次世代の画像解析ソフトウェア(AZE)
2015年3月号
No. 155 当院におけるAZE VirtualPlace雷神の使用経験
菅野 朋史(福島県立医科大学会津医療センター放射線部)
はじめに
当院は2013年5月に新たに開院し,それに合わせてCT装置は「Aquilion ONE/ViSION Edition」(東芝社製:以下,Aquilion ONE)を,ワークステーションは「AZE VirtualPlace 雷神」(AZE社製:以下,VirtualPlace)を導入した。Aquilion ONEの導入により,3D画像の作成依頼は非常に多く,現在では病態や状態の観察など診断の一助となり,手術では計測や血管走行などの観察に活用されている。
本稿では,使用経験が多い症例を中心に,当院の工夫も交えたいくつかのVirtualPlace使用経験を紹介する。
大腸CT検査(colonography)
当院の大腸CT検査は大腸内視鏡関連からが多く,大腸内視鏡挿入困難・拒否や術前スクリーニング(図1)が中心で,まれに大腸ステント治療後の検査(図2)も行っている。前処置(タギングを含む)は,総量840mL未満の少量で行う。検査時は自作マット上に横になってもらい,当院独自の炭酸ガス注入方法*1で大腸CT検査を行っている。
図1 術前スクリーニング例
この症例は,横行結腸に50mmの腫瘍が存在する。読影では同期読影を基本として,仮想内視鏡画像のほかに大腸開き画像,MPR画像の観察をしている。
図2 大腸ステント治療後
大腸ステント治療後は大腸内視鏡カメラで観察しにくくなるケースもあるため,大腸CT(colonography,CTC)の有用性がきわめて高くなる。
VirtualPlaceの“新・大腸解析”は,大腸の拡張が十分でつながりがあると,大腸自動抽出後(タギング時は当院では造影剤信号値を200〜1500HUに固定)に経路の探索・抽出がほぼ自動で行われる。タギング不十分時や残渣が多く存在していると自動抽出できない部分が存在するが,それはMPR画像でコントラスト差をつけてからリージョングローイングを活用すると目的の大腸のみをすぐに抽出できる。小腸が表示された場合も,コントラスト差をつけてからカッティングやクリッピングを使用することにより早くきれいに削除することができる。
造影時の血管抽出では,3Dフィルタを使用してWLを変更しながらリージョングローイングを行い,適度にマスクサイズを調整することで,血管先端部まできれいに抽出することができる(図3)。
図3 大腸CT造影検査
術前の大腸CT造影検査ではmeta検索のほかに,手術中に活用されるSMA(上腸間膜動脈)とIMA(下腸間膜動脈),大腸(腫瘍)との位置関係の把握が必須である。
*1 側臥位で注入を行い,総気量が0.7Lで仰臥位,1.2Lで右側臥位,1.5L以上で仰臥位になり撮影。体位変換時は右側臥位で少し体位維持をしてもらい,次に腹臥位で低線量撮影(被ばく線量は0.5〜0.8mSv)を行う。
新・大腸解析の応用
当院では,大腸以外にも新・大腸解析を応用し,活用している。造影検査に使用した造影剤の信号値をオーバーレイ表示で確認しながら,適切な閾値でクレンジングを行い,MPR表示で3方向を観察しながら目的箇所の仮想内視鏡像を作成する。
心房細動カテーテルアブレーション(シミュレーション)(図4)と胆嚢腫瘍(隆起型)(図5)に応用した画像を示す。
図4 仮想内視鏡応用例1 |
図5 仮想内視鏡応用例2 |
頭部・頸部血管(時間短縮)
VirtualPlaceのサブトラクションは動脈系の血管末端の抽出に優れている利点があり,Aquilion ONEのサブトラクションは椎骨動脈・総頸動脈などの骨に隣接している血管の抽出に優れている利点がある。この互いの利点を利用して,それぞれのサブトラクション画像をVirtualPlaceに取り込みマルチボリュームフュージョンを活用することで,3D構築画像やMIP画像をより早く診療医に提供できる(図6)。
図6 頭頸部の血管の描出
石灰化抽出は必要だが,従来と比べてかなりの時間短縮につながる。
心臓CT(Dual ROI:音声ROI)
当院の心臓CTはDual ROI(音声ROI)撮影を基本としている。この撮影では,肺動脈・上行大動脈それぞれにROIを当て,肺動脈に閾値(100HU)を設定し,到達したら息止めの音声が流れる。そして,上行大動脈にも閾値(240HU)を設定し,到達した1〜2秒後に撮影する。
この撮影は,息止めをしてから数秒後に心拍数が下がることを考慮し,心拍数が最も安定し,同時に造影剤が個々の患者でピークに近いCT値からスキャンを開始することが可能になり,高濃染のときに撮影できる利点がある。
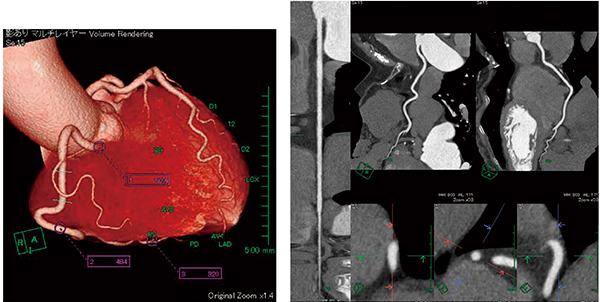
“新・CT細血管解析”では,造影剤が高濃染であることから自動追跡機能で冠動脈3枝の血管認識が直ちに可能で,その後は分岐点変更をしてから中心移動をすることにより血管のストレート表示がスムーズに行えるので,狭窄の有無の判断がすぐにできる。特に重宝している機能がsliding thin slab MIPで,狭窄が疑われる部分では必ずスラブ厚を変更しながら狭窄確認を行っている(図7)。
図7 右冠動脈の解析
右冠動脈の起始部で約510HU,#3で約480HU,#4PDで約320HUと高濃染であるため,画像は鮮明で構築しやすくなる
3Dタスクの各種機能
CPR表示機能は,3つのMPR画像から最適な画像で点をとり,中心線推定やスラブ厚調整などを行うだけで彎曲部分を平面的に,またストレート表示でも観察でき,プラークや石灰化などの狭窄箇所をわかりやすく観察することができる。
ASO(閉塞性動脈硬化症)治療後のステント内狭窄における血流形態・狭窄評価(図8)と,脊柱側彎症の手術前検査におけるO-armシミュレーション用の形態評価・血管走行確認(図9)の画像を示す。
また,当院でまれに行われる3D構築(形態・視覚評価)として,胃静脈瘤治療後症例(図10)を示す。
図8 ASO治療後の狭窄評価 |
図9 脊柱側彎症術前評価 |
図10 胃内外部にまたがる塞栓コイル(発泡剤使用) |
まとめ
今後,臨床診断のための画像処理はより多くなり,3Dワークステーションで処理された画像は診察時や手術の患者への説明時には必要不可欠なものとなる。そして,病変により緊急性がある頭頸部や心臓などの解析においては,われわれはたくさんあるツールの中から活用できるものを選択し,短時間で鮮明な正確性のある画像を配信できるよう心がけることが大切である。
AZEには,今後もより多くのユーザーの要望に応え,VirtualPlaceをより優れたバージョンに進化させ続けていくことを期待したい。
【使用CT装置】
Aquilion ONE/ViSION Edition(東芝社製)
【使用ワークステーション】
AZE VirtualPlace 雷神(AZE社製)
