次世代の画像解析ソフトウェア(AZE)
2016年10月号
No. 174 AZE VirtualPlace computed DWIの臨床使用例についての紹介
龍 泰治(市立砺波総合病院放射線科)
はじめに
Diffusion weighted image(以下,DWI)は脳梗塞の診断のみならず,軀幹部でもその有用性が知られ広く使われるようになってきている。当院では1.5T MRI装置「Signa HDxt」および「Signa EXCITE HD」(GE社製)を使用しているが,高いb値でのDWIを得ようとした場合にノイズが多くなるため,高いb値の画像は撮像しにくかった。computed DWI(以下,cDWI)を使用することで,高いb値でもノイズの少ない良好な画質が得られるという報告を最近の学会で聞いており,早く使ってみたいと思っていた。cDWIの原理(図1)については,論文1)などを参照されたい。
幸い,2015年から「AZE VirtualPlace」(AZE社製)を導入することができたので,その中に搭載されているcDWIを使用することが可能になった。それ以降,さまざまな症例でcDWIを使用しているが,実際に“使える”,診断に有用なツールであることを日々実感している。2015年途中からは高輝度ノイズについて大幅な改善が得られ,画像がより鮮明となったことでますます使いやすくなった。本稿では,当院で経験し,診断に有用であった症例を紹介したい。
図1 cDWIの原理
AZE VirtualPlace cDWIの当院での使用法
撮像したDWIをAZE VirtualPlaceに転送し,付属のソフトウェアを起動してcDWIを作成する。cDWIは院内画像サーバへ転送することで院内配信している。当院では,どの領域のMRI検査でも原則としてDWIを撮像しているが,異なる2つのb値でDWIを撮像することにしているので,後から必要に応じて任意のb値でのcDWIを作成することが可能である。前立腺がん症例ではほぼ全例で,ほかの疾患では必要に応じてcDWIを作成するようにしている。
臨床例
1.脳梗塞
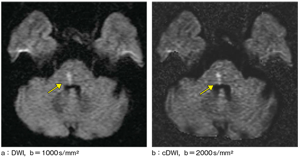
症例は60歳代,女性。脳幹部は近傍の空気の影響もあり,ルーチンで撮像しているb=1000s/mm2のDWI(図2 a)では病変が少しわかりにくい。b=2000s/mm2のcDWI(図2 b)では背景の信号が抑制されたため,梗塞部が明瞭になっている。
図2 脳梗塞症例
2.前立腺がん
症例は70歳代,男性。既知の膀胱がんに対して術前ステージング目的でMRIを撮像した。当院ルーチンでは,膀胱がんのDWIではb=600s/mm2およびb=1000s/mm2で撮像するようにしている。膀胱がんの所見(非提示)だけでなく,前立腺にb=600s/mm2(非提示)およびb=1000s/mm2(図3 a)で高信号が認められた。ただし,背景組織の高信号に埋もれてわかりにくかったため病変と確信が持てなかった。そのため,b=2000s/mm2のcDWI(図3 b)を作成した。cDWIでは結節状の高信号域が明瞭化したため,前立腺がんを強く疑った。生検で前立腺がんが証明され,膀胱全摘術に加えて前立腺全摘術も施行された。cDWIでの信号異常部が前立腺がん部をよく反映していることが,病理組織像からも判明した。
図3 前立腺がん症例
3.脊髄サルコイドーシス(疑い)
症例は80歳代,男性。脊髄は空気の影響を受けるため,通常のb=800s/mm2のDWI(図4 a)では脊髄全体の信号が上昇してしまい病変を認識しにくい。
本例では,b=1500s/mm2のcDWI(図4 b)で病変部の認識が可能となった。T2強調画像(図4 c)では,淡く高信号があるように見える程度の所見である。1週間後のT2強調画像(図4 d)で病変が増悪したため,他院へ紹介となった。
図4 脊髄サルコイドーシス(疑い)症例
◎
AZE VirtualPlace cDWIの当院における使用経験を示した。通常のDWIで診断可能な症例でも,cDWIの鮮明な画像があることで読影時のストレスがかなり減った印象がある。専用ソフトウェアの操作性は平易で,計算速度が大変速いために使い勝手が良い。後から任意に画像を作成できる点も気に入っている。さまざまな疾患に対してcDWIの有用性を示す報告2),3)があり,本ソフトウェアの将来性を強く予感させる。わくわくしながらcDWIを日々眺めているところである。
●参考文献
1)Blackledge, M.D., et al.:Computed diffusion‒weighted MR imaging may improve tumor detection. Radiology, 261・2, 573~581, 2011.
2)Takeuchi, M., et al. :Computed diffusion-weighted imaging for differentiating decidualized endometrioma from ovarian cancer. Eur. J. Radiol., 85・5, 1016〜1019, 2016.
3)Kawahara, S., et al. : Additional benefit of computed diffusion-weighted imaging for detection of hepatic metastases at 1.5T. Clin. Imaging, 40・3, 481〜485, 2016.
【使用MRI装置】
Signa(GE社製)
【使用ワークステーション】
AZE VirtualPlace(AZE社製)
