した新コイルの採用が挙げられる。新開発のコイルは,「Cordless dS-NV coil」「Ultra light Anterior coil」「Flexible MSK-M/S coil」「Integrated dS-Spine coil」といったラインアップが用意され,全身の検査に対応。軽量化されただけでなく柔軟性にも富み,患者様の負担軽減はもとより,セッティングも容易となって,密着度が増し画質にも寄与する。
さらに,高SNRを得るために,自動的にコイルエレメントの選択を行う“SmartSelect”も搭載。また,コイルを接続するコネクタも小型化され,接続が容易になったほか,コイルの接続状態をLEDライトで色別にわかりやすく表示する「dS-Interface」を採用した。さらに,延長ケーブルも用意しており,dS-Interfaceから離れた場所でコイルを使用する時に用いることで,コイルのセッティングや患者様のポジショニングが容易になる。加えて,撮像アシスト機能である“SmartExam”や画像処理を支援する“SmartLink”といった従来定評のある機能も搭載している。
●最低高47cmの寝台
外観上の特徴として,Prodiva 1.5T CXは,寝台の最低高47cmという低さを実現している。高齢者や小児,体の不自由な方が乗り降りしやすくなり,患者様の身体的な負担を軽減し,診療放射線技師や看護師のサポートも容易になった。超高齢社会の日本では,MRI検査の患者様の高齢化も進んでいるが,寝台を低く下げることでスムーズな乗り降りが可能となり,検査のスループット向上にもつながると期待される。
●日本市場に適したコンパクト設計
日本のユーザーの意見を取り入れたProdiva 1.5T CXの特徴としては,装置のコンパクト化も挙げられる。高さ247.8cm,幅218cm,奥行き186.7cmと,従来装置よりもサイズダウン。最小設置面積が25m2と,省スペース化が図られ,診療所や中小規模病院など,装置の設置場所が限られている医療機関でも導入しやすくした。
●“dSync”によるフルデジタル化
さらに,dSync technologyというキーワードのとおり,すべてのコアハードウエア間を超高速デジタル通信で接続した新技術dSyncを搭載したことも,技術的特徴である。受信した信号をコイルシステム内でデジタル変換するdStreamアーキテクチャに加え,ナノミリセコンドレベルによる傾斜磁場や送信RFの制御により,理想的なパフォーマンスを引き出すことが可能となった。これにより,20ピコ秒という高速同期・制御が行え,高画質化を実現。軀幹部拡散強調画像〔body DWI(DWIBS法)〕などで威力を発揮する。その上,dSyncでは,新たな画像再構成システムを採用しており,従来の12k image/sから56k image/sへと高速処理を可能にしている。dSyncのこれらの技術により,最新の体動補正アルゴリズムを用いて腹部領域などで有用な“MultiVane XD”や,頭頸部領域の“3D NerveView”などの最新のアプリケーションを搭載することも可能である。
●投資に見合う効果
このほかにも,Prodiva 1.5T CXは,ヘリウムを消費せずに,補充の必要もない“ゼロボイルオフマグネット”や,消費電力の低減によりランニングコストを抑えた運用を可能にした。フィリップスでは,Prodiva 1.5T CXに搭載されたこれらの技術が,医療機関にとってROI,すなわち投資に見合う効果をもたらすとしている。事実,聖隷三方原病院では,数多くのメリットが得られている。
日本の医療機関でも導入しやすいコンパクト設計のProdiva 1.5T CX |
軽量かつ柔軟性のあるFlexible MSK-M/S coil |
コイルの接続状態を色別に表示して検査を支援する |
小型化されたコネクタと延長ケーブル |
高スループットの検査で有用性の高い画像を取得
Prodiva 1.5T CXは,稼働後すぐに,Ingenia 3.0Tに並ぶ主力MRIとして使用されている。コンパクトかつ省スペース化が図られたことで,前装置を設置していたMRI室が小さくでき,その分,従来狭くて動線が限られていた操作室の面積を5m2ほど拡大できた。
聖隷三方原病院のMRIの月間検査件数は900件以上で,3台の装置がそれぞれ月300件以上の撮影を行っている。Prodiva 1.5T CXでは,最も多種多様な検査を行っているが,それでも1日15〜20件程度の検査を施行することができている。特に,非常に柔軟で撮像部位に巻きつけやすいFlexible MSK-M/S coilにより四肢領域で高精細な画像が得られるため,同領域における装置別の検査比率が前装置では24%だったが,Prodiva 1.5T CXでは66%を占めている。高橋医長によると,このように前装置よりも検査の適応が拡大したことで,Prodiva 1.5T CXとIngenia 3.0Tの使い分けは意識せずにすみ,検査枠の空き状況を見ながら振り分けることが可能になったという。
「Prodiva 1.5T CXは,従来の1.5T装置と比較して,特に四肢領域,頭頸部領域で非常にきれいな画像を撮像できるため,優先的に使用しています。Ingenia 3.0Tと比較しても多くの領域で,それに匹敵する高精細な画像を安定して得ることができています」
さらに,高画質化と撮像時間の短縮化が図られたことが,多くの臨床的な有用性をもたらしている。その中でも,高橋医長は全身body DWIを高く評価している。
