次世代の画像解析ソフトウェア(AZE)
2014年12月号
No. 152 当院における脳神経外科領域の術前手術シミュレーション─側頭筋静脈性血管奇形の術前評価
木下 良正(医療法人社団水光会宗像水光会総合病院脳神経外科)
はじめに
近年では画像解析の進歩は著しく,特にCT画像ではiso voxelデータから正確な三次元画像が作成可能となり,手術シミュレーションが盛んに行われている。特に骨,血管,含気組織のようなコントラストが明瞭な組織の手術シミュレーションは容易である。なかでも,内視鏡手術では狭い視野であるため術前のシミュレーションは有用で,死角となる方向からの病変把握にも威力を発揮する。しかし,コントラストが不明瞭な組織では用手的に各組織を抽出する必要があり,画像再構成時に必要な情報をカットしすぎると誤診のリスクもある。また,病変の深さ(レイヤー)の情報を画像に反映することも困難である。
当院でも64列のヘリカルCTの導入とともに高解像度のスライスデータを数十秒の短時間で取得できるようになり,CTデータを用いた動脈瘤クリッピング手術,血腫除去術や腫瘍切除術の術前シミュレーションを積極的に行っている。今まで表面に近い病変では簡単な表皮からの透視画像を作成するのみで,深さの情報が不明瞭であった。今回,表面に近い側頭筋部血管奇形の手術シミュレーションを「AZE VirtualPlace 雷神」(AZE社製)を用いて,特に病変のレイヤーごとの画像を作成し,手術手順に沿った術前シミュレーションが有用であったので紹介する。
症例提示
30歳代,男性。左前額部の腫瘤および左側頭部痛を主訴に来院した。11年前,近くの総合病院形成外科で左側頭部血管腫の切除を受けていた。数年前より時々左側頭部痛を自覚し,左前額部に軟らかい無痛性腫瘤が出現したため当院を受診した(図1)。
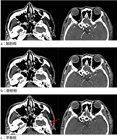
左前額部に直径1cmの無痛性軟性腫瘤を認め,頭髪内の左側頭部にL字状の手術瘢痕を認めた。MRIでは頭部固定のための側頭部圧迫により病変が退縮したため有用な情報が得られなかったが,頭部単純ヘリカルCTにて前頭部の腫瘤(図1b↓)と側頭部筋上の血管奇形(図1b↓),頬骨部に石灰化巣と同部の側頭筋の欠損(図1b▼)を確認できた。造影ヘリカルCTでは頬骨基部に石灰化巣と平衡相で腫瘤がわずかに造影されており,側頭部では太い静脈と腫瘤が静脈相で造影されていた(図2)。平衡相から腫瘤を用手的に抽出して,AZE VirtualPlace 雷神上で動脈相と静脈相の画像と合成することで,中側頭静脈が著明に拡張して側頭部で血管奇形に連続しており,頬骨基部ではさらに血管奇形が存在して石灰化巣を含んでいることが明瞭に確認された(図3)。
手術に当たっては側頭筋の機能障害,顔面神経の損傷,血管奇形の取り残しに十分に配慮するため,従来の手術シミュレーション画像(図3)に加え,より手術手順に沿った詳細なレイヤーごとのリアルなシミュレーション画像を作成した(図4)。(1) 頭髪の形状と顔面神経損傷を回避するように皮膚切開,開創範囲を描出,(2) 皮下組織,腱膜の描出,(3) 浅側頭動脈(前頭枝)の走行,(4) 血管奇形と中側頭静脈の関係,(5) 血管奇形の位置,(6) 側頭筋との関係,(7) 石灰化病巣と頬骨の位置関係の把握が可能であった。手術では,シミュレーション画像を参考に安全に血管奇形を全摘出でき,術後顔面麻痺や開口,咀嚼の異常を認めなかった。病理学的検索では,血管奇形内の石灰化巣は静脈石であり,venous malformationの診断であった。側頭筋部の血管奇形は過去22例しか報告はなく,まれな症例であった。
図1 初診時の外表写真と頭部単純ヘリカルCT
左前額部に直径1cmの無痛性軟性腫瘤を認め,左側頭部に自発痛を訴えていた。頭部単純ヘリカルCTは同部位に高吸収の腫瘤(b↓)を認め,側頭部筋上の血管奇形(b↓),頬骨のすぐ頭頂側に石灰化巣と同部に側頭筋の欠損(b▼)が確認される。
図2 造影ヘリカルCT
頬骨基部では石灰化巣と平衡相でわずかに造影される腫瘤(c←)が側頭筋内に存在し,側頭部では太い静脈と腫瘤が側頭筋表面に存在している。
図3 AZE VirtualPlace 雷神による従来の3D画像
健側(b)と比較して患側(a)では中側頭静脈が著明に拡張しており,前医の手術で浅側頭動脈の頭頂枝が切断されていた。中側頭静脈は血管奇形に連続しており,頬骨基部ではさらに石灰化巣を含んだ血管奇形が存在している様子を把握でき,全体像を理解するには十分な画像である。
図4 レイヤーを意識したシミュレーション画像と手術写真
皮膚切開範囲と開創範囲のシミュレーション画像(a)では,superficial temporal fat padに血管奇形が埋没している様子や,浅側頭動脈が頬骨部の血管奇形の表面を走行している様子を確認できる。血管奇形と側頭筋の画像(b)では,側頭筋の表面に中側頭静脈が走行し,頬骨部の病巣は頭側からのぞき込んでようやく確認できることが理解できる。血管奇形と骨との透視画像(c)では,頬骨基部と石灰化巣を指標に全摘出する必要があることが事前に把握可能であった。実際の手術では,シミュレーション通りに皮膚切開したところ(d),血管奇形は縮小しており,頭側の血管奇形はsuperficial temporal fatに,尾側の血管奇形は側頭筋に埋没しており,シミュレーション画像と対比することで必要最低限の摘出範囲で全摘可能であった(e)。前額部の血管奇形も皮弁裏面から焼灼縮小した。
さいごに
動脈相と静脈相,平衡相の3相をタイミング良く撮影してAZE VirtualPlace 雷神上で合成することで,血管奇形の全体像,皮膚切開のシミュレーション,主要な浅側頭動脈,中側頭静脈,側頭筋,superficial temporal fat padとの位置関係,静脈石と頬骨の位置など,手術手順に沿ったレイヤーごとの術前画像シミュレーションを実施し,安全に血管奇形を全摘することが可能であった。
【使用CT装置】
Aquilion 64(東芝社製)
【使用ワークステーション】
AZE VirtualPlace 雷神(AZE社製)
