セミナーレポート(キヤノンメディカルシステムズ)
第52回日本消化器がん検診学会総会が2013年6月7日(金),8日(土)の2日間,仙台国際センター(仙台市)にて開催された。7日に行われた東芝メディカルシステムズ(株)共催のランチョンセミナー1では,神保消化器内科医院院長の神保勝一氏を座長に,長崎県上五島病院放射線科の安田貴明氏と,東京都がん検診センター消化器内科部長の入口陽介氏が,大腸CTと胃がんX線検査におけるデジタル検診の最前線をテーマに講演した。
2013年9月号
第52回日本消化器がん検診学会総会 ランチョンセミナー 1 デジタル検診の最前線─最新消化管デジタル画像
胃がんX線検診─さらなる精度向上への挑戦
入口 陽介(東京都がん検診センター 消化器内科部長)
胃X線検診は,X線撮影装置のデジタル化,高精細モニタ読影,高濃度バリウムなどの進歩や,日本消化器がん検診学会から出された『新・胃X線撮影法ガイドライン(2011年改訂版)』の基準撮影法などにより画像精度が向上し,フィルムレス化・効率化が進んでいる。また,診療放射線技師による読影の補助の推進は,慢性的な医師不足を補うためにも重要である。本講演では,さらなる精度向上への挑戦と題して,撮影技術や読影のポイントについて解説する。
■追加撮影の重要性
チーム医療における診療放射線技師(以下,技師)の役割として,撮影するだけでなく,病変を発見して診断できる画像を医師に提供することが求められている。
図1は,撮影中に技師が透視画像で微小がんに気づき,追加撮影を行った画像である。図1では,前庭部前壁に微小胃がんが認められる。びらんのようにも見えるが,棘状で外に広がるようなspicular formation cancerが明瞭に描出されている。
X線検診の追加撮影で,もう1回バリウム造影剤を流すことは,内視鏡検査でインジゴカルミン色素を散布することと同義である。本症例の内視鏡画像でも,インジゴカルミン色素によって前壁の棘状の変化がはっきり見えるようになった(図2)。最近では,NBI(narrow band imaging)や酢酸法なども行われている。
胃がんX線検診では,撮影中に発見できる技師の目を有効に活用することが望まれる。基準撮影法をマスターし,透視観察の目を鍛えて,精度の高いX線写真を提供してほしい。また,微小胃がんの存在診断をより確実に行うためには,透視画像の画質とモニタ精度のさらなる向上が期待される。
図1 X線検査の追加撮影により診断された |
図2 インジゴカルミン色素を散布した内視鏡画像 |
■微小胃がんの検出
画像検査の目標となる微小胃がんの定義は現在,腫瘍径5mm以下である。当院で2007年4月から2012年12月の間に発見された微小胃がんは80例106病変,このうち35例61病変が病理学的検査で,40例40病変が内視鏡検査で発見された。一方,X線検査では5例5病変という結果であり,精度の向上が必要と思われる。
図3は,残胃症例における微小胃がんの内視鏡像である。色調の違いと,小さな顆粒で発見された。
X線画像(図4)では,小さな顆粒と周囲の棘状の変化があり,びらんではないことがわかる。しかし,これを見つけるのは容易ではなく,画像精度は向上したものの,診断には熟練を要することが今後の課題である。
本症例はsignet-ring cell carcinoma(4mm×3mm)と診断され,内視鏡治療(ESD)を施行した。
図3 微小胃がん(4mm×3mm)の内視鏡画像 |
図4 微小胃がん(4mm×3mm,未分化型)の |
■基準撮影法と追加撮影
図5は,胃X線検査の基準撮影法の画像である。胃上部の前壁は粘液が多いため,回転法でこれを落として撮影する。しかし,それだけでは病変を指摘するのは難しい。読影基準の5段階の拾い上げランク(ランク1:異常所見なし,ランク2:良性病変,ランク3:良性・悪性の判断困難,ランク4:癌疑い,ランク5:癌確実)では,ランク2~3に相当すると思われる。