「Ingenia 3.0Tでも全身body DWIを施行していたのですが,3T特有のSARの増大により,どうしても1.5T装置と比較すると,検査時間がかかってしまうため,あまり積極的に撮像していませんでした。それが,Prodiva 1.5T CXでは,SARによる撮像時間の延長がなく,コイルの軽量化により,セッティングも非常に簡便です。さらに,SNRが高くゆがみも少ないために,高画質な画像が短時間に得られるようになりました。従来30分以上かかっていた頭部から鼠径部までの全身body DWIが,撮像時間8〜9分,トータルの検査時間18分程度で可能となり,大幅な時間短縮を図れています」
また,高橋医長は,高精度な水・脂肪分離画像が得られるアプリケーション“mDixon XD TSE”が使用できるようになったことも,Prodiva 1.5T CX導入のメリットだと説明する。
「四肢領域の軟部腫瘍の評価は,脂肪抑制の有無それぞれのT1強調画像,T2強調画像が必要となり,従来の装置では別に4回撮像を施行していました。一方,Prodiva 1.5T CXでは,mDixon XD TSEで2回撮像するとすべての画像が得られるので,検査時間の短縮につながっています。また,微小な脂肪の検出に有用なin phaseとout of phaseの画像も同時に得ることができます。画質も通常のDixon法では表在性軟部腫瘍において脂肪抑制が不均一になることがありますが,mDixon XD TSEでは安定して高SNRの脂肪抑制画像の取得が可能となり有用です」
さらに,VISTA法の画像についても高橋医長は,「Prodiva 1.5T CXでは,VISTA法で3D-STIR画像が高画質で撮像できるようになりました。頭頸部領域や脊椎領域の撮像に用いており,SNRの良いきれいな画像を描出できています」と評価している。加えて,頭頸部領域では,Prodiva 1.5T CXに更新したことでpCASL法が使用できるようになり,1.5TにもかかわらずSNRの高いパーフュージョン画像が得られるようになった。頭頸部以外の領域では,4D PCAによる心臓や大血管の血流動態の観察を行っている。高橋医長は,「4D PCAは,データ量も多く撮像時間も要することから,従来はIngenia 3.0Tで使用していましたが,Prodiva 1.5T CXでも,十分臨床で使用できる画像が得られています」と解説する。
一方で,検査効率やワークフローにおいても,Prodiva 1.5T CXは多くのメリットをもたらしている。名倉係長は,「高齢の患者様にとっては,低い寝台は乗り降りがしやすく,安全面にも配慮した設計だと思います」と,最低高47cmという寝台が,患者様に負担をかけない検査につながっていると説明する。同じく水野技師も「患者様に口頭でアンケートを行いましたが,以前の装置よりも乗り降りがしやすくなったという意見があり,好評です」と話す。
軽量化され,柔軟性にも富んだ新開発のコイルも,患者様の負担を大幅に軽減するだけでなく,検査を担当する診療放射線技師の業務効率向上につながっている。松本技師は,「Flexible MSK-M/S coilは非常に軽く,患者様も重さをあまり感じずに検査を受けることができています。私たちにとっても,ポジショニングやセッティングが容易で,検査のスループット向上に効果が出ています。特に,Flexible MSK-M/S coilは,撮像部位を中心に巻き密着させることで,オフセンターの撮像でもきれいな画像を描出することが可能となり,非常に良いです」と述べている。さらに,名倉係長は,「柔軟性の高いMSK-M/S coilにより,体位にこだわらず撮像できるようになったことで,検査の適応が拡大しました」と付け加える。
Prodiva 1.5T CXは,まさにBreeze Workflowというキーワードのとおり,前装置からのワークフローを改善し,撮像時間の短縮化などにより,臨床に有用な情報を提供できていると言えよう。
症例1:悪性リンパ腫
症例2:悪性黒色腫
症例3:脳脊髄液減少症のMR myelography(3D-STIR)
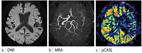
症例4:左内頸動脈狭窄
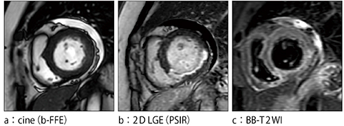
症例5:下壁心筋梗塞
ROIを得るとともに,地域医療に貢献
稼働間もない時点ですでに,3T装置と遜色ないパフォーマンスを発揮し,多くのメリットをもたらしているProdiva 1.5T CXであるが,聖隷三方原病院では,今後その能力を十分に生かせるよう,検査枠などの見直しなども検討している。高橋医長は,「セッティングを含めた検査スループットが良いので,骨転移症例の探索などに全身body DWIを積極的に使用できます。全身body DWIは,血液内科をはじめ,悪性腫瘍を扱う診療科の医師からも有用性が認められており,今後は検査枠を設けて施行していくことを検討しています」と述べる。高橋医長は,例えば悪性リンパ腫において,まずFDG-PET検査できちんと診断した上で,フォローアップを全身body DWIでも行うことで,その後のFDG-PET検査を減らすことも可能になると考えている。心臓MRIについても,現時点でもまったく問題なく撮像できているが,今後のバージョンアップでT1マッピングが可能となる予定で,よりいっそう有用な検査になることに期待している。
同院では,今後もProdiva 1.5T CXを活用していくことで,ROIを得つつ,地域医療の最前線で,患者様に負担をかけない検査と高度な画像診断を地域住民に提供していく。
(2017年7月6日取材)
社会福祉法人 聖隷福祉事業団
総合病院 聖隷三方原病院
病床数:934床
診療科目:38科
