次世代の画像解析ソフトウェア(AZE)
2013年3月号
No.131 AZE VirtualPlace 雷神を用いた大腸画像診断の経験
三宅 基隆/小田 麻生/飯沼 元(国立がん研究センター中央病院 放射線診断科)
●はじめに
新しい大腸がんスクリーニング検査法であるCTコロノグラフィ(CTC)において効率的な診断を行うためには,ワークステーション(専用アプリケーション)の機能が重要である。ワークステーションには,膨大な画像データを素早く処理し,多彩な各種再構成画像を高画質で表示し,簡便かつ効率的に2体位間で比較対照できる機能が求められる。
今回われわれは,「AZE VirtualPlace 雷神」(AZE社製)の大腸解析ソフトウェア最新版を使用する貴重な経験を得たので,簡単にではあるが,3つの診断画像,(1) 大腸展開像,(2) ポリープ観察機能,(3) 仮想内視鏡画像についてその使用経験を述べる。
●大腸展開像
CTCにおける種々の再構成画像において,効率的に病変を拾い上げるための画像表示法として大腸展開像がある。2D画像や仮想内視鏡画像とともに相互に連携して利用することで,読影時間の短縮が可能である。大腸展開像はCTCの開発初期段階からすでに存在していた再構成画像であるが,近年,大腸粘膜面を静止画像として一望でき,より広い領域をより効率的に観察可能で,病変の存在診断に有効なスクリーニングに適した画像表示法として認識が高まっている。腸管の屈曲部や拡張不良部分では画像のひずみが目立つという特徴を理解する必要があるが,大腸内腔全体を盲点なく短時間で観察できる利点は大きい。
従来より,AZE VirtualPlace 雷神の大腸解析ソフトウェアにも,「展開像(opened image)」として標準搭載されている。最新版では腸管径による補正を施した展開像を選択可能で,腸管の大腸襞や構造物などの歪みが少なく補正された画像を表示可能となっている。腸管拡張の程度に合わせて,腸管径が長い領域は広く,短い領域は狭く展開するため,腫瘍などによる狭窄部は狭窄として明確に認識可能である(図1)。
CTCの診断に際しては,まず病変候補の絞り込みを行う。体位変換にて移動しているかどうかを確認することで,残便・残液などの偽病変の多くを簡便に鑑別可能であるものの,2D画像や仮想内視鏡画像のみでは,両体位で同一のものが同一の場所にあることを確認するのは意外と難しい。展開像を用いることで,周囲の正常構造と比較しての相対位置を確認することで,比較的容易に鑑別可能となる(図2)。
図1 展開像(opened image)
下行結腸の展開像。桃色は水没により不可視領域となっている領域を表している。同部にて腸管のくびれが認められ(↑),腸管径が狭小化していることが認識できる。
図2 展開像(opened image)
下行結腸の早期大腸がん(0-Ⅱa+Ⅱc,12mm大)。半月ひだ上の結節状隆起として描出されている(○印)。両体位ともに同じ半月ひだ上に結節状隆起があるため,病変の可能性が高いと判断できる。この画像のみで表面の形態を判断するのは困難であるが,ほかの腸管粘膜面と比較して,同部が限局性に隆起していることが容易に検出可能である。
●詳細な読影を可能にする“ポリープ観察機能”
展開像で病変候補を絞り込んだ後に,各対象物の性状診断に入る。2D画像では,気体や脂肪含有の有無の確認や,腫瘍性病変における深達度診断が可能であるし,仮想内視鏡画像は病変の立体的観察が容易で病変の形態を認識しやすいといった特長があり,それぞれの利点を生かして診断を進めていく。
VirtualPlace雷神では,“ポリープ観察機能”により診断対象物の任意断面の拡大MPRを表示し,詳細な読影が可能である。また,今回新しく“キューブビュー”が搭載され(図3),選択した観察部位の周辺部分を限定的に表示し,歪みのない3D volume rendering表示による詳細な形状観察が可能となっている。また,その限定領域内においてMIP表示が可能となっており,経静脈性造影剤を使用した場合は造影効果を,fecal tagging を行った際にはtaggingの効果も表示できる。このMIP表示は展開像においても利用可能となっており,今後さまざまな活用が期待できる表示法といえるだろう(図4)。
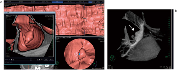
図3 キューブビュー(cube view)
a:図2と同一症例。仮想内視鏡画像,展開像,キューブビューそれぞれでの描出のされ方の違いが興味深い。キューブビュー上では歪みのない表示が達成されている。
b:同病変のMIP画像。経静脈性造影剤投与後であり,腫瘍相当位置(→)の造影効果が反映されたMIP画像となっている。
図4 展開像におけるMIP表示
a:図2と同一症例。
b:MIP表示。カラーリングを調整することで,腫瘍が色づいて見える。
●仮想内視鏡画像
仮想内視鏡画像の視野角が360°まで選択可能となった。
従来の視野角では,仮想内視鏡画像でのfly through観察時に,肛門側から口側,口側から肛門側へと,往復の観察が必須であった。また,拡張不良などの理由により半月ひだが密集している場合は,単純に経路を往復させるだけではひだとひだの隙間を認識しがたいことがたびたび経験されていた。視野角が拡大されたことにより,往復することなく
1方向のみの観察にて全大腸内腔を確認可能となったのみならず,fly through観察時には半月ひだをめくって裏返すようにして観察画面が進んでいくので,強い屈曲部やひだ裏の視認性が大きく向上し,より効率的な内腔面観察が可能となっている。
●おわりに
大腸解析ソフトウェア最新版では,多くの読影医の視点に立ったさまざまな改善がもたらされていると感じた。ほかに改善された点として,2体位比較表示のレイアウト更新により,2体位分の画像を1つの画面に左右対称配置し,読影の負担軽減が図られている点がある。
今後より多くのユーザーからの要望を反映し,さらに改良が重ねられたバージョンに期待したい。
【使用CT装置】Aquilion(東芝社製)
【使用ワークステーション】AZE VirtualPlace雷神(AZE社製)