図5 胃X線検査の基準撮影法
そこで,追加撮影を行ったところ,不整形で境界明瞭なnicheが確認された。ひだ集中があり,潰瘍瘢痕を伴ったnicheが認められることから,再発性の胃潰瘍か,がんの合併が疑われるが,これだけではまだ診断はできない。
画像を拡大して観察すると,周囲に浅い陥凹を認め,消化性潰瘍を伴った早期胃がんが認められた(図6)。これにより,拾い上げランクは1段階上がってランク4となり,単なる良性潰瘍ではないと診断できた。やはり,基準撮影で何かおかしいと感じたら,追加撮影を行うことが大事である。
本症例は,ULsを伴ったⅡcの早期がんと診断され,ESDを施行した。
図6 図5に加えて追加撮影したX線画像
ただの良性腫瘍ではない,悪性・悪性疑い
■精密X線検査
●バリウム造影剤の付着差
バリウム造影剤は,以前から付着差の重要性が言われている。萎縮は小彎ラインを中心に対称に進むことが多く,内視鏡では左右差を見る。表層拡大型の胃がんは,インジゴカルミン色素を散布することで,病変の存在や範囲が確認できる。さらに,インジゴカルミン色素に酢酸を混ぜて散布してみると,病変の境界が見えるようになる。
X線検査でも同様に,正常部位と病変部位では表面・性状だけでなく粘液分泌などの性質の違いがあり,バリウムの付着差のため病変が浮き出ることが確認される(図7)。この画像から範囲を診断して,手術を行う。特に後壁の病変や範囲が広い病変は,内視鏡では接線方向にあたって見づらいため,X線検査の方が適していると言える。
今後,バリウム造影剤がさらに改良され,凹凸だけでなく癌部と非癌部の性質の違いが描出できるようになれば,検診の精度はさらに向上すると思われる。
図7 バリウムの付着差による病変の描出
表層拡大型胃がん(低異型度癌0 Ⅱb + Ⅱc)
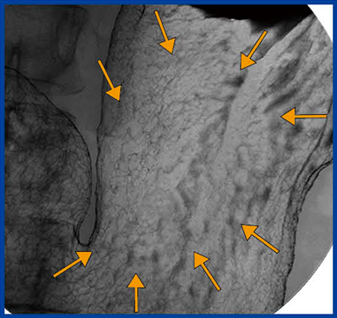
●ひだの所見
ひだの所見も重要であり,特にスキルス胃がん(linitis plastica型)の診断に有用である。
体上前壁に不整形の陥凹があり,周囲が盛り上がって,内視鏡的に浸潤がんの存在がはっきりわかる症例では,空気を入れると平低化するが,うねってささくれだったひだが観察された。このような症例では,生検を行っても,がんの範囲を知ることはできない。
このようなひだは,粘膜下層以深が硬くなり,伸展不良を起こしていると言われている。内視鏡では部分的に見ることになるが,X線検査で全体的に見てみると,nicheがあり,周囲が盛り上がり,太い直線的なひだが見てとれる(図8)。
本症例は,胃体上部に深い不整形のnicheがあり,集中するひだの所見に,ひだの太まり,ひだの直線化,ひだ間の狭小化が認められたことから,linitis plastica型(Latent LP)胃がんと診断し,全摘術を行った。
図8 linitis plastica型(Latent LP)胃がんにおけるX線画像のひだ所見
■まとめ
胃X線検診は,撮影機器の進歩や造影剤の改良,さらには技師の撮影技術の向上や読影補助によって,さらなる早期がんの発見率向上が見込まれる(図9)。技師がルーチン検査を高い精度で行うようになれば医師の負担が軽減し,ESDや精密検査に専念することも可能になり,充実した胃X線検診につながる。胃X線検診は多くの人を対象に,一定の精度で検査でき,処理能力に優れている。今後は,画像ソフトの開発などで,よりわかりやすい画像にできれば,さらに精度は向上する。胃がん検診の中で唯一,有効性が認められている胃X線検診の進歩を図ることで,胃がん検診の発展に貢献することが期待される。
図9 胃X線検診の動向
入口 陽介
1990年 熊本大学医学部卒業。1993年 宮崎県高千穂町立病院, 94年 熊本県水俣市立総合医療センター,96年 昭和大学藤が丘病院消化器科,97年 多摩がん検診センターを経て,2009年に東京都がん検診センターに勤務。現在は同センター消化器内科部長。
