次世代の画像解析ソフトウェア(AZE)
2019年2月号
No.202 副腎腫瘍摘出手術の際にAZE VirtualPlace VR画像が有用であった例
沖田 雅一(医療法人社団康心会 湘南東部総合病院放射線科)
はじめに
当院はふれあいグループの基幹病院であり,一般病床232床,精神科44床,ホスピス緩和ケア32床,療養病床40床(回復期リハビリ28床,NASVA*病棟12床)の計348床の急性期病院として,神奈川県茅ヶ崎市近隣の地域医療に貢献している総合病院である。
当院では「AZE VirtualPlace」(AZE社製)と,「Ziostation」(ザイオソフト社製)の2台のワークステーションを導入している。心臓解析のオプションを購入しているZiostationで心臓CT解析を行い,AZE VirtualPlaceでは整形外科領域,外科領域,脳神経外科領域を中心に解析を行っている。それぞれメーカーにより標準で搭載されている機能や操作法が異なるため,一概に性能を比較することはできないが,造影タイミングや症例により3D画像作成が困難な場合,同一症例をもう一つのワークステーションで再度構築すると簡単に作成できることもあり,作成困難な症例も楽しみながら画像作成を行っている。
症例提示
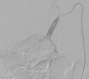
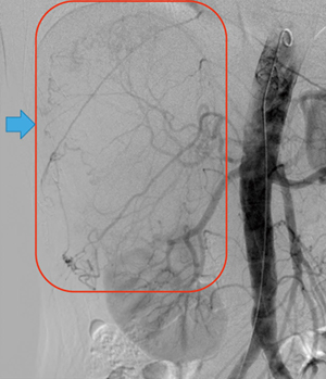
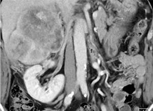
右副腎腫瘍摘出の栄養血管推定術前シミュレーションとして,造影CT,腹部アンギオを行った。アンギオの結果,副腎腫瘍には右横隔膜下動脈,右肝動脈からの分岐右副腎動脈,腰動脈などから多数の栄養が認められた(図1)。さらに,右腎動脈遠位付近より副腎腫瘍に上行する血管を確認したため,右腎動脈を選択造影したが(図2),どこから分岐しているのかアンギオ,造影CTのVR処理,MIP画像,MPR画像のいずれでも推定が困難であった(図3,4)。
この上行する血管推定をするために,担当医より同領域の高精度の3D血管画像作成を依頼され,AZE VirtualPlaceにて解析を行った。
はじめに,通常行う3D血管画像作成処理を行ったが,抽出しようとしている血管径が小さく,またそれに伴い末梢にいくにつれCT値も低くなり,軟部組織も重なりVR表示が困難であった。次に,造影CTアキシャル画像にてリージョングローイング+マルチレイヤーにより推定される領域を囲んで処理を行い,右腎動脈と上行する血管を別々に抽出し,あらかじめ作成していたVR画像(腎臓,副腎腫瘍,腹部大動脈など)にマルチレイヤーを使用し加算を行った。
正面,後面,右上下斜位から確認すると,右腎動脈にちょうど重なる位置に腫瘍に向かう血管を発見した(図5)。その画像を参考にアンギオ画像をWW,WL調整しながら再度確認したところ,造影CTのVR画像と同じく右腎動脈に重なる位置に栄養血管を確認し(図6,7),主たる栄養血管の推定を行うことができた。
図1 腹部大動脈造影画像(上腸間膜動脈レベルより造影) |
図2 右腎動脈の選択造影画像 |
図3 造影CT:MPR画像 |
図4 造影CT:VR MPR表示,コロナル画像 |
図5 造影CTのVR画像
正面像(a)では,右腎動脈(→)と重なり,腫瘍へ向かって上行する栄養血管(←)の存在がよくわからないが,後面像(b),右上方斜位像(c),右下方斜位像(d)では,右腎動脈に重なる位置に栄養血管が確認できた。
図6 右腎動脈の選択造影画像 |
図7 右腎動脈の選択造影画像(反転) |
考 察
今回の症例では,上行する栄養血管が完全に右腎動脈に重なり,その上下の距離も1mm程度と非常に近いために(図8,9),アンギオ撮影中に角度をつけて再度撮影したとしても,発見は困難であったと考える。
図8 造影CT早期相 |
図9 造影CT早期相(図8の拡大像) |
まとめ
今回は特に難しい処理方法を用いずに,基本的な操作であるリージョングローイング,マルチレイヤー処理を行うことにより,細い栄養血管をわかりやすく描出することができ,術前シミュレーションに役立った例であった。
AZE VirtualPlaceがあれば特別な処理を行わずにどこの施設でも描出できた例であり,改めてAZE VirtualPlaceの基本性能の高さが確認できた。
ただし,基本パッケージのみで特殊な画像を作成しようとすると,時間と気合が必要になることも多いのが現状であり,特殊画像作成の頻度によっては,オプションを購入することも有用と思われる。しかし,ナビゲーション加算の範囲が現状のままでは,医療機関としてオプションを購入するのは難しい現状があり,今後のナビゲーション加算の範囲拡大に期待したい。
* NASVA:独立行政法人自動車事故対策機構の委託病床
【使用CT装置】
SOMATOM Definition Flash(シーメンス社製)
【使用ワークステーション】
AZE VirtualPlace(AZE社製)
