次世代の画像解析ソフトウェア(AZE)
2013年5月号
No.133 当院におけるAZE VirtualPlaceの現状 ─心臓解析ソフトウェア“新・CT細血管解析”と“心筋パフュージョン”
佐々木康二(医療法人札幌ハートセンター 札幌心臓血管クリニック放射線部)
●はじめに
札幌心臓血管クリニック(以下,当院)は2008年4月,札幌に心臓カテーテルを専門とした19床の有床診療所として開業した。2012年4月には心臓血管外科も開設され,2013年5月には53床の循環器領域すべてを対象とした病院に生まれ変わる。現在,当院では256列CT1台,64列CT1台,1.5T MRI1台,血管造影装置3台,エコー装置9台の画像モダリティによって診療を行っている。当院の昨2012年の実績は,PCI(percutaneous coronary intervention):1931件,手術(開心術):270件(開設から9か月での件数),EVAR(endovascular aneurysm repair):12件,CTでは冠動脈CT:7203件,大動脈CT:427件,MRIでは心臓MRI:109件と,数多くの件数を経験している。2012年4月に「AZE VirtualPlace Plus Anatomia(以下,VirtualPlace)」(AZE社製)が導入され,これら多くの画像処理に役立っている。そのVirtualPlace内にある心臓専用のアプリケーションを,いくつか簡単ではあるが紹介する。
●新・CT細血管解析
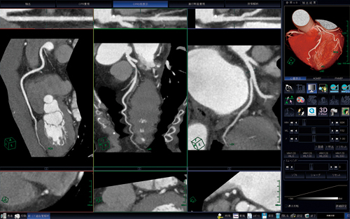
“新・CT細血管解析”は,冠動脈CTの解析ソフトウェアであり,冠動脈CT画像の読み込みと同時に左右冠動脈,大動脈,心臓(心筋)などに自動セグメンテーションされる(図1)。セグメンテーションされた各冠動脈に対して,中心線の修正と名前付けをすると,あとは画像をAngiographic ViewやCPR(図2),直交断面像,狭窄部解析(図3)などに切り替えてキャプチャするだけである。やはり偽陽性や偽陰性を作らないためにも,中心線の確認や狭窄部の評価を診療放射線技師がしっかりと行う必要があると考えればこそ,自動化による時間短縮はありがたい。さらに,このソフトウェアは,あらかじめ設定したDICOMタグを自動判別し,VirtualPlaceに転送された時点で前準備を行うAAA(Aze Auto Analyzer)が併用できることから,さらに処理時間の短縮が期待される。
図1 冠動脈の自動セグメンテーション
図2 CPR3枝表示
図3 冠動脈狭窄解析
●心筋パフュージョン
“心筋パフュージョン”は,心筋血流量を定量評価するソフトウェアである。従来の心筋パフュージョンMRIでは視覚評価法や半定量評価法のup-slope法などいくつかの問題点が指摘されてきたが,これはAZE社と三重大学などが,その克服のために共同開発したソフトウェアである。
この定量方法は,左心室の血液入力カーブと心筋出力カーブに対して2コンパートメントモデルに基づいたパトラック解析を行い,心筋血流の定量値を算出するというものである。
撮像は,従来の心筋負荷時と安静時の撮像に加えて,同条件にて10倍希釈造影剤による補正データを撮像する。3つの撮像データをすべて読み込み,スライス,フェーズそれぞれにおいて心外膜・心内膜・血液領域のROIをトレースする(図4)。ROIのトレースが終わると,定量解析結果が安静時・負荷時・予備能がBull’s eye表示される(図5)。スライス数で見ると非常に多い枚数のトレースの確認と修正を必要とするが,修正も簡便に行えるようになっており,比較的覚えやすく,慣れやすい処理であると感じている。
当院では,主にPCIの治療基準の1つとして,またはCABG(coronary artery bypass graft)術の術前・術後に実施し,血行再建の効果を見るために行っている(図6)。
図4 ROIのトレース画面
図5 心筋パフュージョン解析結果
図6 CABG評価
●おわりに
近年,循環器領域における画像診断が飛躍的に進歩している。各検査装置の発展に伴い,画像処理用ワークステーションも発展の道をたどっており,今日の診療にとって必要不可欠の存在となっていると感じる。これらワークステーションを駆使することでより良い医療を提供できるようになると考える。最後に,当院における臨床画像を提示する(図7)。
図7 臨床画像
●参考資料
1)松田 豪, 野崎 敦, 佐久間肇・他 : MRIを用いた虚血性心疾患検査の現状.日本放射線技術学会雑誌, 57・6, 664〜670, 2001.
2)佐久間 肇, 河田七香・他 : 造影MRIによる虚血性心疾患の診断. INNERVISION, 15・13,59〜66, 2000.
3)Ishida, N., Sakuma, H., et. al. : Noninfarcted Myocardium ; Correlation between dynamic first-pass contrast-enhanced myocardial MR imaging and quantitative coronary angiography. Radiology, 229, 209〜216, 2003.
【使用CT装置】Brilliance iCT,Brilliance CT 64(フィリップス社製)
【使用MRI装置】Achieva 1.5T(フィリップス社製)
【使用ワークステーション】AZE VirtualPlace Plus Anatomia(AZE社製)
